【用实例说话】Ⅲb期肝细胞癌一线治疗快速进展,二线局部联合靶免治疗PFS已超9个月!
随着系统治疗的发展,中晚期肝癌治疗进入全新的探索时代。在多学科综合诊疗(MDT)模式下,如何进行一、二线治疗排兵布阵成为临床治疗中颇受关注的问题。本期分享的这例合并门脉癌栓的肝细胞癌患者,一线局部联合靶免治疗进展后,二线治疗及时更换靶向药物瑞戈非尼,目前无进展生存时间已超9个月,为患者带来了良好的生存获益。
天津市第二人民医院肝病科 副主任医师
天津市医学会肝病学会青年委员
天津市中西医结合学会肝病学分会委员
天津市中西医结合学会临床药理学会委员
天津市预防学会流行病学分会委员
天津市中西医结合学会心身学会委员
天津市中西医结合学会精神学会委员
长期从事病毒性肝炎及各种原因导致的肝硬化、肝癌及其并发症等疾病的诊治工作
病例讲课视频
一般情况
患者男性,55岁,主因“乏力、肝区不适1周”于2021年5月第1次收入院。外院查肝功能异常,腹部彩超提示肝硬化,肝内异常回声区;否认肿瘤家族史;神志清楚,皮肤巩膜无黄染,可见肝掌,前胸可见毛细血管扩张,未见蜘蛛痣。
乙肝五项:HBsAg 59 IU/mL、HBeAg 122.22 S/CO、 HBeAb 0.429 S/CO,HBcAb 9.12 S/CO;HBV-DNA:1.02×106IU/ml。
肝功能: 谷丙转氨酶(ALT)158.5 U/L、谷草转氨酶(AST)112 U/L、γ-谷氨酰转移酶(GGT)61.9 U/L、总胆红素(TBIL)34 μmol/L、白蛋白(ALB)45 g/L、胆碱酯酶(CHE)5518 U/L。
甲胎蛋白(AFP):10917.5 ng/ml;异常凝血酶原(PIVKA-Ⅱ):36723 mAU/ml。
腹部彩超:肝内异常回声团块(肝癌?),肝硬化,门静脉栓子形成;肝硬度:206db/m,16.2 KPa;ARFI:弥漫性肝损害,F4。
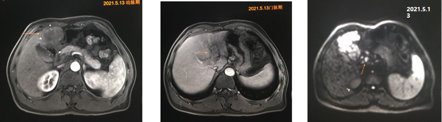
腹部普美显增强MRI:肝顶及肝左叶(S2-4)多发结节及团块,考虑肝癌,门静脉左支癌栓形成,腹膜后多发小结节,转移待除外,肝硬化,肝多发再生结节(图1)。
图1.2021年5月13日MRI
诊断:1.原发性肝癌,门静脉癌栓,腹膜淋巴结继发恶性肿瘤?2.乙型肝炎肝硬化(代偿期)。
分期:C-P分期 A期;BCLC分期 C期;CNLC分期 Ⅲb期。
一线治疗——TACE联合仑伐替尼 卡瑞利珠单抗治疗
经MDT讨论,自2021年5月,给予经导管肝动脉化疗栓塞(TACE)联合仑伐替尼 卡瑞利珠单抗治疗方案,且全程加入恩替卡韦抗病毒治疗以及全程保肝治疗。分别于2021年5月和2021年7月行2次TACE治疗,AFP变化不明显,PIVKA-Ⅱ有上升趋势(表1)。
表1.2021年5月至2021年7月治疗及结果
二线治疗——TACE联合瑞戈非尼 卡瑞利珠单抗治疗
2021年8月,腹部普美显增强MRI:肝左叶(S2-4)多发肝癌灶范围较前减小,门静脉主干及门静脉左右支癌栓较前增多,腹膜后多发小结节,转移待除外(图2)。给予TACE 瑞戈非尼 卡瑞利珠单抗治疗。
2021年12月,腹部普美显增强MRI:治疗术后改变,未见明显肿瘤活性,门静脉主干及门静脉左右支癌栓较前减小,腹膜后多发小结节(图2)。
图2.2021年5月、2021年8月、2021年12月复查增强MRI
2022年2月,为预防复发,行TACE治疗;过程中未见明显复发或进展。
2022年5月再次行TACE治疗,MRI和TACE中均未见明显肿瘤活性,且MRI示门静脉主干及门静脉左右支癌栓较前减小(图3)。
相关化验指标显示,自2021年 8月更换二线靶向药物瑞戈非尼后,AFP和PIVKA-Ⅱ大幅下降,肝功未受到明显影响(表2)。
图3.2022年5月复查MRI
表2.治疗经过-相关指标监测
治疗经过总结:
医学博士、副主任医师、硕士研究生导师
法国Fondation Jean Dausset CEPH博士后
中华医学会肝病学分会第六届、第七届全国青年委员
天津市第二人民医院肝病科主任
主持国自然面上项目
参与“十二五”“十三五”科技重大专项课题“慢加急性肝衰竭临床研究”、“肿瘤免疫治疗的基因组学研究”
在Gut, Clinical Gastroenterology and Hepatology, Emerging Microbe Infection,Journal of Clinical Microbiology,Bioinformatics 等杂志上发表论文多篇
病例点评视频
经上述病例介绍,我们看到该例患者是临床诊疗过程中常见的一类典型病例。该类患者的特点即是伴有慢性乙肝或肝硬化基础,且既往从未就诊或无规律就诊,也未进行肝癌定期筛查;发现相关症状后,首次就诊即为晚期肝癌。
该病例诊断时为肝脏多发肿瘤合并门脉癌栓和腹膜淋巴结转移。中国肝癌分期为Ⅲb期,巴塞罗那分期为 C期。明确诊断时,患者已失去了如手术切除、射频消融、肝移植等根治性治疗的机会,预期生存期不超过1年。
经MDT讨论,确定了局部加系统联合治疗的综合方案。经TACE联合仑伐替尼加卡瑞利珠单抗治疗3个月,评估肝癌范围较前明显减少,门脉癌栓较前增多;同时患者有比较严重的药物不良反应,几乎无法耐受。经进一步讨论,我们将方案更改为瑞戈非尼联合卡瑞利珠单抗治疗。瑞戈非尼是目前国内外指南一致推荐的标准的二线指导药物[1-3],其的作用靶点也更多,广泛作用于VEGFR(1~3)、TIE2、PDGFR(-α,-β)、FGFR(1~2)、KIT、RAF、RET及CSF-1R等靶点[4]。该患者对此方案耐受性良好。治疗6个月后 MRI评估显示,肝内病灶消失,门脉癌栓明显减少。截止至目前最后一次随访,患者生存期已超12个月,无进展生存期超过了9个月。
针对该病例,我们讨论以下两个问题。第一为分子靶向联合免疫治疗。靶免治疗是近年来肿瘤系统治疗的重要进展,靶免联合治疗在肝癌中的应用,使得整体疗效较前有了明显提高。但晚期肝癌治疗仍然面临诸多挑战,例如晚期肝癌预后仍然比较差,靶免联合治疗广泛应用后,临床上应答不佳的患者会越来越多,他们的后续治疗也是值得关注的临床问题。本例患者通过更换二线分子靶向药物瑞戈非尼取得了比较理想的治疗效果。
第二是肝病内科在肝癌MDT诊疗体系中的作用。肝病内科因接触乙肝患者的病程更早,在肝癌的病因预防、肝癌筛查和早期诊断方面具有先天优势;同时对晚期肝癌患者的相关治疗、不良反应监测和支持治疗的经验也越来越多。希望通过多学科的共同协作,进一步提高肝癌的全程诊治水平,让更多的肿瘤患者从中受益!
[1]中华人民共和国国家卫生健康委员会. 原发性肝癌诊疗指南(2021 年版).
[2]中国临床肿瘤学会(CSCO)原发性肝癌诊疗指南(2020版).
[3]NCCN Guidelines. Hepatobiliary Cancers, Version 4.2021.
[4]Stivarga (regorafenib) Full Prescribing Information, Bayer HealthCare Pharmaceuticals, Whippany, NJ, 2018.
收藏
回复(1)参与评论
评论列表






