【觅友经历】父亲的确诊治疗2021.8-10月

【确诊时间】2021年9月10日

【患者年龄】65

【病理类型】非小细胞微浸润性 肺腺癌3a和3b的临界

【基因突变】18突变

【治疗过程】靶向药(阿法替尼


我父亲65岁。2021年8月19日因自己感觉右侧胳膊、腿麻,,去医院确定轻微脑梗,后住院9天,输液丁苯酞,口服瑞舒伐他汀、普罗布考、贝那普利片。

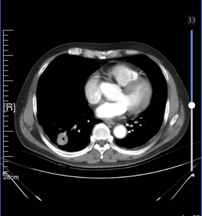
8月21日胸ct显示右肺下叶占位,3.4cm*3.0cm,纵隔及右肺门多发增大淋巴结;右前肋胸膜外脂肪间隙内淋巴结肿大;左肺上叶磨玻璃结节1.6cm,微浸润性腺ca。

刚知道这个消息,我整个人都是懵的,父亲是我们家族的大家长,平时家里大小事都是他在操心张罗,一时间全家人都无法接受这样的事实。由于对相关知识的无知,当时一心想着做手术。

住院期间,经皮穿刺确定右下占位是肺腺ca,主治医生也没有明确给我们说明病情的严重程度,我只是知道不太好…后来说麻醉医生评估,考虑脑梗不久,手术麻醉风险太大,因此做了基因检测和免疫组化,显示18突变,医生给开了阿法替尼靶向药。

这个时候其实我们仍旧抱有很大的希望能够手术,总觉得希望摘掉这个肿瘤。

后来我去北大肿瘤,肿瘤内科专家首先指出我们没有做patct 又指出左侧淋巴结也有增大,这个左侧的淋巴结,我之前是完全不知道的。后来学习到网上关于分期,才知道我父亲现在属于3a和3b的临界,左侧这个不知道是不是,医生也判断不明确,但做手术预后也怕不好。我现在真的不知道怎么办了。父亲的事情都需要我来做决定,压力好大…

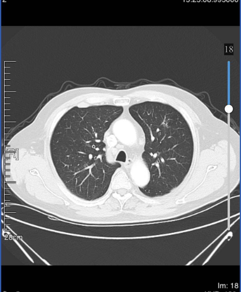
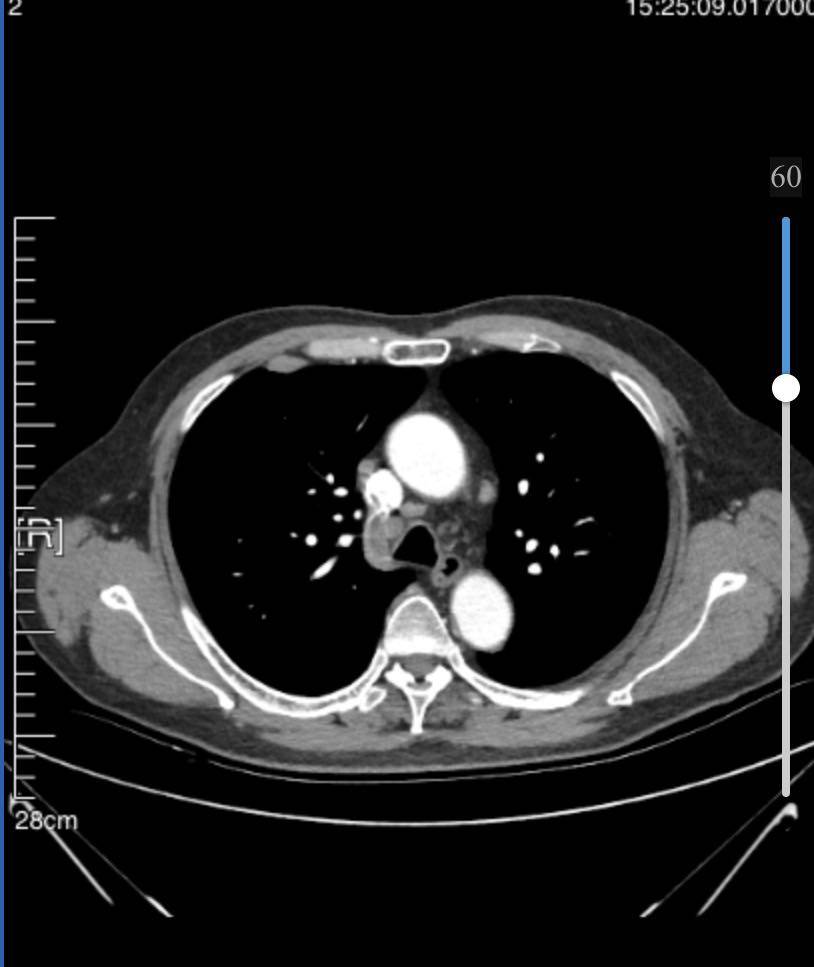
目前已经服药1个月,10月23号拍ct,右下肿瘤2.4*2.5,淋巴结略有缩小,磨玻璃结节1.4…





这次来北京,还是对手术不死心,找了胸外科的医生咨询,医生建议继续吃药看缩小情况,服药三个月到半年这段时间定期复查看病情,看手术契机,但是提到手术也是说可能会有好的作用,可能不会。这可让我如何决断?


听说阿法基本上一年就会出现耐药,后续该怎么办吖… 免疫是阴性,能用吗?放疗效果好吗?是不也会产生耐药?用什么药好?非常渴望听听各位病友及家属意见!

参与评论

更多
图片验证码

评论列表

更多
按投票顺序
我妈妈就是3c服用靶向药术前辅助疗法后手术的,目前术后半年了还可以
举报
2021-10-26 12:13:20
有用(2)
回复(10)
医生说当时没有手术是对的。现在想想因为麻醉不通过,当时没有第一时间手术,应该说也是一个幸事,如果当时做了预后基本上是不好的。现在真是很怕很怕,感觉做每一个决定都是决定父亲的生命走向…心里真煎熬…
举报
2021-10-25 18:54:24
有用(1)
回复(3)
先靶向降期,看效果,根据实际情况,后期加局部治疗,如果降期成功可以考虑手术,要不就加放疗。
举报
2021-10-28 11:15:30
有用(0)
回复(1)
先做新辅助治疗,降期后再考虑手术
举报
2021-10-26 10:18:50
有用(0)
回复(1)
爸爸确诊病情已经有11个多月了。一共做了8次大化疗,2次小化疗,以及35次放疗,上月返医院检查“瘤子”没有了。这一路走来,有多少的艰辛与泪水。在这里与大家分享爸爸的治疗过程。起初,拿到病例报告的时候,
Xxiaoxiao
100493 阅读
阅读全文
妈妈患肺癌已经有三年了,这三年来一直在接受治疗到现在,下面是妈妈检查以及治疗的过程。2010年10月,妈妈体检出肺癌IV期,纵隔淋巴转移,肝部转移,去省肿瘤医院复查,做了PET-CT,结果一样,省肿瘤
2011年11月,妈妈被诊断肺癌,我在网上浏览了很多帖子,学到了很多,看到了一批又一批共同奋斗在抗癌战线上的战友。这15个月走下来,越来越体会到抗癌之路的艰辛,今天发个帖子,记录一下妈妈的治疗经过,也
invay
38071 阅读
阅读全文