病历分享
载药微球治疗巨块型肝癌病例分享
收录于话题
一般情况
患者男性,67岁,因右上腹隐痛1周于2020年8月2日入院。
既往史:否认乙肝病史,高血压10余年。
个人史:否认烟酒史。入院体格检查:右上腹压痛阳性,无反跳痛。
入院实验室检查
乙肝三对:HBsAg(+)、抗-HBe(+)、HBcAb (+),乙肝病毒DNA:7.5X103IU/mL,血常规、肝肾凝血功能基本正常,肿瘤标志物AFP、CA125、CA199、CEA均阴性,APT:20000 ug/L。
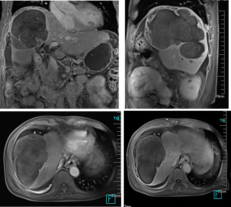
影像学检查-胸部CT
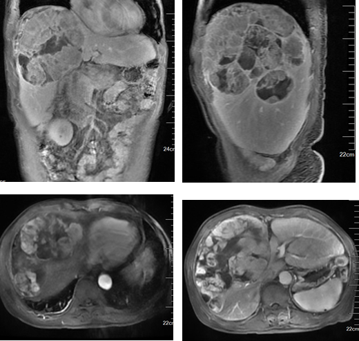
胸部CT未见明确异常,上腹部MRI影像表现:肝脏形态不规则,肝裂增宽,肝实质内可见多发软组织肿块影,呈稍长/稍短T1、稍长T2异常信号,增强扫描动脉期病灶明显、欠均匀强化,门脉期及平衡期强化减低,延迟期见假包膜强化,病灶部分融合,病灶大者11.5cmX18.1cmX14.8cm,肝门及右侧心膈角区可见多发增大淋巴结,大者短径约5mm。
影像诊断:肝内多发占位,考虑原发性肝癌可能性大,并病灶破裂,肝包膜下积血、积液;肝门部及右侧心膈角区多发增大淋巴结;肝硬化、腹水;肝段下腔静脉狭窄。
入院诊断
根据患者症状、体征及辅助检查,入院诊断为:肝原发恶性肿瘤(IIIB);心膈角淋巴结继发恶性肿瘤;肝门部淋巴结继发恶性肿瘤;乙型肝炎肝硬化;高血压。
MDT确定治疗方案
邀请肿瘤科、肝胆科及影像科一起会诊讨论治疗方案,因肝癌体积较大,超过肝脏体积的70%,行外科手术切除风险较大,同样行TACE治疗亦存在相应风险,但根据2022版指南指出,如果肿瘤占肝体积的比例≧70%,如肝功能正常,可考虑少量碘油和颗粒性栓塞剂分次栓塞,结合患者病情,经多学科讨论,决定行D-TACE(多次少量栓塞原则)并联合靶向治疗,故于2020-8-5行D-TACE。
手术过程
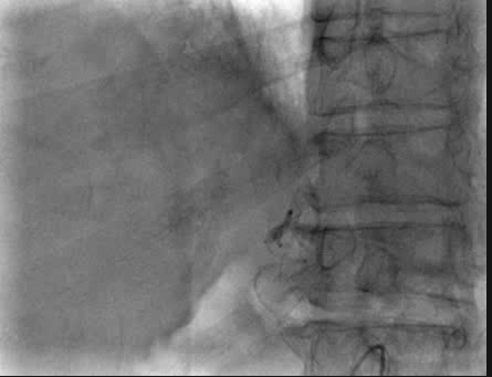
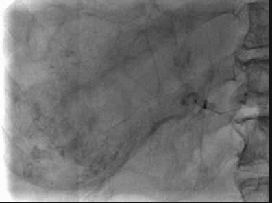
术中造影发现肿瘤巨大,染色明显,微导管超选至其中几支肿瘤供血动脉后,予表柔比星80mg+聚乙烯醇栓塞微球(蓝色型,100-300um)、5支无色型(300-500um),1支无色型(500-700um)栓塞肿瘤供血动脉,直到栓塞至肿瘤血管血流停滞。
术后治疗方案
术后予护肝/抗病毒/营养支持/止痛/止吐等药物治疗后,患者好转后出院。因患者担心靶向药物副作用较大,暂时不接受靶向治疗。
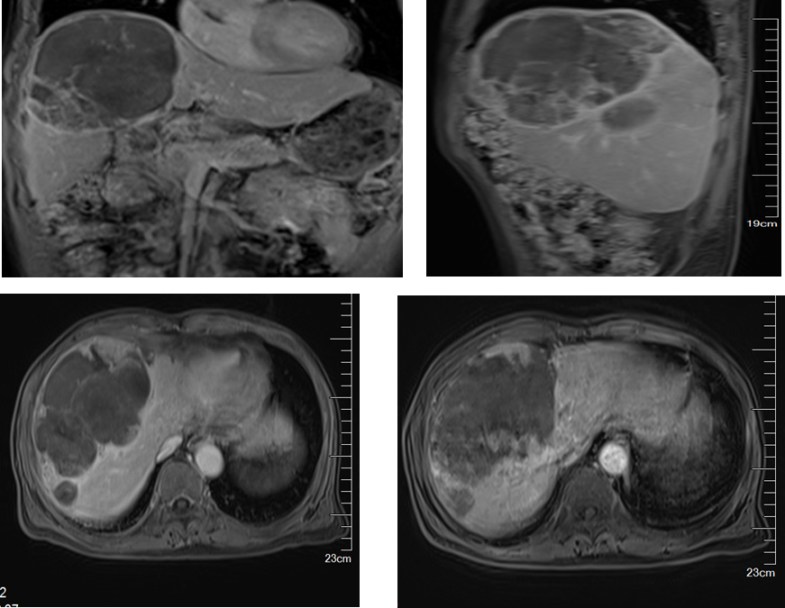
术后复查腹部MRI
2020年9月14日(TACE术后1月余)
影像表现:
肝实质内可见多发软组织肿块影,呈等/稍长/稍短T1、稍长/短T2异常信号,增强扫描动脉期病灶呈明显、不均匀强化,门脉期及平衡期强化减低,延迟期见假包膜强化,病灶部分融合,病灶大者约10.5cm×15cm×13cm。肝门及右侧心膈角区可见多发增大淋巴结,大者短径约9mm。所示右侧胸腔见少量积液。
影像诊断:
原发性肝癌介入术后改变,与前片SMR200802094相比,部分肿块较前缩小,病灶内见多发坏死灶;肝包膜下积血、积液减少;肝门部及右侧心膈角区多发增大淋巴结,部分稍增大。
疗效评估
疗效评估为SD,血常规肝功能基本正常,决定再次行介入治疗。
第二次D-TACE手术过程
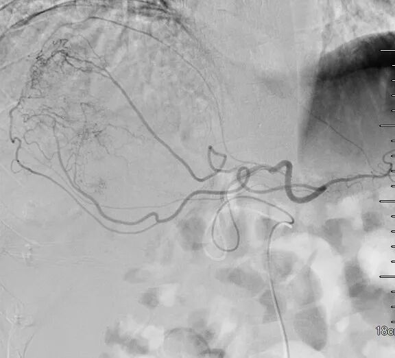
于2020-9-24行D-TACE,术中造影发现肿瘤染色明显,较前缩小,再分别超选至肿瘤供血动脉,予表柔比星80mg+聚乙烯醇栓塞微球(蓝色型,100-300um)、2支无色型(300-500um),1支无色型(500-700um)栓塞肿瘤供血动脉,直到栓塞至肿瘤血管血流停滞。
术后治疗方案
术后予护肝/抗病毒/营养支持/止痛/止吐等药物治疗,患者术后反应较轻,第4天开始靶向治疗:仑伐替尼 8mg QD。
术后复查上腹部MRI:
2020年11月19日(第2次介入术后1月余)
肝实质内可见多发软组织肿块影,呈等/稍长/稍短T1、稍长/短T2异常信号,增强扫描动脉期病灶内见斑片状明显强化灶,门脉期及平衡期持续强化,延迟期见假包膜强化,病灶部分融合,病灶大者约11.1cm×13.2cm×9.9cm。肝门及右侧心膈角区可见多发增大淋巴结,大者短径约8mm。
影像诊断:
与前片(SMR200914033)比较:部分肿块较前缩小,病灶内见多发坏死灶,建议随诊复查;肝包膜下积血、积液减少;肝门部及右侧心膈角区多发增大淋巴结,部分稍缩小;肝硬化、腹水减少;肝段下腔静脉狭窄。APT:2313 ug/L
疗效评估:
mRECIST:PR
下一步方案及治疗:
继续靶向治疗(仑伐替尼)+TACE,故于2020-11-25行D-TACE。术中使用载药微球1支、空白微球2支,术后予护肝/抗病毒/营养支持/止痛/止吐等药物治疗,并开始联合使用:卡瑞利珠单抗200mg 21次/周期。术后复查上腹部MRI
2020年12月30日(第3次介入术后1月余)
影像表现:肝脏形态不规则,肝裂增宽,肝实质内可见多发软组织肿块影,呈等/稍长/稍短T1、稍长/短T2异常信号,增强扫描动脉期病灶内见小片状明显强化灶,门脉期及平衡期持续强化,延迟期见假包膜强化,病灶部分融合,病灶大者约9.7cm×12.5cm×9.2cm。
影像诊断:与前片(SMR201118073)比较:部分肿块较前缩小,病灶内异常强化灶范围缩小,病灶内多发坏死灶,建议随诊复查;肝门部及右侧心膈角区多发增大淋巴结,较前无明显变化。
疗效评估:
mRECIST:PR
下一步治疗及复查:
继续仑伐替尼+卡瑞利珠单抗。患者术后多次复查腹部MRI及APT,其中2021年3、6、9月病例均较稳定,较前无明显变化,APT也维持较低水平(50 ug/L左右),最近2022年3月复查:结论
D-TACE术后患者反应轻,副作用小,疗效确切,对于巨大肝癌的分次栓塞具有重要作用。
作者丨田云飞 教授
南方医院赣州医院 微创介入科 副主任医师简历:
中华医学会放射学分会介入学组青年工作组委员
中国医师协会介入医师分会青年委员会委员
中国研究型医院学会介入医学专业委员会青年委员会常务委员
江西省医学会介入医学分会委员
赣州市医学会介入医学分会副主任委员兼秘书长
赣州市卫生健康青年骨干人才
赣州市介入医学质量控制中心秘书
收藏
回复(1)参与评论
评论列表







