• 首页
  • 圈子
  • 互助
  • 医生
  • 药品
  • 专栏
  • 资讯
  • 话题
  • 健康小屋
  • APP下载
  • 登录
  • 注册
  • 消息
    系统消息 评论 新粉丝
首页圈子肺癌帖子详情

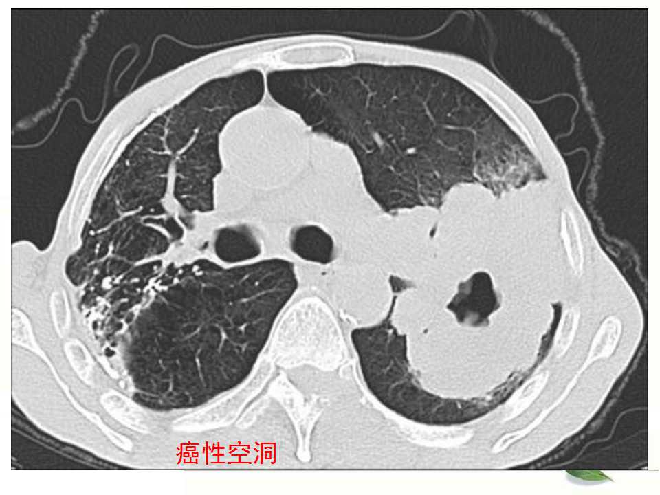
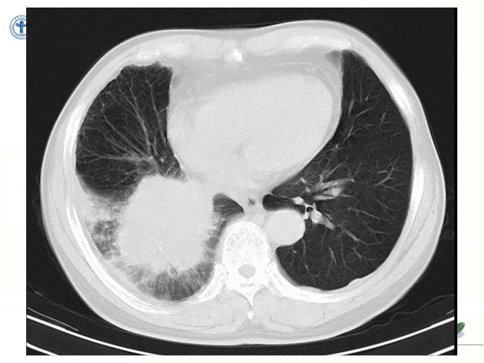
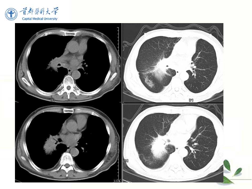
肺癌的影像学检查

喵帕斯
喵帕斯
来源:觅健 2016-12-21 13:35:171268阅读


收藏

回复(0)
举报
上一篇: 肺癌影像诊断
下一篇: 肺癌影像学表现

参与评论

更多
按投票顺序
  • 时间顺序
  • 按投票顺序
图片验证码

评论列表

更多
按投票顺序
  • 时间顺序
  • 按投票顺序
相关推荐
热点推荐
暂无数据
热门帖子
1
纪念陪爱妻抗癌八周年
2
腹膜转难控制,昨天用上8201 PD-1免疫,新一线治疗开始了
3
《我的免疫力提高经验》
4
靶向药的副作用与牙齿
5
【2025觅健之星】提名开始啦!快来评论区留下你心中的那个名字吧!
6
肺癌靶向药7大副作用的处理秘籍都在这里,建议收藏!
7
早餐决定免疫力和复发率?最“养癌”的3种吃法,很多家属天天逼患者吃
8
觅友专属·一月轻养生日历
病友圈
肺癌圈子
去看看
肠癌圈子
去看看
肝癌圈子
去看看
乳腺癌圈子
去看看
淋巴瘤圈子
去看看
卵巢癌圈子
去看看
今日推荐
1
清蒸鲈鱼
2
好看
3
这个结果术后十天,下一步该怎么治疗?
4
下午好
5
眼睛疼
6
事情可能没想像中那么差
7
【免费报名】获取吴一龙教授在线答疑福利,还能到觅健总部打卡!
8
求天津肺腺癌晚期奥西耐药免化疗临床
推荐关注
高小小
关注
认真的小强4509
关注
翻卷的课本
关注
专注的西红柿
关注
关于觅健 | 加入我们 | 联系我们 | 隐私政策 | 服务条款 | 网站地图
特别声明:本站内容仅供参考,不作为诊断及医疗依据
中国增值电信业务经营许可证:闽B2-20180083
互联网药品信息服务资格证书:(闽)-非经营性-2018-0038
知识产权管理体系认证证书:编号:181221P0069R1M
关注我们
觅健二维码
觅健app
觅健二维码
公众号
觅健二维码
小程序
闽ICP备13019157号-1 Copyright ©2015-2024 觅健 丨 闽公安备35020302033461号 闽公安备35020302033461号