转:肺癌淋巴结图谱
国际肺癌研究委员会(IASLC)提出的肺癌淋巴结图谱,统一了 Naruke 和 MD-ATS 图谱中的差别,并进一步规范了纵膈和肺部淋巴结的分区,此处让我们一起回顾一下肺癌淋巴结 CT 图和相关描述吧。

肺癌淋巴结一览图
各站淋巴结详解

锁骨上区淋巴结(1)和上气管旁淋巴结(2)示意图

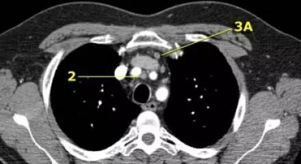
肺 CT 横断面上的上气管旁淋巴结(2)和血管前淋巴结(3A)

血管前淋巴结(3A)与气管后淋巴结(3P)示意图

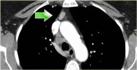
肺 CT 横断面上的血管前淋巴结(3A)

右下气管旁淋巴结(4R )示意图:上界:无名静脉尾端与气管交叉点的横截面,下界:奇静脉的下界,4R 延伸至气管的左边界。

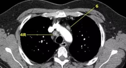
肺 CT 横断面右下气管旁淋巴结(4R )和主动脉旁淋巴结(6)

左下气管旁淋巴结(4L):图中所示上横线为主动脉弓上缘,下横线位于左肺上叶支气管上缘水平,穿过左主支气管。4L 淋巴结位于上下横线间的区域,包括所有位于肺动脉韧带内侧的气管旁淋巴结。 AP 区的主动脉弓下淋巴结(5)位于肺动脉韧带外侧。

肺动脉干上 CT 横断面的左下气管旁淋巴结(4L)、右下气管旁淋巴结(4R)、血管前淋巴结(3A)、主动脉弓下淋巴结(5) 、奇静脉(蓝字)。

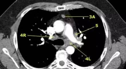
气管下段、隆突之上肺 CT 横断面的左下气管旁淋巴结(4L)、右下气管旁淋巴结(4R)、血管前淋巴结(3A)、主动脉弓下淋巴结(5)

主动脉肺动脉区(AP区):包括主动脉下淋巴结(5)、主动脉旁淋巴结(6)

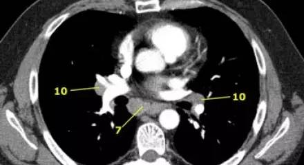
肺 CT 横断面上的隆突下淋巴结(7)、肺门淋巴结(10)

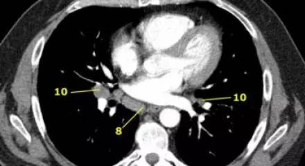
隆突下肺 CT 横断面上的隆突以下食管旁淋巴结(8)、肺门淋巴结(10)

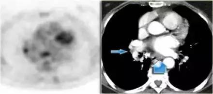
PET 图像,显示淋巴结 FDG 摄取增加,而同一横断面 CT 未显示淋巴结增大(蓝色箭头),该淋巴结癌症转移的可能性很高,PET 检查对不增大淋巴结的特异性高于增大的淋巴结。

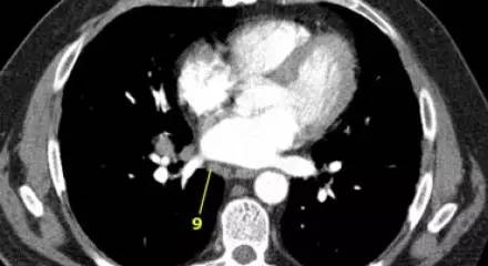
肺 CT 横断面上的肺韧带淋巴结(9)

肺 CT 横断面上的隆突下淋巴结(7)、肺门淋巴结(10)
淋巴结活检:纵膈镜、超声内镜下细针抽吸活检术(EUS)
传统纵膈镜:如下各组淋巴结可以通过颈部纵膈镜进行活检:上气管旁淋巴结(2L、2R)、下气管旁淋巴结(4L、4R)、隆突下淋巴结(7)。锁骨上区淋巴结(1)位于胸骨柄上缘之上,不能通过常规颈部纵膈镜进行检查。
扩大纵膈镜:左肺上叶肿瘤可能转移至主动脉下淋巴结(5)和主动脉旁淋巴结(6)。这 2 组淋巴结常规颈部纵膈镜无法进行活检。扩大纵膈镜可替代前-第二肋间隙纵膈切开术,用于探查纵膈各组淋巴结。扩大纵膈镜不易操作,因而较少常规使用。
EUS:食管超声内镜下细针抽吸可用于所有纵膈淋巴结的评估。除了可以评估左侧肾上腺和肝左叶,EUS 还可评估下纵膈区淋巴结(7、8、9) 。
收藏
回复(0)参与评论
评论列表






