“黄金标准”病理报告,乳腺癌患者该怎么读(转发)
“黄金标准”病理报告,乳腺癌患者该怎么读?


菠萝 菠萝因子
菠萝说
今年菠萝联合肿瘤知道,精心制作了一套新的科普文:《她说(HER):菠萝解密乳腺癌》。在图文之外,还会配有菠萝的独家“四川普通话”音频。大家可以在蜻蜓FM上关注“菠萝因子”,同步收听每期推送的音频节目。
除此之外,每期文末的小测试和赠书活动依旧,欢迎大家踊跃参加。上一期的获奖读者是Yang和Katherine,恭喜二位。
今天第十一期,我们来聊聊乳腺癌的病理报告。
她说:菠萝解密乳腺癌--第11期
来自菠萝因子
00:0008:59
文| 菠萝
去正规医院的乳腺癌患者,绝大多数都会被要求做病理检测。它是判断病情的黄金标准,和乳腺癌的分期,分型,分类都密切相关。
一个好的病理检查,是取得良好治疗效果的前提。乳腺癌的治疗已经进入精准医疗阶段,每个患者的情况不尽相同,只有明确病理,才能对症下药,做出最好的选择。
但是病理报告通常是比较复杂的,比如下面就是一个典型的三甲医院出具的乳腺癌病理报告样本。

普通人一看,基本就懵了。
如果说病理判断的几句话还可以勉强看懂,那下面这些多的免疫组化指标到底都是啥?意味着什么呢?
病理报告大概分两部分,第一部分叫“病理诊断”,是病理科医生用肉眼和显微镜对样品进行观察后,做出的大方向判断。第二部分叫免疫组化,是对肿瘤分子(基因)水平的分析。
通过这几个综合指标,我们就能对乳腺癌进行比较准确的分期,病理分型和分子分型。
病理诊断相对简单一些,主要是看送来的肿瘤样品整体特性,包括肿瘤长什么样(病理分型),是否已经转移(分期),组织学分级等,主要是评估病情到底进展到了什么程度。
比如,上面这个样品的病理分型就属于侵润性导管癌,已经转移到多个淋巴结,因此属于III期。也有的时候,发现得更早,可能是非侵润性癌(原位癌),或早期侵润癌。
咱们今天重点来讲讲免疫组化的那些数据。
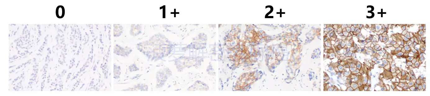
大家需要先明白的是,报告里(-)代表阴性,而( )代表阳性。ER(-)就说明是ER这个指标阴性。有些时候,阳性还会分级,强阳性可能写成(3 ,或者 ),而弱阳性是(1 ,或者 ),不同医院使用的格式可能不同。
比如,下面这幅图,就是不同强度的HER-2染色,从阴性到强阳性。浅蓝色是底色,而棕色越深,就说明HER-2的表达越高。

虽然免疫组化里有很多项,但对乳腺癌而言,最重要的是前三个:ER,PR,HER-2。
这三个指标直接决定了乳腺癌的分子分型:激素阳性,HER-2阳性,还是三阴性。其中激素阳性的乳腺癌又可以细分为Luminal A型和Luminal B型。
首先,ER,PR和HER-2是三个蛋白的英文代号。翻译过来,ER是雌激素受体,PR是孕激素受体,HER-2是人表皮生长因子受体-2。
如果ER或者PR是阳性,就属于激素阳性乳腺癌。这是最常见的乳腺癌亚型,也是相对治疗药物最多,效果最好的一种亚型。
如果肿瘤既没有ER,也没有PR,而单独表达HER-2蛋白,那就是HER-2阳性乳腺癌。本文上面的这个例子,就是个典型。报告里面的ER(-),PR(-),说明它不表达ER或PR,都是阴性的。而HER-2(3 ),说明它表达HER-2蛋白,而且表达很多。通常HER-2表达有“0(或-),1,2,3”这四档,3 是最强的一档。刚才讲了,有些医院会写成HER-2( )来表示强阳性。
如果肿瘤没有ER,没有PR,也没有HER-2,那就属于三阴性乳腺癌。这类肿瘤无论是治疗方法,还是预后,都和前两种截然不同,需要特殊对待。
关于不同类型乳腺癌的特性和治疗方法,具体的情况后面章节会详细介绍。
总之,如果拿到一个乳腺癌的病理报告,最先就要看这ER,PR和HER-2三个指标。有些医院会把HER-2写成erbB-2,反正是一个意思。
除了前面三个,另一个重要的指标是Ki-67。
上面例子中的Ki-67(60%)是啥意思?
Ki-67也是一种细胞内的蛋白,研究发现它和细胞的生长密切相关。无论是正常细胞还是癌细胞,只要正在快速分裂的细胞通常都会表达Ki-67,相反,如果一个细胞不生长,那么就是Ki-67阴性的。
因此,临床医生通过分析样品中的Ki-67阳性细胞比例,来判断里面到底有多少正在分裂的细胞。
Ki-67的数值应该是在0%-100%之间。通常而言,Ki-67数字越大(指数越高),说明肿瘤细胞生长越活跃。整体来看,Ki-67的值是随着肿瘤恶性程度增加而增加的。良性肿瘤或原位癌的ki-67数字低,而晚期癌症的数值高。在上面的例子中,60%是个比较大的值,说明这个肿瘤是比较活跃的,要密切注意。
Ki-67在乳腺癌检测中之所以重要,是因为它可以帮助进一步细分激素阳性的乳腺癌,对治疗能有直接指导作用。
如果激素阳性乳腺癌Ki-67指数低,且不表达HER-2,那就属于最经典的激素阳性,也叫管腔上皮A型(Luminal A)。通常单独使用内分泌疗法就可以。
相反,如果它们Ki-67指数高,有时甚至同时表达HER-2,就属于管腔上皮B型(Luminal B),这样的肿瘤比A型的生长要稍快一点,因此治疗要稍微用药猛一点。
但即使Ki-67高,大家也不要特别恐慌。因为Ki-67高的癌细胞,通常对于化疗也更加敏感,因为化疗药是专门擅长干掉生长快的细胞的嘛。
有研究表明,对于激素阳性的乳腺癌,如果Ki-67指数高,手术后的辅助化疗会很有价值,患者从中受益更大。
需要说明的是,Ki-67的值只是做参考,不是绝对的。一方面,不同癌症类型的Ki-67差异巨大,另外,有些良性肿瘤Ki-67值也可能高,而恶性肿瘤数字也可能低。
免疫组化中还有一些其它的指标,包括E-Cad,CK5/6,CK14,P63,Calponin等,都是为了进一步帮助医生来判断乳腺癌的特性,细分肿瘤亚型。
比如P63和Calponin属于肌上皮细胞的标志,而CK5/6,CK14属于基底型细胞角蛋白,它们结合在一起,能对乳腺癌进一步细分,比如是属于囊内性乳头状癌(P63和Calponin阴性),还是导管内乳头状瘤(P63,Calponin,CK5/6,CK14为阳性)等。
但这些指标对患者而言,意义没有那么大,大家知道它们大概的目的就好,不用太纠结。
总之,看懂病理报告很重要,这样你就会更好地理解医生做出的治疗方案。比如,很多人总是问:为啥隔壁手术后用内分泌药物,而我非要用化疗?
现在你知道了,可能就是ER,PR,HER-2这些蛋白表达不同。看似都是乳腺癌,其实并不是一种病。
参考文献:
1:Sonnenblick A, Francis PA, Azim HA, de Azambuja E, Nordenskjöld B, Gutiérez J, Quinaux E, Mastropasqua MG, Ameye L, Anderson M, Lluch A, Gnant M, Goldhirsch A, Di Leo A, Barnadas A, Cortes-Funes H, Piccart M, Crown J (2015). "Final 10-year results of the Breast International Group 2-98 phase III trial and the role of Ki67 in predicting benefit of adjuvant docetaxel in patients with oestrogen receptor positive breast cancer". European Journal of Cancer (Oxford, England : 1990). 51 (12): 1481–9. doi:10.1016/j.ejca.2015.03.018. PMID 26074397.
2: Yerushalmi R, Woods R, Ravdin PM, Hayes MM, Gelmon KA (2010). "Ki67 in breast cancer: prognostic and predictive potential". The Lancet. Oncology. 11 (2): 174–83. doi:10.1016/S1470-2045(09)70262-1. PMID 20152769.
收藏
回复(14)举报
参与评论
评论列表
按投票顺序
谢谢分享
举报
2018-12-16 15:30:19 有用(1)
回复(1)
谢谢分享
举报
2018-12-16 15:44:43 有用(0)
回复(1)
分享了
举报
2018-12-16 21:49:45 有用(0)
回复(1)
谢谢分享
举报
2018-12-16 16:41:15 有用(0)
回复(1)
谢谢
举报
2018-12-16 16:41:16 有用(0)
回复(1)
谢谢分享!
举报
2018-12-16 22:53:33 有用(0)
回复(1)
还是看不懂
举报
2018-12-17 00:32:11 有用(0)
回复(1)
相关推荐
热点推荐
暂无数据






