打破5年生存的“魔咒”,HER2阳性晚期胃癌患者达到61个月总生存
编者按:本期“例精图治”中,天津医科大学肿瘤医院的刘锐副主任医师报告了一例不可切除的HER2阳性Ⅳ期胃癌患者,经过多线化疗联合曲妥珠单抗治疗,总生存期已达到了61个月。此例患者在曲妥珠单抗跨越的多线疗程中,经历了不同的抗HER2联合治疗和维持治疗。北京协和医院的赵林教授基于此典型病例,总结了胃癌HER2检测、抗HER2联合治疗、跨线治疗、维持治疗等临床热点问题。
病例摘要
患者杨×,男,56岁,职员,主因“进食哽咽加重1月余”就诊天津某医院。既往高血压病史,口服降压药控制良好,无家族史,无过敏史。
查体:身高171cm,体重68kg。ECOG 0-1分,无贫血貌,皮肤巩膜无黄染,全身表浅淋巴结未触及肿大,腹部无压痛无反跳痛。肠鸣音正常,腹部未触及明显肿块。直肠指诊(-)。
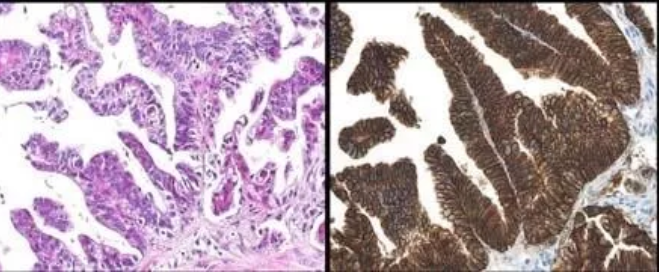
胃镜:进镜40cm见息肉样病变延及贲门及胃底、胃体,胃腔狭窄,尚能通过镜身,胃体中部近半周弥漫性粘膜破坏区,咬检病理(胃底)中分化腺癌,(贲门)粘膜急慢性炎症,腺体重度不典型增生,于炎性渗出及坏死组织中见异型细胞巢;HER2过表达,IHC 3+。肿标:CA199 742U/ml;CEA 78U/ml。胸腹盆CT:贲门胃底胃壁及胃体上部胃壁不规则增厚;下纵膈贲门周围肝胃韧带区及腹膜后多发肿大淋巴结;腹盆腔少量积液。
2014-9于当地行腹腔镜探查术,术中见:贲门胃底及胃小弯处可及7*5cm肿物,肿物与胃小弯成冰冻状,无法推动,且与胰腺表面广泛浸润,胃左动脉旁淋巴结融合成团, 术中判断肿瘤处于晚期,无法手术切除,放弃手术。术后病理及诊断(pT4bNxM1)。
入院诊断:胃癌(pT4bNxM1,IV期)


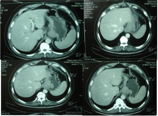
▲胸腹盆增强CT(2014.09.02)
小结:中年男性,探查术后患者,晚期胃癌诊断明确,肝门区,腹膜后多发转移。讨论目的:制定进一步治疗方案。
MDT 讨论
外科:探查结果提示为晚期不可切除IV期胃癌,暂无外科干预的意义。
内科:HER2状态明确,可考虑靶向治疗联合两药的化疗(如曲妥珠单抗+XELOX方案)。
影像科:从目前CT考虑,贲门部肿瘤累及胃底胃壁,伴腹腔多发转移,分期明确。
病理科:中分化腺癌明确,HER2扩增明确。
MDT汇总意见:化疗联合靶向为主的全身综合治疗。
阶段-1治疗及评估
术后(2014.09.24~2015.02.02)给予8周期的“XELOX+赫赛汀”联合治疗。
2周期时达到PR,4、6、8周期确认PR。

2015.03~2015.07给予6周期的“卡培他滨+曲妥单抗”维持治疗(周围神经毒性为2级)。
2015.07复查CT:贲门胃体及胃体上部胃壁增厚较前明显,PD。

阶段-2治疗及评估
2015.09~2016.02 给予8周期的“DS+曲妥珠单抗”联合治疗,最佳疗效SD。
2016.03开始给予“替吉奥+曲妥珠单抗”维持治疗,直至2016.09进食困难加重,共6月余,PD。

阶段-3治疗及评估
患者神经毒性基本恢复,于2016.09启动“FOLFOX+曲妥珠单抗”联合治疗,共12周期,整体疗效SD。
2017.02行胃区局部放疗。
2017.05给予“替吉奥+曲妥珠单抗”维持治疗。
阶段-4治疗及评估
2018.10再次影像学评估为PD,给予IRI单药化疗10周期,疗效评价SD。

2019.03~2019.06给予卡培他滨维持治疗后PD,暂未治疗。
小结:患者腔镜探查为不可切除IV期胃癌,经多程化疗联合抗HER2靶向治疗,耐受性良好,目前(2019.06)总生存达61个月。一线方案为“XELOX+曲妥珠单抗”8周期,“卡培他滨+曲妥珠单抗”维持治疗5月余,神经毒性2级;二线方案为“DS+曲妥珠单抗”8周期,并给予“替吉奥+曲妥珠单抗”维持治疗6月余;三线方案为“FOLFOX+曲妥珠单抗”12周期后,给予放疗治疗,“替吉奥+曲妥珠单抗”维持治疗16月发生进展;四线方案为IRI单药化疗10周期,卡培他滨维持治疗4月发生进展。
病例报告作者简介:
刘锐肿瘤学博士,副主任医师
天津医科大学肿瘤医院消化科
中国研究型医院协会消化肿瘤专业委员会青委
中国抗癌协会支持治疗专业委员会青委
中国抗癌协会肿瘤临床化疗专业委员会青委
天津市“131创新型人才”称号
天津医科大学肿瘤医院青年科技人才称号
病例点评
此例HER2阳性不可切除的晚期胃癌患者,经过多线靶向联合化疗及维持治疗,并在适当时机同时联合放疗,成功达到了超过5年的总生存。在治疗过程中,涉及晚期胃癌抗HER2治疗很多热点问题,值得借鉴和讨论。
1.HER2阳性率
在胃癌中,HER2阳性率约10%~20%。两项中国大型多中心研究显示,中国胃癌HER2阳性率为12%~13%。胃癌HER2检出率受到肿瘤部位、病理类型、分化程度等因素的影响。从发病部位来讲,胃-食道接合部的胃癌HER2阳性率高,可达30%;从病理类型来看,肠型胃癌的HER2阳性率高;从分化程度来看,高分化、中分化型胃癌比低分化型的胃癌HER2阳性率高。本例贲门胃底腺癌,HER2阳性,提示我们HER2常规检测的重要性,特别是对胃食道接合部的胃癌,更要重视HER2的检测。
2.抗HER2靶向治疗延长患者生存
ToGA研究确立了HER2阳性晚期胃癌的标准一线治疗方案是曲妥珠单抗联合铂剂+氟尿嘧啶类药物,联合靶向药物曲妥珠单抗后可使中位OS从11.8个月延长至16.0个月(HR 0.51)。2019年ASCO公布了中国开展的曲妥珠单抗治疗胃癌的回顾性真实世界研究(EVIDENCE研究),提供了中国胃癌患者的数据;曲妥珠单抗联合化疗组对比单纯化疗组,总生存(OS)由17.2个月延长至22.3个月,无进展生存(PFS)由6.9个月延长至8.2个月,缓解率(RR)由18.4%提高至51.7%,均有显著性提高(p<0.05);曲妥珠单抗最常见的联合方案为XELOX(卡培他滨+奥沙利铂),且疗效最佳,中位OS达到34.6个月。本例患者在一线治疗中首选了常用的XELOX化疗方案联合曲妥珠单抗,获得了10个月的PFS。
3.抗HER2靶向治疗可以联合的化疗方案
目前晚期胃癌关于曲妥珠单抗的大型Ⅲ期临床试验仅有一项ToGA研究,在该研究中采用的化疗方案是顺铂与氟尿嘧啶或卡培他滨联合。一项荟萃分析比较了15项已发表研究中一线曲妥珠单抗治疗方案的化疗骨架,共纳入557例患者,结果发现曲妥珠单抗联合奥沙利铂和卡培他滨或Fu方案的总生存时间明显更长(中位数OS:20.7个月vs.16个月,HR 0.75),毒性也较低。从我们国家的EVIDENCE研究可以看出,在中国最常用的联合方案也是XELOX。临床实践中,许多临床医生还会使用其他化疗方案与曲妥珠单抗联合。虽然没有其他Ⅲ期临床试验的证据,NCCN指南也支持可以选择多种化疗方案与曲妥珠单抗联合。但蒽环类药物因其潜在的心脏毒性,与曲妥珠联合时要慎重。
4.含曲妥珠单抗方案的维持治疗
晚期胃癌接受化疗疾病缓解或稳定后,临床实践中为减轻患者不良反应,并维持疗效,医生通常会选择维持治疗。对于使用含曲妥珠单抗方案后如何选择维持治疗,目前没有肠癌那样大规模临床研究的数据。在ToGA研究中,最初的研究设计是化疗最多使用6个周期,曲妥珠单抗单药使用至疾病进展或毒性不可耐受。在JACOB研究中,也是化疗最多使用6个周期,曲妥珠单抗和帕妥珠单抗使用至疾病进展或毒性不可耐受。在临床实践中,考虑到靶向药物与口服卡培他滨之间可能的协同作用及卡培他滨相对良好的耐受性,选择曲妥珠单抗联合卡培他滨维持治疗的患者比例较高,但确实缺乏大规模研究数据的支持。希望以后至少能有回顾性研究的分析提供一些依据。
5.曲妥珠单抗可否跨线治疗
2018年ASCO公布了一项随机Ⅱ期试验WJOG7112G(T-ACT),比较不可切除的HER2阳性晚期G/GEJ患者在一线含曲妥珠单抗方案失败后,二线紫杉醇+曲妥珠单抗对比单用紫杉醇的有效性。共入组91名患者,结果两组PFS(3.68个月vs. 3.19个月, HR 0.906, p=0.334)及OS (10.20个月vs. 9.95个月,HR 1.230, p=0.199) 均无显著差异。亚组分析发现曲妥珠单抗的使用间隔期对PFS有影响,当间隔期>30天时,曲妥珠单抗的跨线治疗有显著获益。研究还发现近2/3的患者HER2状态在一线抗曲妥珠单抗治疗后发生改变。这是一个小样本的研究,虽然在乳腺癌中曲妥珠单抗可以跨线使用,但在胃癌中抗HER2治疗的跨线使用目前还没有明确的证据。
本例曲妥珠单抗采用了跨线治疗,并达到了12个月的PFS。胃癌的抗HER2可否跨线,尚需开展大规模的研究,但小规模研究的阴性结果,至少提示我们要去进行人群的筛选,是否应该动态地监测HER2状态,根据HER2新的状态去决定用药?是否要考虑肿瘤的克隆演变,在适当的间隔期后再考虑使用抗HER2治疗?目前对于曲妥珠单抗的耐药机制仍然知之甚少。
6.曲妥珠单抗与免疫治疗的联合
在免疫治疗如火如荼的今天,抗HER2治疗可否与免疫治疗联合?理论上抗PD-1药物和抗HER2药物联合,可以扩展T细胞活化,增强抗体依赖性细胞介导的细胞毒作用(ADCC),从而增强HER2阳性患者的抗肿瘤免疫反应。2019年ASCO公布了一项曲妥珠单抗联合帕博利珠单抗的Ⅱ期试验,在入组的28例患者中,缓解率高达87%,疾病控制率100%,中位PFS为13个月,12个月OS率为76%。无独有偶,2019年ASCO GI大会上也公布了另一个抗HER2药物Margetuximab与帕博利珠单抗联合的研究,用于晚期HER2阳性曲妥珠单抗一线治疗后进展的胃食管腺癌患者。该方案不含化疗,有效率达41.4%,疾病控制率达72.4%,中位PFS为5.5月。基于这些探索性研究中值得鼓舞的结果,一项国际多中心的Ⅲ期试验KEYNOTE-811研究已开展,目的是进一步探讨免疫治疗与抗HER治疗联合的价值。
随着抗HER2研究的深入和临床数据的积累,希望有越来越多的证据来回答胃癌抗HER2治疗中很多有争议的问题,使患者的生存期能进一步延长。
病例点评专家简介:
赵林医学博士、主任医师、副教授、硕士生导师
北京协和医院肿瘤内科
中国临床肿瘤学会CSCO青年委员
北京肿瘤病理精准诊断研究会副会长
中国医疗保健国际交流促进会胃肠外科分会常务委员
北京乳腺病防治学会肿瘤免疫治疗专业委员会常务委员
中国研究型医院学会精准医学与肿瘤MDT专业委员会常务委员
收藏
回复(4)参与评论
评论列表






