• 首页
  • 圈子
  • 互助
  • 医生
  • 药品
  • 专栏
  • 资讯
  • 话题
  • 健康小屋
  • APP下载
  • 登录
  • 注册
  • 消息
    系统消息 评论 新粉丝
首页圈子系统性红斑狼疮帖子详情

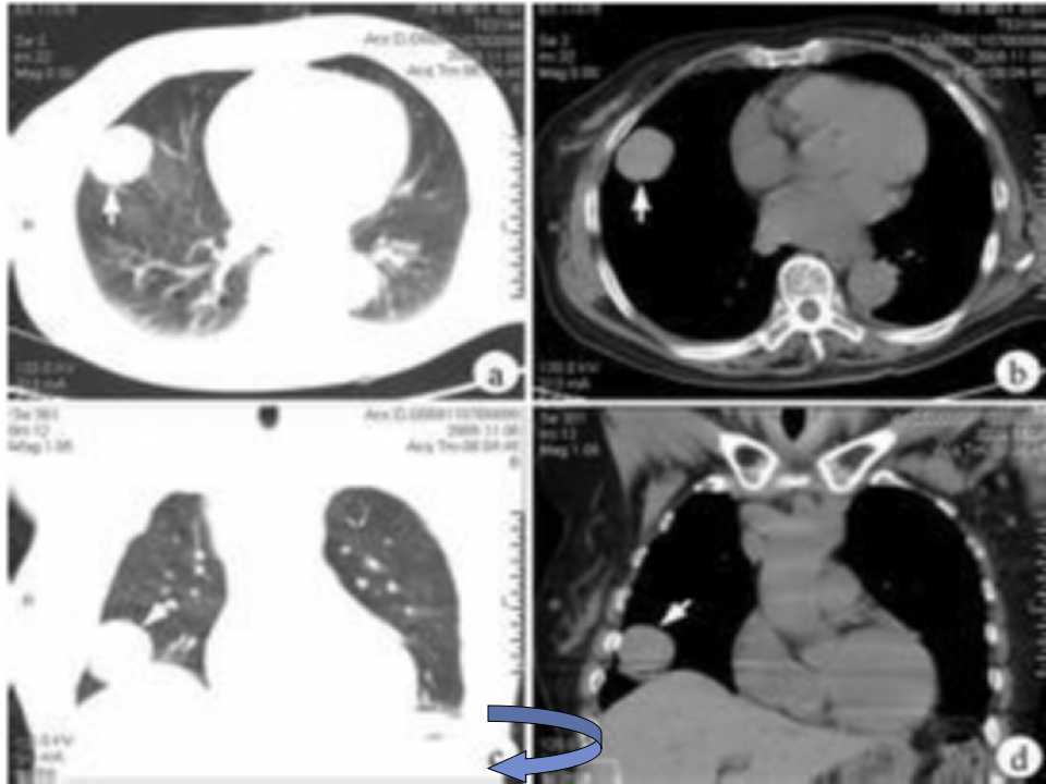
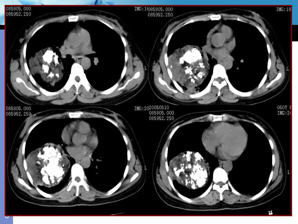
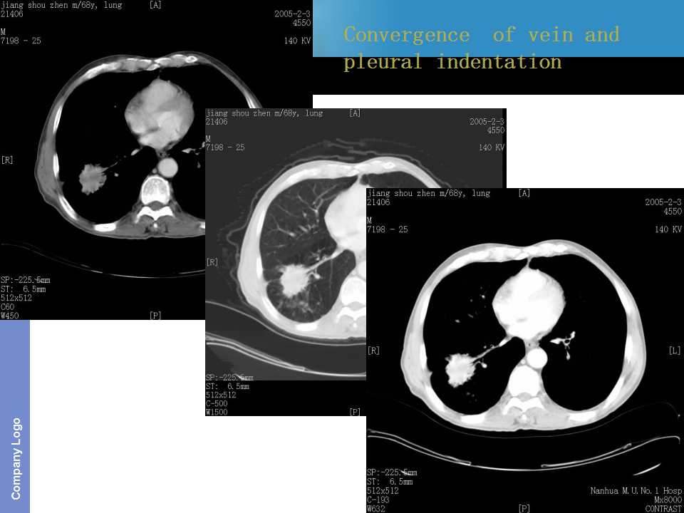
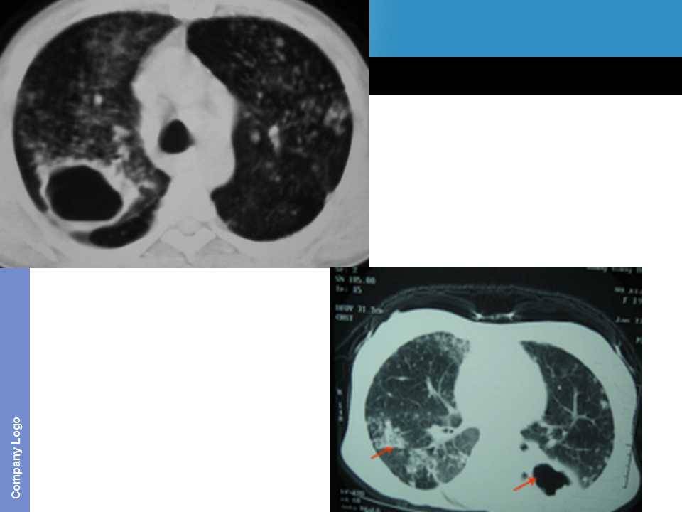
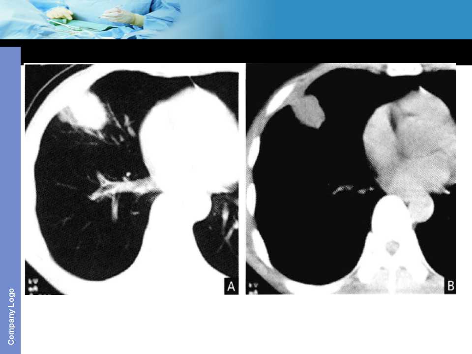
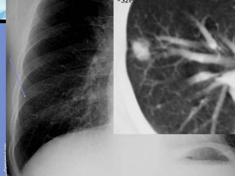
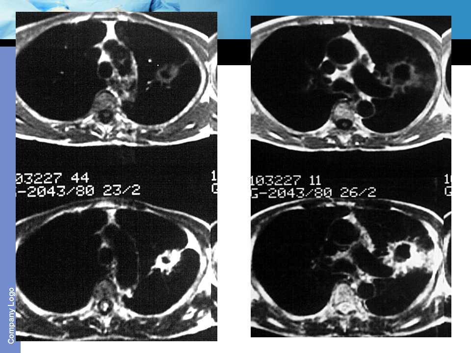
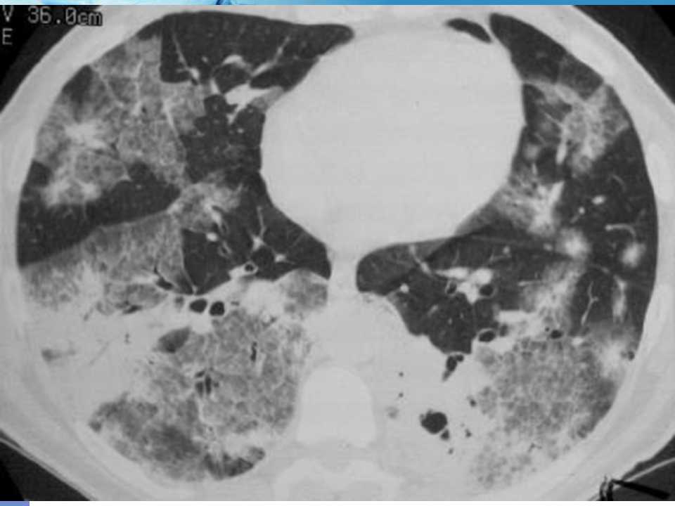
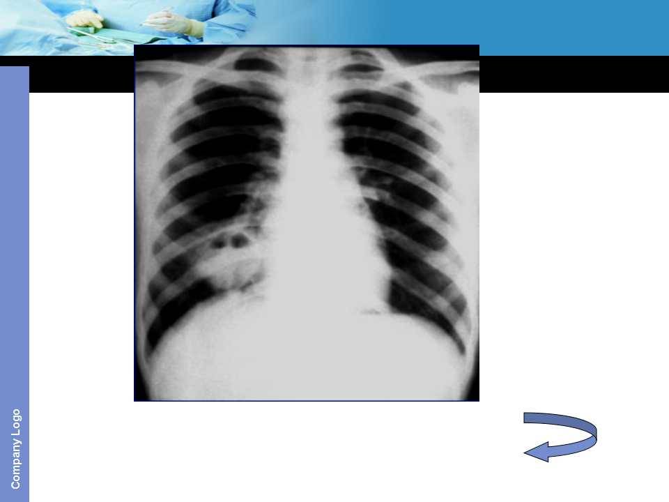
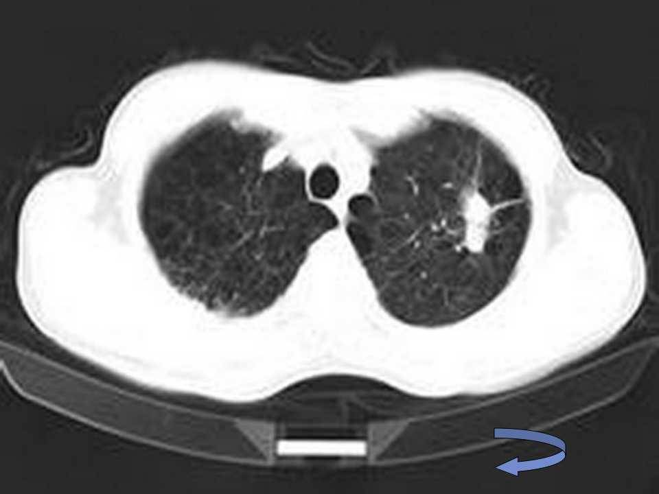
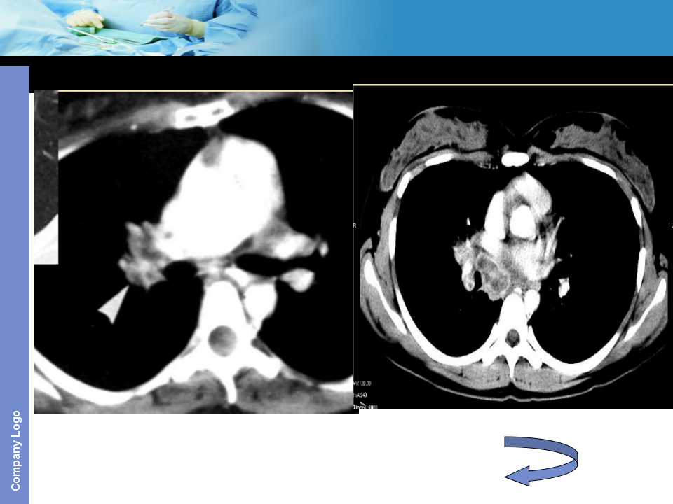
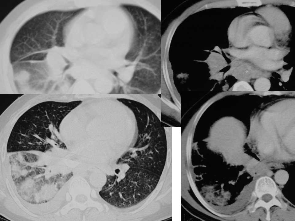
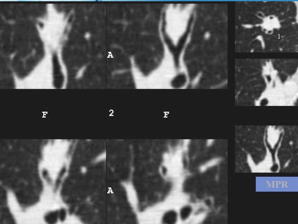
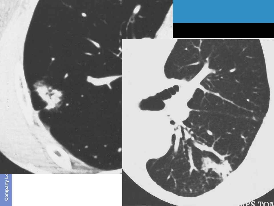
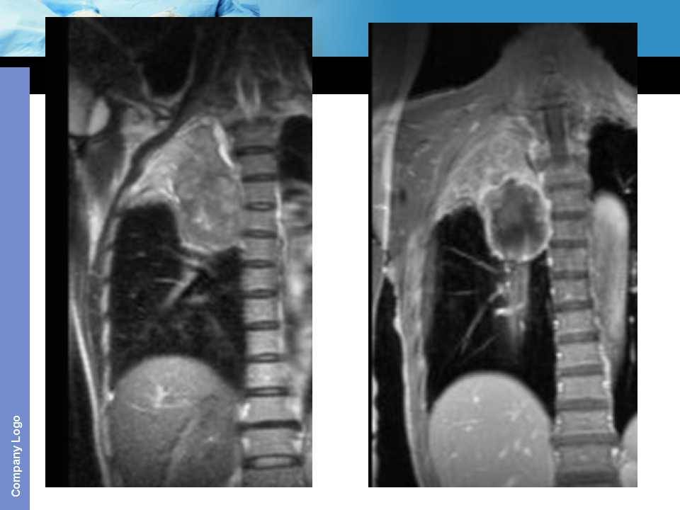
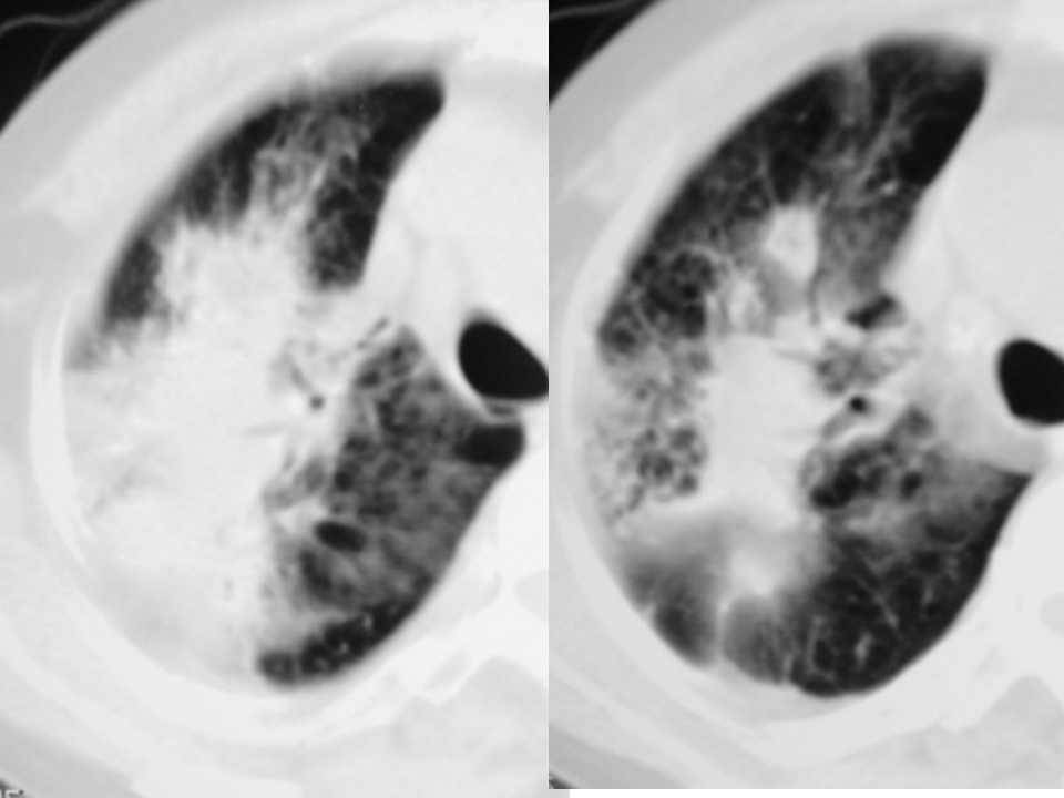
肺癌影像诊断

喵帕斯
喵帕斯
来源:觅健 2016-12-21 13:36:572709阅读


收藏

回复(0)
举报
上一篇: 有吃来氟米特的吗
下一篇: 肺癌的影像学检查

参与评论

更多
按投票顺序
  • 时间顺序
  • 按投票顺序
图片验证码

评论列表

更多
按投票顺序
  • 时间顺序
  • 按投票顺序
相关推荐
热点推荐
暂无数据
热门帖子
1
【2025觅健之星】提名开始啦!快来评论区留下你心中的那个名字吧!
2
雨过天晴,云开雾散~
3
觅友专属·一月轻养生日历
4
狼疮患者不用愁!她终于可以用上SLE好药了……
5
神门穴
6
记录近三个月的一些事
7
看看你家灶台的油用对了吗?
8
全身痒起疹子
病友圈
肺癌圈子
去看看
肠癌圈子
去看看
肝癌圈子
去看看
乳腺癌圈子
去看看
淋巴瘤圈子
去看看
卵巢癌圈子
去看看
今日推荐
1
蓝莓树
2
这么漂亮的血象和这么佝偻的身躯,越来越不像同一个人了
3
世界卫生日的社区活动
4
懂得自愈
5
相聚
6
坐等下班
7
整水滴筹真的是网上要饭就是要遭报应
8
舒尼替尼还剩两瓶
推荐关注
劉劉要开心l
关注
莎♡轩
关注
莲一
关注
该昵称无法显示
关注
关于觅健 | 加入我们 | 联系我们 | 隐私政策 | 服务条款 | 网站地图
特别声明:本站内容仅供参考,不作为诊断及医疗依据
中国增值电信业务经营许可证:闽B2-20180083
互联网药品信息服务资格证书:(闽)-非经营性-2018-0038
知识产权管理体系认证证书:编号:181221P0069R1M
关注我们
觅健二维码
觅健app
觅健二维码
公众号
觅健二维码
小程序
闽ICP备13019157号-1 Copyright ©2015-2024 觅健 丨 闽公安备35020302033461号 闽公安备35020302033461号