转发一病例分析,也许对谁会有帮助

瑞意前行|肝癌术后复发的MDT综合治疗

中国医学论坛报今日肿瘤 2021-09-08 20:00




图片

近年来,肝癌系统治疗进展日新月异,靶向治疗不断取得突破性进展。随着肝癌靶向治疗选择愈加丰富,如何合理地对药物进行排兵布阵,成为肝癌领域热点课题。索拉非尼作为原发性肝癌治疗的一线治疗药物已被临床广泛使用,同时二线瑞戈非尼在原发性肝癌治疗方面的研究也已成为应用热点。本文将分享一例原发性肝癌病例,旨在为临床医生分享诊疗经验。

病例提供者

王学栋、张跃伟、黎功 北京清华长庚医院

点评专家

吴力群 青岛大学附属医院

刘权焰 武汉大学中南医院

病例关键词

手术切除;介入;免疫联合





图片

病历简介

患者男性,60岁,于2018年3月因“查体发现右肝占位2周”入我科,无不适主诉。

现病史:2018年3月外院腹部强化CT提示,肝硬化,肝脏S6占位,直径2 cm,影像学表现符合肝细胞癌表现,肝门无肿大淋巴结;影像学表现符合肝细胞癌表现,肝门无肿大淋巴结。AFP 1079.65 ng/ml;PIVKA-II 1159.50 mAU/ml。

肝功能Child-Pugh A 级,肝储备功能试验ICG R15值4.8%。

既往史:乙肝病史,未进行治疗。                         图片

第一阶段

2018年3月21日进行腹腔镜右肝肿瘤切除术。

图片

图:腹腔镜右肝肿瘤切除术前、后

术后病理回报:(肝肿瘤)肝细胞癌,低分化,肿瘤大小1.6 cm×1.3 cm×1.2 cm,大部分呈实性巢;部分呈实性巢团状排列;部分坏死,细胞部分胞浆透明,部分胞浆嗜酸性,中度异型,可见瘤巨细胞;肿瘤细胞累及肝被膜未突破,距离肝切缘2 cm;可见广泛门静脉及肝静脉内癌栓,未见明确神经侵犯;周围肝组织肝小叶结构紊乱,假小叶形成,部分肝细胞水样变,并点状坏死,部分肝细胞大小泡混合型脂肪变性,汇管区纤维组织及小胆管增生,小叶间静脉扩张,较多淋巴细胞及少许中性粒细胞浸润,轻-中度界面炎。

综上,结合病史,诊断为周围肝组织呈慢性病毒性肝炎,肝纤维化。

免疫组化:HEPPAR-1(点灶+)、GPC-3(+)、HSP70(+)、AFP(-)、CK7(-)、CK19(-)、CK8/18(-)、CD10(-)、CD34(+)、D2-40(-)、P40(-)、Ki-67(25%+)。

术后5天拔管出院;出院后口服药物:槐耳颗粒、恩替卡韦,予定期复查。

第二阶段 

2018年8月9日(术后4个月)复查肿瘤标志物升高。

                                             图片

图:甲胎蛋白(ng/ml)、异常凝血酶原(mAU/ml)变化情况(2018-8-9)

经MDT会诊讨论,分别于2018年8月23日、2018年9月29日、2018年11月19日、2019年3月18日、2019年4月12日先后行肝动脉化疗栓塞治疗五次,用药均采用碘化油、洛铂、造影剂、明胶海绵颗粒、雷替曲塞、利多卡因。

图片

图:甲胎蛋白(ng/ml)、异常凝血酶原(mAU/ml)变化情况(2018-8-28~2018-12-27)

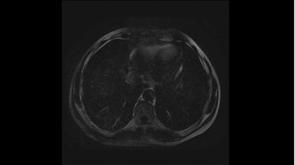
随后予肝动脉持续灌注治疗4次联合索拉非尼方案治疗,分别于2019年5月8日、2019年6月6日、2019年7月1日、2019年7月26日采用FOLFOX4方案进行肝动脉灌注化疗。2019年5月12日开始服用索拉非尼。2019年8月29日(术后17个月)影像学检查,疗效评价为SD。


图片

图:影像学检查(2019-8-29)

图片

图:甲胎蛋白(ng/ml)、异常凝血酶原(mAU/ml)变化情况(2019-6-5~2019-7-30)

2019年9月20日开始,治疗方案由索拉非尼更换为瑞戈非尼2片 q3d。同时,于2019年8月31日开始规律使用PD-1单抗(信迪利单抗)200 mg/3w。

2019年12月5日(术后21个月,更改方案后2个月)进行影像学复查,疗效评价为达到PR,直至2020年6月11日(术后27个月)复查仍为PR状态,肿瘤标志物降至正常。


图片

图片

图:影像学检查(第一行:2019-8-29,第二、三行:2019-12-5,第四行:2020-6-11)


图片

图:甲胎蛋白(ng/ml)、异常凝血酶原(mAU/ml)变化情况(2020-6-11)

目前患者饮食、睡眠、活动可,无明显靶向及免疫药物相关并发症,病灶进一步缩小,肿瘤标志物稳定,拟继续予靶向+免疫治疗,拟从联合治疗改成单药治疗,定期复查。


临床思辨


图片

在这一病例中,有许多值得关注的问题:该患者属早期肝癌(BCLC分期为A期)+宽切缘,具有小于切除术后6个月早期复发且多中心起源的复发特点,复发原因包括低分化、肝硬化背景、广泛微血管侵犯(mVI)等,这提示临床具有复发高危因素的患者,术后应尽早进行介入+靶向药物治疗。介入+靶向药物治疗控制不佳时,应尽早更换靶向药物,并同时联合免疫治疗,靶向及免疫的干预时机应尽早。

MDT的理念应以手术切除为核心,具体应用包括不可切除肝癌的肿瘤控制和转化治疗、可切除肝癌的术前新辅助治疗以及肝癌切除术后肿瘤复发的预防和控制。MDT治疗本身治疗手段多、组合方式复杂、治疗疗程长,治疗方案实时调整,需要保持多学科、面对面、持续、有效沟通的合作形式,这要求临床医生熟悉多学科理念、原理及应用,掌握各治疗手段的选择、组合和衔接,并且能与病患家属的持续、有效沟通。

各自为政的单一治疗时代已经结束,围绕手术切除为核心的MDT综合治疗模式,有助于控制并实现肿瘤降期,不可切除晚期肝癌进行转化治疗、对可切除肝癌进行术前新辅助治疗,从而提高手术整体有效性,预防和治疗术后肿瘤复发,改善患者远期预后。

图片


图片

专家点评

图片图片肝癌的早期手术治疗非常重要,该病例为一小肝癌,其手术的切缘范围的大小值得我们思考,虽然存在肝硬化,但根据其ICG<10等其他辅助检查结果,认为可以做一个S6解剖性肝切除,以达到更好的效果。其次术后病理报告微血管内存在癌栓,此类患者介入治疗应当及早进行,待其复发后在做介入时机稍晚,手术后尽早进行预防性的TACE治疗有利于患者预后。

图片

该病例在术后病理报告的解读上需要有细化深入的点,广泛门静脉及肝静脉内癌栓与微癌栓的概念不同,会影响肿瘤的分期判断,在MDT讨论时应格外注意与病理科的充分沟通

参与评论

更多
图片验证码

评论列表

更多
按投票顺序
适合自己的就好最好的,关键是运气要好,遇到一个好医生,也可能多了解点等到自己需要选择的时候不会很纠结
举报
2022-03-14 20:18:03
有用(2)
回复(1)
这是个反面病例吧
举报
2022-03-15 21:18:38
有用(0)
回复(0)
爸爸确诊病情已经有11个多月了。一共做了8次大化疗,2次小化疗,以及35次放疗,上月返医院检查“瘤子”没有了。这一路走来,有多少的艰辛与泪水。在这里与大家分享爸爸的治疗过程。起初,拿到病例报告的时候,
Xxiaoxiao
100790 阅读
阅读全文
妈妈患肺癌已经有三年了,这三年来一直在接受治疗到现在,下面是妈妈检查以及治疗的过程。2010年10月,妈妈体检出肺癌IV期,纵隔淋巴转移,肝部转移,去省肿瘤医院复查,做了PET-CT,结果一样,省肿瘤
2011年11月,妈妈被诊断肺癌,我在网上浏览了很多帖子,学到了很多,看到了一批又一批共同奋斗在抗癌战线上的战友。这15个月走下来,越来越体会到抗癌之路的艰辛,今天发个帖子,记录一下妈妈的治疗经过,也
invay
38366 阅读
阅读全文