TACE联合靶免二线治疗原发性肝癌,带来完全缓解+超1年PFS良好获益
经导管肝动脉化疗栓塞(TACE)是中期肝癌标准治疗方案,在肝癌术后复发以及不可手术的中晚期肝癌治疗中可发挥重要作用,目前介入 靶向 免疫的治疗模式已在临床得到广泛应用,且颇具前景。本期分享的这例Ⅱb期肝癌,一线TACE联合靶向治疗进展后,二线治疗及时更换为TACE联合瑞戈非尼 卡瑞利珠单抗的综合治疗方案,带来完全缓解(CR) 无进展生存(PFS)时间超1年的良好生存获益,疗效令人振奋。
河南省人民医院综合介入科主治医师
毕业于中国医科大学介入放射学专业
河南省医学会介入治疗分会肿瘤学组委员
患者资料
患者男,54岁,以“发现肝占位性病变1个月”为主诉于2020年2月27日入院我科。1个月前因腹部不适于当地医院查腹部CT提示:“肝右叶多发异常强化结节,考虑肝癌并肝内多发转移;肝硬化、脾大、门脉高压”,未经特殊治疗来我院。既往史:饮酒史30年,200ml/次,余无特殊。查体:无特殊异常。肝功能child-pugh:A级;PS:0分。
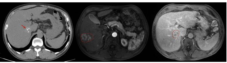
2020年2月27日上腹部CE-CT:考虑肝内多发肿瘤;肝硬化、门脉高压、脾大;增强CT提示:肝内多发肿瘤(符合原发性肝癌快进快出的影像学特征)(图1)。
图1.2020年2月27日上腹部CT
其他检查:HBsAg( )、HBsAb(-)、HBeAg( )、HBeAb(-)、HBcAb( );甲胎蛋白(AFP)52.03ng/ml;HBV-DNA 2.17E 06IU/ml。
诊断:原发性肝癌(临床诊断);分期:巴塞罗那分期(BCLC)分期:B期;中国肝癌分期(CNLC):Ⅱb期。
一线治疗——TACE联合阿帕替尼
经多学科会诊,制定诊疗方案:建议TACE 靶向治疗,但患者因担心药物不良反应,未接受靶向药物治疗。
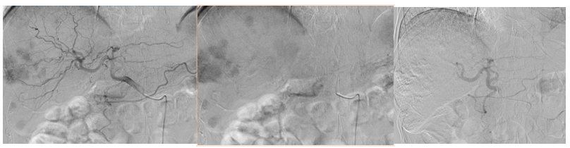
2020年3月5日行第1次cTACE,术中造影示肝动脉造影,多发肿瘤染色;化疗栓塞后复查,肿瘤染色消失(图2)。
图2.2020年3月15日TACE术中与术后造影
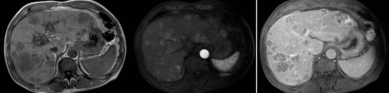
2020年4月14日,术后1个月复查上腹部CE-MRI,肝内多发异常信号影,较术前略缩小,增强可见动脉强化,门静脉未见充盈缺损;CT示:肝内多发低密度影,碘油部分沉积(图3)。2020年4月15日AFP:39.91ng/mL。
图3.2020年4月14日上腹部CE-MRI/CT
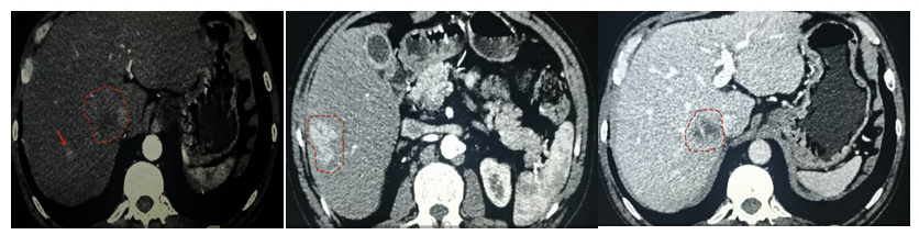
2020年6月17日,术后3个月上腹部CE-MRI/CT示,肝内原有病灶控制尚可,有新发病灶,增强可见动脉强化,门静脉未见充盈缺损。CT:肝内多发低密度影,碘油部分沉积(图4)。2020年6月15日AFP:115.60ng/mL。
图4.2020年6月17日上腹部CE-MRI/CT
2020年4月16、2020年6月18日分别行第2、3次cTACE,术中造影示肝动脉造影,多发肿瘤染色;化疗栓塞后复查,肿瘤染色消失。
历经3次TACE治疗后,患者肝内原有肿瘤病灶得到较好控制,但反复出现新发病灶。后患者参与河南省TACE联合阿帕替尼治疗中晚期肝癌真实世界大数据研究,自2020年6月23日患者开始口服阿帕替尼靶向治疗(250mg,qd )。期间定期复查治疗(TACE 靶向),肝内肿瘤整体控制稳定。
二线治疗——TACE联合瑞戈非尼 卡瑞利珠单抗
但至第1次TACE术后约15个月时间(2021年6月15日),复查发现肝内肿瘤明显进展(图5);AFP明显升高:6231.00 ng/mL。此时更换方案为二线靶向药物瑞戈非尼,160mg,qd,3周方案。同时联合免疫治疗:卡瑞利珠单抗200mg,静脉点滴,每3周1次。
图5.2021年6月15日上腹部CE-MRI
更换方案后1个月(2021年7月20日),肝内肿瘤病灶仍持续进展(图6),AFP升高至10795.00ng/mL。
图6.2021年7月20日上腹部CE-MRI
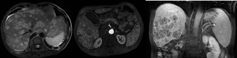
术后17个月左右(2021年8月27日),上腹部CE-MRI:肝内肿瘤病灶明显消退(图7)。AFP降至92.89ng/mL。
图7.2021年8月27日上腹部CE-MRI
2021年8月30日行第7次cTACE,也是末次TACE:肝内肿瘤供血动脉以及肿瘤染色明显减少、好转,对肿瘤血管进行超选择化疗栓塞。患者进入靶免维持治疗阶段,定期复查,病情稳定。
2022年4月27日,术后2年余复查上腹部CE-MRI:肝内肿瘤病灶继续消退,无明显活性,无新发肿瘤病灶(图8);AFP降至正常范围内2.19ng/ml。按照mRECIST标准基本达到完全缓解(CR)。
图7.2022年4月27日上腹部CE-MRI
治疗过程中AFP变化曲线:
河南省人民医院介入科副主任医师,硕士研究生导师
郑州大学博士,暨南大学硕士,农工党员
韩国Asan Medical Center留学归国人员
中华放射学会介入学组分会委员
中国妇幼介入联盟常务理事
中国医疗保健交流促进会介入诊疗学分会常务委员
中国妇幼保健协会放射介入专委会分会委员
中国医药教育协会介入医学分会委员
中国抗癌协会肿瘤消融治疗专业委员会委员
中国抗癌协会肿瘤介入学专业委员会委员
中国抗癌协会肿瘤微创治疗专业委员会委员
河南省医学会介入治疗专业委员会常务委员
河南省医学会介入治疗分会胸部学组副组长
河南省医师协会介入医师分会委员
河南省抗癌协会肿瘤微创治疗专业委员会副主任委员
河南省抗癌协会肿瘤介入学青委会副主任委员
河南省医院协会介入管理分会青委会副主任委员
河南省中西医结合学会介入医学分会常务委员
河南省康复协会消化道肿瘤分会常务委员
河南省出血中心联盟常务理事兼秘书长
《河南医学研究》编委等
该病例的诊疗过程可谓“一波三折”,其治疗过程也体现了肝癌综合治疗与全程管理的重要性。该肝癌患者为54岁男性,BCLC分期B期,CNLC分期Ⅱb期;入院AFP为52.03ng/ml。我们经过MDT讨论,建议患者采用TACE联合靶向治疗方案,但是患者由于担心不良反应拒绝。给予3次TACE治疗后,患者肝内原有肿瘤病灶控制相对稳定,AFP有所降低;但反复出现新发病灶,逐渐进展。经与患者沟通后入组TACE联合阿帕替尼治疗中晚期肝癌的真实世界大数据研究。但是在行第1次TACE术后15个月时,患者病情明显进展,果断将靶向药物更换为二线标准治疗药物瑞戈非尼,同时联用PD-1抑制剂卡瑞利珠单抗。然而患者在二线治疗1个月后复查,发现病灶继续明显进展,肝功能也较差;现在看来,当时的情况应为假性进展。继续维持原方案治疗1个月后再次复查,患者肝内病灶明显消退,AFP自10795ng/mL大幅下降至92.89ng/mL。第7次TACE术中造影也证实了疗效结果,肝内基本未见明显肿瘤染色。后续维持靶免治疗,随访至今,AFP一直控制在正常范围之内,影像学检查也为CR状态。
总体而言,该病例是一个比较成功的病例,其治疗过程也为我们的临床诊疗工作带了以一些提示。基于中国肝癌指南[1],Ⅱb期肝癌局部治疗应及时联合靶向治疗,同时做好患者及家属的沟通。此外,当疾病出现进展时,应及时将一线治疗更换为二线治疗药物。2022年美国临床肿瘤学会(ASCO)年会上,中山大学附属第三医院专家开展的一项真实世界研究结果显示[2],TACE 瑞戈非尼 PD-1抑制剂二线治疗晚期肝细胞癌数据令人振奋,该联合方案的中位总生存(OS)达16个月,中位无进展生存(PFS)为9个月,客观缓解率(ORR)达51%。因此,介入、消融等局部治疗与靶免治疗的联合有助于患者的良好生存获益。总体而言,规范化的综合治疗为患者治疗带来了更大的信心,有助于肝癌患者生存时间的延长,助力健康中国梦的实现!
[1]中华人民共和国国家卫生健康委员会. 原发性肝癌诊疗规范(2019 年版).
[2]Tao Pan, Mingsheng Huang.Regorafenib combined with transarterial chemoembolization and PD-1 antibody as a second-line therapy for hepatocellular carcinoma: A real‑world study.2022ASCO,Abs.e16167
收藏
回复(0)参与评论
评论列表






