无奇不有!盘点那些神奇的癌症自愈现象
不知道觅友们最近有没有看到过这样一则新闻:全球已出现第二例艾滋病自愈的报道,就在前不久发表在顶级医学期刊《内科学年鉴》上。这位幸运的患者在查出HIV血液抗体阳性后(说明感染过HIV病毒),未曾进行过任何抗艾治疗,而且体内也没有病毒活跃的迹象和病毒复制的证据(找不到HIV病毒)。她在3年后,还诞生了一个完全健康的宝宝。

图片来源:acpjournals.org
相信很多人看到这则新闻时都惊呆了,可转念一想,既然艾滋病这么棘手的疾病都有自愈的病例出现,那癌症有自愈的病例吗?尤其是死亡率最高的肺癌?
秉着大胆假设、小心求证的精神,努力查阅了相关文献。真的是不查不知道,一查吓一跳,实际上,癌症自愈的病例,在全球有过不少报道。那些医学史上神奇的癌症自愈病例,引起了我的好奇。
首先,我们来明确一下“癌症自愈”的定义:“癌症自愈”是指在未经任何治疗,或未经指南推荐的规范治疗的情况下,恶性肿瘤部分或全部自行消失,从而获得癌症的治愈。
不过,有研究统计,“癌症自愈”现象的发生率大概在1/60 000到1/100 000之间,也就是说,6万~10万位癌症患者里面,才有一位患者有自愈的可能。而且也不是所有癌症都有自愈的现象,尤其是肺癌,其自愈的病例更是屈指可数。
其实最早的癌症自愈病例可追溯到13世纪末。当时,牧师Peregrine Laziosi的一位骨肉瘤患者在经历了严重的细菌感染后,骨肉瘤神奇地消失了。
有研究统计过,从1900年到1987年,所记录的癌症自愈现象竟有741例,其中肺癌占2.6%,这样一算的话,也有差不多20例肺癌患者自愈了。
在2019年,一项来自韩国的研究统计,非小细胞肺癌(NSCLC)自愈的现象,在1988年到2019年就有17例被报道。

图片来源:bmcpulmmed.biomedcentral.com
这些病人中,主要是男性患者(13例),Ⅲ~Ⅳ期的为主(13例),低分化为主(9例);有吸烟的也有不吸烟的,甚至还有合并慢阻肺(COPD)、心衰、高血压、糖尿病和艾滋病等等的。
不过,他们都有着相同的结果,就是未经规范治疗后,肺癌神奇地消失了。这17例自愈的非小细胞肺癌(NSCLC)中,有3例患者使用了传统的草药治疗,其中一位用的还是一种偏方——保健茶(Essiac tea,也叫护士茶);一位合并艾滋病的患者,仅用过抗艾滋病的鸡尾酒疗法。大部分(12例)都是未经任何治疗。

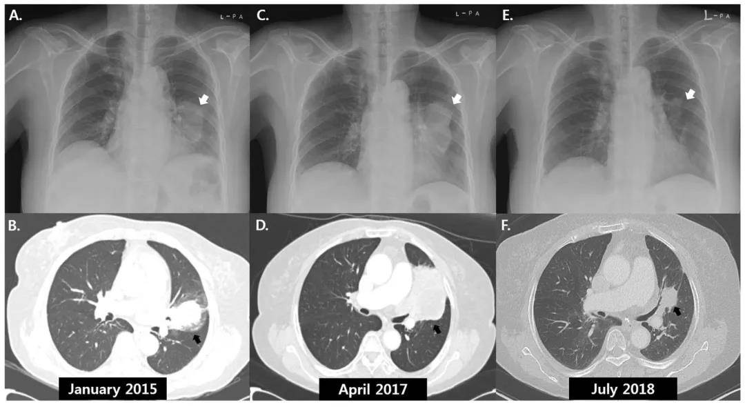
一名非小细胞肺癌患者的影像学资料,图中箭头显示肿瘤神奇地消失了
图片来源:bmcpulmmed.biomedcentral.com
那为什么癌症这种“众病之王”会神奇地自愈呢?科学家们为此着迷不已,并不断地探索其中的奥秘。虽然目前尚未发现癌症自愈的确切原因,但是很多学者猜测,这种神奇的自愈现象,和免疫系统脱不了关系。
其实我们每个人体内都有肿瘤细胞,就像再和平安定的社会也总会有几个坏人一样。只不过这些肿瘤细胞在数量上和“智力”上,跟真正的癌症患者比起来差远了。而正常人体内,只要有零星的肿瘤细胞出现,很快就会被免疫系统处理干净,从而维持整个人体的“社会秩序稳定”。
而癌症患者体内的肿瘤细胞除了数量上更多外,之所以能无限增殖还不被免疫系统及时发现和清除,主要在于它们能“狡猾”地躲开免疫系统的识别,从而伪装成正常细胞混迹于人体中,再根植于某地“安居乐业”,并不断“拓宽疆土”,甚至会像哥伦布一样勇于“探索新大陆”(转移)。
癌症的免疫治疗就是根据这些原理,来激活或重启免疫系统,就像给免疫系统升级和加装备,使之重新识别和清除肿瘤细胞。比如目前较为前沿的免疫检查点抑制剂PD-1/PD-L1抑制剂、CTLA-4抑制剂等,都是利用这些原理而研发的抗癌药物。
所以科学家推测,癌症自愈很有可能是因为,这些肿瘤患者本身的免疫系统,比其他肿瘤患者更“厉害”,或者是因为某种原因,让免疫系统重新被激活了,从而未经治疗,就在体内产生了能抗癌的“免疫治疗药物”。
不知道大家是否还记得,去年一位晚期霍奇金淋巴瘤患者,在感染了新冠4个月后,体内的癌细胞几乎全部消失了,之后他的癌症奇迹般地痊愈了;我们上面提到的那位来自13世纪末的骨肉瘤患者,也是因为在经历了严重的感染后,骨肉瘤神奇地消失了;而上述提到过的,合并了艾滋病还出现了转移的非小细胞肺癌(NSCLC)患者,在经历了抗艾的鸡尾酒疗法后,肺癌也自愈了。
这些现象,可能是因为入侵的细菌或病毒激活了免疫系统,使免疫系统“杀疯了”,顺便把肿瘤细胞也给消灭了。不过这种激活的出现,可能是因为本身的基因比较强大。而拥有这种“基因超能力”的人,也是少之又少。
而另外一些未经历过任何感染的癌症患者,可能也是因为拥有这种“基因超能力”,所以他们的免疫系统能在未经激活后,也能识别和清除肿瘤细胞,从而获得自愈。
说了这么多,想必很多癌症患者已经开始在幻想,自己在癌症自愈后被全世界媒体报道和重获新生的样子了。就像很多人会幻想自己中彩票后应该买什么一样。
然而现实是,这种概率非常非常低,所以最正确的方法还是积极治疗、科学抗癌,千万别想着等癌症自愈,否则等着等着,癌症就战胜免疫系统,从而战胜自己了。毕竟绝大部分的人都没有“基因超能力”。
虽然抗癌之路艰难险阻,但是唯有脚踏实地地寻求科学的方法,才有机会战胜癌症。
随着医学技术的不断进步,现在已不再是“谈癌色变”的时代了。面对癌症,我们现在有了手术(尤其是微创手术)、放化疗、靶向治疗和免疫治疗等治疗方法;另外,许多针对癌症的疫苗也在研发当中。相信未来癌症的治疗方法将会越来越多,疗效也会越来越好,从而让癌症变成可管可控的慢性病。
如果癌症这种“众病之王”能变成像高血压、糖尿病这种慢性病一样的话,癌症患者就可以实现“带瘤生存”。而“带瘤生存”,其实是肿瘤细胞和免疫系统达到了某种平衡,实现了和平共处,在某种意义上,这也算是一种“自愈”。
参考文献:
[1] Turk G, Seiger K, Lian X, et al. A Possible Sterilizing Cure of HIV-1 Infection Without Stem Cell Transplantation. Ann Intern Med. 2021;10.7326/L21-0297.
[2] Cole WH. Efforts to explain spontaneous regression of cancer. J Surg Oncol. 1981;17(3):201–209.
[3] Vernon LF. William Bradley Coley, MD, and the phenomenon of spontaneous regression. Immunotargets Ther. 2018;7:29-34.
[4] Challis GB, Stam HJ. The spontaneous regression of cancer. A review of cases from 1900 to 1987. Acta Oncol. 1990;29(5):545-550.
[4] Yoon HY, Park HS, Cho MS, Shim SS, Kim Y, Lee JH. Spontaneous remission of advanced progressive poorly differentiated non-small cell lung cancer: a case report and review of literature. BMC Pulm Med. 2019;19(1):210.
[5] Challenor S, Tucker D. SARS-CoV-2-induced remission of Hodgkin lymphoma. Br J Haematol. 2021;192(3):415.
[6] Menon MP, Eaton KD. Spontaneous regression of non-small-cell lung cancer in AIDS after immune reconstitution. J Thorac Oncol. 2015;10(1):e1-e2.
收藏
回复(1)参与评论
评论列表






