放疗专栏 | 原发性肝癌放射治疗规范

原发性肝癌在全球肿瘤发病率中位居第5位,在死亡率中位居第3位。我国是肝癌高发国家,全世界约有50%的新发和死亡病例发生在我国。其中,肝细胞肝癌(HCC)是原发性肝癌的主要病理类型,约占70%~85%,手术是其最重要的根治手段。然而,由于发病隐匿,多数HCC患者确诊时已为中、晚期。在我国,约有85%以上的患者由于肿瘤较大或弥漫、侵犯大血管、长期肝炎或肝硬化肝功能差、全身状况不佳、肿瘤位置不适合手术或移植肝源匮乏等原因失去了接受根治性手术的机会。因此,改善这部分患者的生存现状成为HCC治疗的重大挑战之一。

20世纪90年代以前,受传统二维放疗技术手段的限制,HCC放疗的效果较差且对肝脏损伤较大。这导致大多数肿瘤科医生,包括放疗科医师在内,都产生了根深蒂固的观念,认为原发性肝癌是放疗不敏感的肿瘤,因此HCC患者较少进行放疗。90年代中期之后,随着现代精确放疗技术的迅速发展,放疗应用于HCC患者的安全性和有效性已得到广泛证实。目前研究数据显示,HCC的α/β比值(组织中DNA单链断裂和双链断裂相等时的照射剂量)≥10,其放疗敏感性相当于低分化鳞癌,而且部分肝脏可以安全地接受较高的放疗剂量。三维适形放疗(3DCRT)、调强放疗(IMRT)和体部立体定向放疗(SBRT)等精确放疗技术的日益成熟和广泛应用,为肝癌治疗提供了新的机遇。笔者现将近年来肝癌放疗领域的治疗规范进行总结和介绍。


直径≥2 cmHCC,SBRT或优于RFA

早期HCC的治疗手段主要为手术和肝移植。对于无血管侵犯的单发肿瘤、Child-Pugh A级且无门脉高压的患者,手术可取得较好的疗效。当患者由于各种原因不适合或拒绝手术和经皮射频消融治疗(RFA)时,SBRT是较好的替代治疗。SBRT具有单次剂量高、肿瘤周围剂量梯度变化大、正常组织受照剂量低的特点,可在提高肿瘤区剂量的同时不增加周围正常肝组织放射剂量。

SBRT目前已成为HCC治疗领域的研究热点。虽然相关文献多为小样本、单中心研究,但均证实SBRT具有极佳的局部控制(LC)率和总生存(OS)率,对于直径<5~6 cm的肝癌,SBRT治疗后1年LC率为 72%~100%, OS率为 72.7%~100%;2年LC率为 64.4~100%,OS率为 45.3%~87.9% 。

2013年报道的一项最大型的针对进展期肝癌SBRT的Ⅰ/Ⅱ期前瞻性研究,自2004~2010年共入组102例不适合其他局部治疗的局部晚期HCC患者,肝功能基线均为Child-Pugh A级,其中,巴塞罗那分期(BCLC)C期占65.7%,55%患者有癌栓,61%患者为多病灶,最大病灶中位直径7.2 cm(1.4 cm~23.1 cm),12%有肝外转移,治疗中位剂量36 Gy/6 f/2周;尽管入组患者的分期偏晚,放疗剂量较低,放疗仍取得了不错的疗效,1年影像学完全缓解(CR)率达11%,部分缓解(PR)率43%,1年LC率、OS率分别为87%、55%,中位生存期17个月。该研究认为局部控制率与剂量相关。

2015年《临床肿瘤学杂志》(J Clin Oncol)发表了SBRT与RFA治疗不可手术HCC患者疗效对比的临床研究,该研究纳入2004~2012年间共224例不能手术且无远处转移的HCC患者,其中63例接受SBRT,161例接受RFA。SBRT组处方剂量为27~60 Gy,中位生物有效剂量为100 Gy。在基线评价方面,两组肿瘤数目、大小及位置基本一致,且SBRT组肝功能更差(P=0.003)、甲胎蛋白(AFP)更高(P=0.04)、更多的患者有疾病治疗史(P=0.001)。结果显示,SBRT组的1年、2年LC率分别为97.4%、83.8%,RFA组分别为83.6%、80.2%,3级及以上急性毒副反应分别为5%和11%;在RFA组,随着肿瘤直径增加,LC率逐渐下降。对于肿瘤直径≥2 cm的患者,SBRT组LC率优于RFA组(P=0.025)。

微信图片_20190122115444.jpg

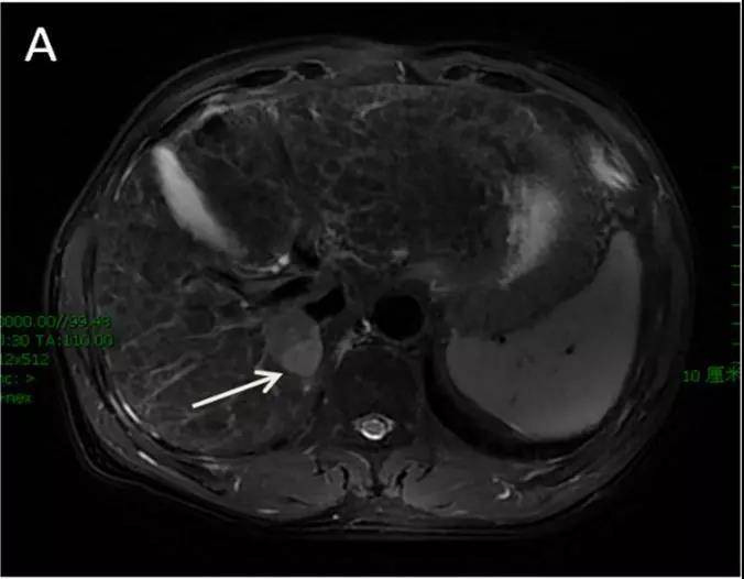
图1 治疗前肿瘤大小3.3 cm×2.4 cm

微信图片_20190122115448.jpg

图2 治疗3个月后病灶达CR

注:图1~2 为笔者所在单位1例不可手术的HCC患者,采用SBRT技术进行治疗,单次放疗剂量10 Gy,共5次,3个月后复查肿瘤达CR。


SBRT适应证一般要求肿瘤最大直径<5 cm,具体取决于患者的肝功能以及残肝体积的大小等因素。病变位于肝门区或临近大血管或胆管系统,或病变位于横膈之下或肝脏表面也可行SBRT。对于临近消化道的病变,进行SBRT存在穿孔、出血、溃疡等风险,实施须谨慎。对于肿瘤体积巨大、伴门静脉瘤栓、有肝功能损害及合并严重肝硬化的患者,SBRT应该慎重选择。根据美国国立综合癌症网络(NCCN) 肝癌治疗指南,SBRT适用于肝内1~3个肿瘤、伴或不伴肝外微小转移灶的患者。只要残余肝脏体积足够,SBRT放疗对肿瘤体积无严格要求。在肝功能方面,目前主要针对Child-Pugh A级的HCC患者有安全性和有效性的临床研究,关于Child-Pugh B级患者放疗安全性的资料有限。实践证明,在进行严格的放疗剂量学评估后,大多数Child-Pugh B级HCC患者也可以安全地接受治疗,对于评估为Child-Pugh C级的肝硬化患者,因其临床预后较差,SBRT的安全性尚待进一步确认。

关于SBRT的剂量分割模式,不同研究采取的处方剂量和治疗策略都不尽相同,目前还没有公认的最佳剂量分割模式。在既往的研究中,SBRT治疗HCC的剂量分割模式主要包括以下3种:3次×(10~20) Gy;(4~6)次×(8~10) Gy;10次×(5~5.5) Gy。RTOG1112研究建议,Child-Pugh A级的HCC患者可以根据正常肝平均剂量(MLD)来确定放疗所需剂量,正常肝定义为全肝体积减去大体肿瘤靶体积(GTV)所得的差值。(见表1)

表1  RTOG1112研究处方剂量推荐

微信图片_20190122115453.jpg

中晚期肝癌,放疗联合TACE安全有效

肝动脉栓塞化疗(TACE)是不能手术的中晚期肝细胞肝癌(HCC)患者有效的局部治疗手段。由于HCC为肝动脉与门静脉双重血供,TACE治疗后常有门静脉供血部分肿瘤残留,导致肿瘤控制不佳。TACE结合外放疗可提高肿瘤控制率并延长患者生存期,2009年一项荟萃分析研究表明,放疗联合TACE后,HCC患者的2~3年生存率较单纯TACE治疗可提高10%~28%。

2015年《美国医学会杂志·肿瘤学》(JAMA Oncol)杂志发表了一项对比TACE联合放疗与单纯TACE治疗的荟萃分析,共纳入25项临床研究(11项为小样本随机对照研究,14项为非随机对照研究),包括2577例HCC患者。结果显示:放疗联合TACE组达到完全缓解(CR)和部分缓解(PR)的概率明显优于单纯TACE治疗患者(P<0.001)。两组患者的中位生存时间分别为22.7个月和13.5个月(P<0.001),亚组分析显示,无论是否合并门静脉癌栓(PVTT),放疗联合TACE治疗的1、2、3年生存期均显著优于单纯TACE治疗。但是,放疗联合TACE提高患者生存时间的同时也增加了胃肠道溃疡、丙氨酸氨基转移酶(ALT)升高和胆红素升高的风险。基于以上结果,该研究推荐放疗联合TACE治疗适用于不能手术的HCC患者。

HCC易侵犯肝内脉管系统,约44.0%~62.2%的HCC患者会发生PVTT。一旦出现PVTT,手术无法根治,中位生存时间仅为2.7~4.0个月。因此,PVTT是目前公认的HCC预后不良的重要危险因素。对于该类患者,介入治疗、肝动脉灌注化疗、放射治疗、索拉非尼都是可选择的治疗手段,但最佳治疗策略仍存在很大争议。目前我国国内诊疗共识推荐PVTTⅠ/Ⅱ/Ⅲ/Ⅳ型、肝功能为Child-Pugh A级或B级患者均可行放射治疗。但对于肝功能Child-Pugh B级的患者,放疗须十分慎重;Child-Pugh C级为放疗禁忌证。

2017年在一项HCC合并PVTT患者接受放疗联合TACE治疗的荟萃分析中,共纳入了8项临床研究(其中3项为前瞻性,5项为回顾性),包括1760例患者。结果显示,放疗联合TACE较单纯TACE治疗显著提高了PVTT患者治疗的有效率(OR=4.22,P<0.001),但不影响肝脏原发病灶的治疗有效率(OR=1.37,P=0.390)。在生存方面,联合治疗组的中位生存时间为7.5~13.0个月,较单纯TACE治疗显著延长了总生存(OS)(HR=0.69,P=0.001)。在治疗毒性方面,联合治疗显著增加了3~4级白细胞降低(P<0.001)和血小板减低(P=0.041)的发生率,而恶心、腹痛、乏力的发生率无明显差异。该研究显示,放疗联合TACE治疗提高了PVTT治疗有效率和患者OS,虽然增加了治疗毒性但多在可控范围内。目前,对于适于TACE治疗、治疗后肝功能储备恢复至Child-Pugh A级、伴或不伴门静脉、肝静脉及下腔静脉内癌栓的患者,TACE治疗后均可予以放射治疗,以提高总体反应率及OS率。

窄切缘HCC,术后放疗可改善生存率

中央型HCC是指与门静脉分叉部、三支主肝静脉、下腔静脉汇合部和肝后下腔静脉主干距离≤1 cm的HCC。对于大部分中央型HCC(位于肝脏Ⅳ、Ⅴ和Ⅷ段)和小部分外周型HCC(位于肝脏Ⅱ、Ⅲ、Ⅵ和Ⅶ段),肿瘤邻近或累及肝门部血管主干,即使手术切除肿瘤,也难以实现切缘>1 cm,甚至部分患者手术切缘为阳性,从而影响疗效。

针对这类患者,2015年王维虎等首次报道了HCC窄切缘术后接受调强放疗的(IMRT)研究结果。研究中窄切缘定义为切缘<1 cm,宽切缘定义为切缘≥1 cm。该回顾性研究共纳入181例HCC患者,分为窄切缘手术联合术后放疗组33例,单纯窄切缘手术组83例,宽切缘手术组65例,术后放疗均采用IMRT技术,中位放疗剂量为56 Gy。3组患者的3年OS率和无病生存率(DFS)分别为89.1%和64.2%,67.7%和52.2%,86.0%和60.1%。与宽切缘组相比,窄切缘手术联合术后放疗组患者的OS率(P=0.957)和DFS率(P=0.972)差异无统计学意义;与单纯窄切缘手术组患者相比,窄切缘手术联合术后放疗组的OS率(P=0.009)和DFS率(P=0.038)均具有显著优势。该研究显示,对于切缘安全边界不足的HCC患者,术后放疗可改善生存率,窄切缘手术联合术后放疗可以达到与宽切缘手术相似的疗效且无严重毒副作用发生。

放射性肝病须高度重视

放射性肝病(RILD)是一种严重的放疗并发症,一旦发生,70%以上的患者可在短期内死于肝衰竭。RILD诊断标准包括以下几项。①接受过肝脏高剂量放疗。②在放疗结束后发生。③临床表现可分为2型,典型的RILD发病快,患者短期内迅速出现大量腹水和肝脏肿大,伴碱性磷酸酶(AKP)升高到正常值的2倍以上,或ALT上升至正常值的5倍以上;非典型RILD仅有肝脏功能的损伤,AKP升至正常值的2倍以上,或ALT升至正常值的5倍以上,没有肝脏的肿大和腹水。④排除肝肿瘤发展造成的临床症状和肝功能损害。

肝功能Child-Pugh A的患者行三维适形放疗(3DCRT)时,常规分割放疗的全肝耐受量为28~30 Gy,或V30<60%,非常规分割放疗的全肝耐受量为23 Gy(每次分割剂量4~8 Gy);体部立体定向放疗(SBRT)时,当正常肝体积>700 ml,分割剂量应<15 Gy×3 分次,或正常肝体积>800 ml,分割剂量<18 Gy×3 分次。肝功能为Child-Pugh B者,肝脏对射线的耐受剂量明显下降。下列患者发生RILD的风险增高,须谨慎:原有肝功能差,如肝功能为Child-Pugh B级;正常肝脏的受照体积大,剂量高;患者同时伴有癌栓,如门静脉和下腔静脉的癌栓。避免RILD发生的关键是在设计放疗计划时,把正常肝脏受照剂量限制在可耐受范围内。一旦发生RILD,治疗方案包括肾上腺糖皮质激素和利尿剂的使用、积极给予保护肝脏的药物和支持疗法。

综上所述,目前的临床研究显示,放疗在HCC治疗中的重要性已经越来越显著。对于早期肝癌,SBRT是不适合手术或RFA治疗患者可靠的替代治疗方案;针对中晚期肝癌或肝癌合并门脉癌栓的患者,放疗联合TACE是有效的治疗手段;手术切缘不足的HCC患者,放疗可以弥补手术的不足,使其达到与根治术类似的疗效。然而,上述研究的证据级别较低,尚需要开展大样本、前瞻性的临床研究进一步证实。另外,对于放射性肝病,不能掉以轻心,要预防为主。


参与评论

更多
图片验证码

评论列表

更多
按投票顺序
从别人那转的 觅友们可以看看
举报
2019-01-22 11:56:34
有用(0)
回复(0)
谢谢分享
举报
2019-01-22 12:01:59
有用(0)
回复(0)
加油
举报
2019-01-22 12:02:05
有用(0)
回复(0)
爸爸确诊病情已经有11个多月了。一共做了8次大化疗,2次小化疗,以及35次放疗,上月返医院检查“瘤子”没有了。这一路走来,有多少的艰辛与泪水。在这里与大家分享爸爸的治疗过程。起初,拿到病例报告的时候,
Xxiaoxiao
100370 阅读
阅读全文
妈妈患肺癌已经有三年了,这三年来一直在接受治疗到现在,下面是妈妈检查以及治疗的过程。2010年10月,妈妈体检出肺癌IV期,纵隔淋巴转移,肝部转移,去省肿瘤医院复查,做了PET-CT,结果一样,省肿瘤
2011年11月,妈妈被诊断肺癌,我在网上浏览了很多帖子,学到了很多,看到了一批又一批共同奋斗在抗癌战线上的战友。这15个月走下来,越来越体会到抗癌之路的艰辛,今天发个帖子,记录一下妈妈的治疗经过,也
invay
37955 阅读
阅读全文