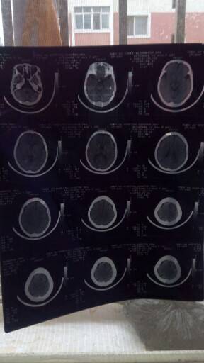
妈妈肺部和脑部肿瘤消失了
收藏
回复(174)举报
参与评论
评论列表
按投票顺序
请问特罗凯哪里有的买
举报
2016-07-21 07:28:31 有用(4)
回复(4)
看来特罗凯入脑效果真是好,恭喜!
举报
2016-09-29 22:50:40 有用(3)
回复(0)
我老公肺腺癌,21位基因L858R突变
举报
2016-07-17 22:59:32 有用(3)
回复(1)
麻烦 特罗凯鳞癌可以吃吗?我妈身体弱 大夫说鳞癌吃靶向药效果不好 都不建议吃。我都想叫她盲试了!可又不敢。
举报
2017-09-02 18:09:50 有用(3)
回复(2)
真好 恭喜啊
举报
2016-07-17 16:17:54 有用(2)
回复(1)
恭喜!阿姨的肺ca是哪个类型的啊?
举报
2016-07-17 14:33:52 有用(2)
回复(1)
能交流一下吗?
举报
2016-07-17 22:19:38 有用(2)
回复(1)
你好,我爸爸晚期肺癌,能把治疗你妈肿瘤的中医生的电话号码给我好吗,万分感谢
举报
2017-09-30 14:05:47 有用(2)
回复(1)
请问一下 中药的处方是熊岳肿瘤医院的哪个医生呢 谢谢了
举报
2017-09-07 18:06:53 有用(2)
回复(3)
求方子!我妈妈也是肺腺癌没转移!可以吃这个药吗
举报
2016-10-30 20:00:54 有用(2)
回复(1)
你妈妈做过肺部手术了吗?
举报
2017-11-02 16:04:53 有用(2)
回复(2)
这就确定是中药的功劳不科学吧?
举报
2016-07-18 17:33:45 有用(1)
回复(1)
发现时候有转移吗
举报
2016-09-24 13:27:20 有用(1)
回复(0)
你把每次拿药的发票查询一下,不就知道了有那些药物。拍个照。解决了大家的急切盼望。
举报
2016-07-17 20:22:33 有用(1)
回复(2)
恭喜,加油!
举报
2017-02-14 16:12:12 有用(1)
回复(0)
我弟弟现在都不能下床了 肯书朋友们给点建义
举报
2016-10-05 20:07:38 有用(1)
回复(1)
好运来,奇迹再现。。
举报
2017-11-02 13:59:41 有用(1)
回复(0)
真幸运,祝你抗癌成功,
举报
2016-07-17 13:04:02 有用(1)
回复(1)
你们的特罗凯是在哪买的,我是辽宁阜新的,是在省肿瘤医院还是当地医院
举报
2017-08-27 08:55:44 有用(1)
回复(6)
可以把中药方子告诉我吗
举报
2017-02-13 20:27:19 有用(1)
回复(6)
交流下日常生活,祝福!
举报
2016-07-17 15:14:44 有用(1)
回复(2)
接好运!!!保佑我妈妈也好运
🏻
🏻
举报
2017-09-01 22:06:14 有用(1)
回复(0)
可以分享一下吗,特罗凯是治肺癌哪方面的,做了基因检测了吗
举报
2016-07-17 21:08:53 有用(1)
回复(4)
祝福
举报
2016-07-17 15:19:54 有用(1)
回复(1)
楼主现在怎么样了?
举报
2017-09-21 04:59:23 有用(1)
回复(1)
你好!可以给我指导一下嘛?我爸爸也刚查出来肺癌晚期脑转!我现在不知道该怎么办?医生反复在抽检肺部积液做化验,可找不到,脑部肿瘤明确不了。下一步我们该怎么办?
举报
2017-11-24 23:40:17 有用(1)
回复(0)
接好运,祝我妈妈也可以像你妈妈一样幸运。
举报
2017-10-26 20:50:50 有用(1)
回复(0)
吃靶向药,持罗凱
举报
2017-11-30 05:52:17 有用(1)
回复(2)
很好,我看了你的帖子日期是去年的,还有更新吗?
举报
2017-09-02 18:33:48 有用(1)
回复(1)
真心祝福,希望越来越好!
举报
2016-07-18 07:12:50 有用(1)
回复(1)
相关推荐
热点推荐
暂无数据






