肺癌会传染?2岁男童染上肺癌肿瘤消失的秘密竟然是……
肺癌会传染吗?大部分觅友都觉得肺癌是不会传染的,毕竟肺癌是一种基因病。但是,也有小概率事件发现,有些母亲在分娩时,孩子可能被“传播”肺癌细胞,从而确诊肺癌!
但令人惊奇的是,其中有的孩子接受PD-1免疫治疗,肿瘤发生了显著消退!
分娩中吸入癌细胞
男孩出生后患肺癌
本次报道的两个病例都是在进行常规二代测序分析(NGS)的过程中偶然发现的。
患儿A:是一名23个月大的男童,因为咳嗽有痰2周被送到当地医院,CT显示沿着双肺支气管有多个肿块,肺组织活检显示肺神经内分泌癌伴局灶性腺体分化。
母亲35岁,未接种过HPV疫苗,且分娩前7个月进行宫颈细胞学检查结果为阴性,然而却在婴儿出生3个月后被诊断为宫颈鳞状细胞癌。
确诊后,患儿母亲接受了手术和化疗,但最后还是发生了肺、肝和骨转移。又经过了4周期纳武利尤单抗治疗,患儿母亲还是在疾病进展后5个月死亡。
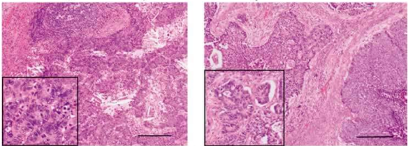
患儿B:确诊肺癌时,人们并没有怀疑癌症是母亲传播给孩子的,直到后续的组织学检测和基因检测证实了这一点。两人的组织学检查结果相似,二代测序也显示具有相同的致病性突变(KRAS和TP53突变)。
左边为母亲的肿瘤组织,右边为患儿的肿瘤组织
患儿A治疗过程
确诊肺癌后,患儿A并未接受治疗,只是接受随访。1年后,也就是孩子3岁时病灶发生进展,不得不进一步接受治疗。令人惊讶的是,当时一些病灶已经自发消退了。
在接受了两种化疗方案后,患儿A开始盲试PD-1单抗(纳武利尤单抗)。接受4个周期的纳武利尤单抗治疗后,所有的病灶均缩小了;接受14个周期的PD-1单抗治疗后,持续缓解7个月,未出现新的病灶。遂进行了肺叶切除,并达到病理学完全缓解。接受肺叶切除术后12个月时,患儿A无疾病复发现象。
在后续的免疫组化染色中,患儿A和其母亲肿瘤中,PD-1和PD-L1均呈阴性。
患儿B治疗过程
患儿B是一名6岁男童,因左侧胸痛被送到医院,CT显示左肺门区有一个直径6cm的肿块,诊断结果是黏液腺癌。其母亲曾在怀孕期间被检查出宫颈息肉样肿瘤,分娩后活检发现宫颈病灶为腺癌。
母亲在分娩3个月后行手术,但依然在术后两年死于该肿瘤。直到患儿B在6岁确诊肺癌,人们也没有意识到癌症是由母亲传播的。
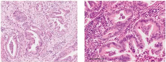
在经历了多个方案的化疗后,患儿B接受了左全肺切除术,肺部病理学显示黏液腺癌,这种病理类型在原发性肺癌中非常罕见,但与其母亲的宫颈肿瘤相似。二代测序结果也显示,母亲和患儿的正常样本存在差异,但肿瘤样本基因谱相似,表明肿瘤发生了母婴传播。
左边为母亲的肿瘤组织,右边为患儿的肿瘤组织
除了母婴传播
这些“传染”方式也需注意
母亲传播途径
在报道的两个病例中,两个男童的肿瘤细胞均无Y染色体,也就是说,它们都是“女性”的肿瘤细胞。并且,这些肿瘤细胞和母亲的肿瘤细胞具有相同突变。
两个病例都是宫颈癌母亲分娩时阴道液体经过婴儿吸入传播,表现在肿瘤就是两个患儿的肿瘤都沿着支气管周围生长。
其实,不只是“经阴道的母婴传播”,此前还报道过许多母婴传播的病例。例如,母亲的血液、皮肤、肺和宫颈癌发生了血行传播(经胎盘的母婴传播),并且,经血行转移的癌细胞还常常播散到婴儿的多个器官(如脑、骨骼、肝脏和软组织)。
不过令人惊讶的是,在这些病例中,部分患儿的肿瘤竟然可以自行消退。类似的,本次报道的患儿A病例,尽管PD-L1表达为阴性,但接受PD-1单抗治疗依然取得了非常不错的效果,与之相对,其母亲同样PD-L1表达阴性,但却没有很好的治疗响应。宫颈癌本身进展非常快,但患儿B直到6岁才有临床症状,可见,患儿B的免疫系统同样可能影响了肿瘤的生长速度。
总体来看,母亲的癌症传播给后代的情况非常罕见,估计每50万名患癌母亲中才有1名婴儿会发生癌症的母婴传播。
但除了母婴传播,癌症的另一种“传染”方式也曾名噪一时,那就是——器官移植。
器官移植传播
2007年,一位53岁的女性因为突发脑梗不幸去世,她的心脏、肺、肝和两个肾分别移植给了5位患者。除了心脏移植失败,其它4位患者的器官移植都取得了成功。然而,这4位患者陆陆续续都在体内检查出了乳腺癌细胞,并最终死于癌症,而这些乳腺癌细胞正是来自捐献器官的女性!
为什么器官移植会传播癌症,但却没听说过输血传播或者伤口传播,甚至性传播呢?
原因可能是,器官移植患者为了减轻排斥反应,会使用免疫抑制剂,造成免疫系统的抑制状态。正是这种免疫系统的非正常状态,为癌症的传播制造了条件。
收藏
回复(5)参与评论
评论列表
田丝瓜
幸福的卡布奇诺






