大家帮忙参考下,要不要后续辅助治疗?

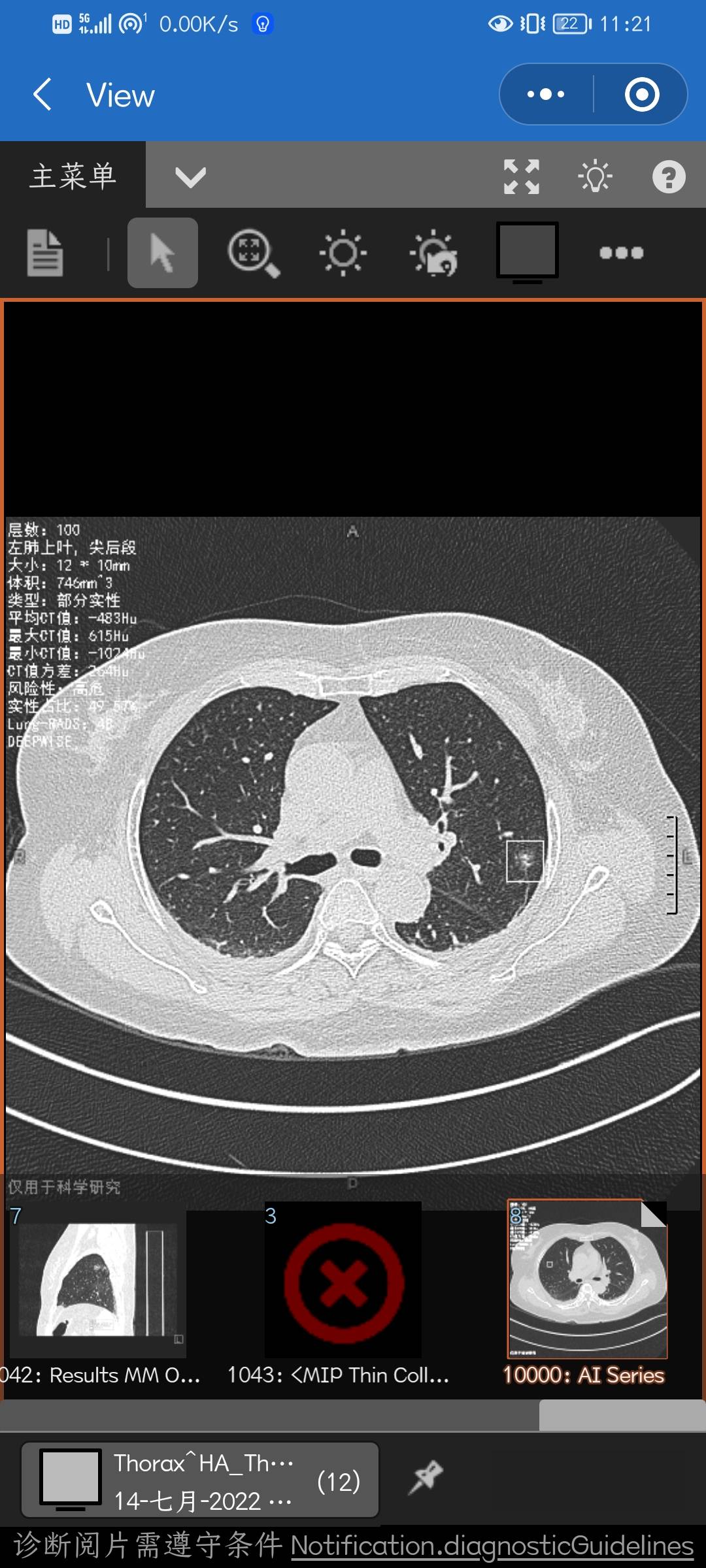
医生说是T1bN0M0,贴壁50%+腺泡30%+实性10%+乳头10%,KI-67(8%),恳请大家看看帮忙参考下,要不要后续辅助治疗?图片
图片

参与评论

更多
图片验证码

评论列表

更多
按投票顺序
留意到免疫组化有EGFR过表达,个人认为应该先看看基因检测结果。👀
举报
2022-08-09 21:16:11
有用(0)
回复(1)
可以的,就是乳头10其余都好,
举报
2022-08-12 09:37:36
有用(0)
回复(1)
征求主刀医生的建议,没有人比他清楚
举报
2022-08-12 09:38:46
有用(0)
回复(1)
如果有EGFR突变,可以考虑靶向药辅助治疗。如果我是这个情况,我倾向于定期复查即可。
举报
2022-08-10 18:43:03
有用(0)
回复(3)
暂无数据