分享给正在接受PT-1治疗的你
肿瘤也会“障眼法”,复查肿瘤增大竟是它的伪装!
点击👇关注,获取更多肝癌资讯!
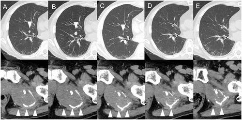
这是一位肝癌出现肺转移患者在接受阿替利珠单抗联合贝伐珠单抗治疗后的肺部转移瘤的CT断层扫描图,其中图A到E箭头所指示的就是用药第1-5个疗程肺部转移瘤的大小。
可以发现,在第二个疗程,也就是图B,明显发现转移瘤体积增加,而到了第3、4、5疗程,转移瘤体积又出现了明显缩小,最后完全消失[1]。
用药后,肿瘤体积反而增加,这是不是意味着该药无效,需要换新的治疗方式吗?为什么这位患者不仅没有换治疗方案,继续用药反而又有效了呢?
相信大家都有产生这样的疑惑,那就开始我们今天的科普之旅吧!

一、什么是免疫治疗假性进展?
一、什么是免疫治疗假性进展?
简单来说,上面那位患者之所以出现这种情况,是因为他出现了免疫治疗假性进展。
那什么是免疫治疗假性进展呢?
在免疫治疗后出现了肿瘤体积的短暂增大或者病灶数量的增加,随后又出现了肿瘤的迅速缩小的症状,最后进入疾病稳定状态,这就叫免疫治疗假性进展。
这种情况一般发生在免疫治疗首次给药时,最初是在肺癌患者中被报道出现,到现在,肝癌、黑色素瘤、肾癌等多种肿瘤都出现了免疫治疗假性进展的情况。
也就是说,虽然CT报告中显示肿瘤变大变多了,但实际上肿瘤在缩小,甚至逐渐被消灭。影像学上的表现只不过是肿瘤的“障眼法”,真实的情况其实是肿瘤已经到了强弩之末,蹦跶不了几天了。
图片来源:摄图网
尽管目前假性进展的机制尚未研究出来,但是通常认为出现假性进展是一种好的表现,意味着其治疗效果相对较好,出现这类症状的患者生存期也相对较长[2]。事实上,假性进展并非免疫治疗独有,在靶向、介入治疗也出现了假性进展的情况[3]。
事实上,无论何种治疗方式,出现假性进展多认为是治疗有效的表现,是一种好的现象。
尽管假性进展听起来很美好,但需要注意的是,并非所有治疗期间出现肿瘤增大、增多的现象都是假性进展,也有可能是出现了免疫治疗超进展。

二、免疫治疗超进展又是什么?
二、免疫治疗超进展又是什么?
除了免疫假性进展,更需值得注意的是免疫治疗的超进展。
免疫治疗超进展是指在治疗期间,出现了肿瘤增大、增多,甚至转移的现象,其主要表现为肿瘤增长速度增大,随后病情急速恶化,疾病快速进展,出现治疗失败,甚至死亡的现象。
有时候,出现免疫超进展前并没有出现任何不良反应,但影像学检查却显示病情进展十分迅速,肿瘤增大速度增加了近一倍,这很容易令人忽视。目前,在肝癌、肺癌、乳腺癌、黑色素瘤等多种肿瘤,包括帕博利珠单抗、纳武利尤单抗等多种免疫药物都出现了超进展的案例[2]。
研究显示,超进展的出现和肿瘤类型、免疫药物种类、患者身体状态无关,和年龄、病灶数量以及基因突变有关,高龄(>65岁)、基线转移肿瘤数量(>2个)、出现MDM2/MDM4扩增或者EGFR突变的患者更易出现免疫治疗超进展[4]。
图片来源:摄图网
不难发现,超进展的出现是一种非常不好的新号,意味着治疗无效,需要立即停止现在的治疗方案,更换其他治疗方案。尽管其表现和假性进展相似,但是内在象征和最终的发展结果却和假性进展截然相反。

三、如何辨别假性进展和超进展?
三、如何辨别假性进展和超进展?
那么在治疗期间出现了肿瘤变大变多的情况,应该如何判断自己出现了假性进展,还是超进展呢?科普君教你几招,轻松鉴别真假进展!
目前已经诞生了更为精细的评估标准,包括免疫相关疗效标准(irRC)、实体肿瘤免疫相关疗效评价标准(iRECIST)和实体肿瘤修饰疗效评价标准(imRECIST)等,这些新的标准可以帮助医生鉴定假性进展和超进展。
此外,磁共振弥散加权成像较传统的MRI能提供潜在的、更准确的信息,可以帮助识别治疗期间肿瘤增大现象是假性进展还是超进展[2]。
另外一项回顾性研究表明,研究纳入了38例接受免疫治疗的患者,发现PET-CT也可以识别出免疫治疗真假进展的方法[5]。
利用ctDNA动态监测技术,可以从血液中分离出无细胞DNA进行液体活组织检查,从而检测出肿瘤特异性复制数的改变以及基因组不稳定数,可以用于区分临床反应、假性进展和真性进展。
有研究发现,在对29名免疫治疗后出现疾病进展的患者行ctDNA分析,成功发现20例患者为真性进展,9例患者为假性进展[6]。因此,对于疑似出现疾病进展的免疫治疗患者而言,进行动态ctDNA监测是鉴别其真假进展的手段之一。
耶鲁大学曾做过一项研究,其主要内容为对接受免疫治疗的肿瘤患者进行血清IL-8水平的动态监测,发现出现假性进展的肿瘤患者体内其血清IL-8水平是下降的,而出现真性进展的肿瘤患者体内其血清IL-8的水平反而是升高的[7]。
这说明,血清IL-8水平的变化可以作为鉴别真假性进展的一种研究手段。
也就是病理诊断,这是诊断真性进展和假性进展的金标准,取一块增大的肿瘤组织进行活检,一看就知道究竟是假性进展还是真性进展。
希望大家在治疗期间,如果真的出现肿瘤增大、增多的现象,千万不要紧张,保持良好的心态,也不要自暴自弃,要积极寻求医生的帮助,在专业医生的指导下进行下一步有针对性的检查和治疗,万一是假性进展呢。退一万步说,即便不是假性进展,我们提早发现了,及时更换治疗方案,也能取得良好的治疗效果,获得长生存期。
收藏
回复(1)参与评论
评论列表







