【用实例说话】Ⅲb期肝癌患者疾病进展后,启用局部治疗+瑞戈非尼+PD-1抑制剂策略达CR

随着治疗手段与药物的不断增多,肝癌综合治疗理念已深入人心。以局部介入联合系统治疗为代表的的联合策略是中晚期肝癌治疗的基石。本期分享的这例肝癌合并淋巴结转移的患者,通过靶向 免疫长期治疗,加用短期有效的局部介入治疗策略,为患者带来良好生存获益。值得一提的是,该患者疾病进展后,靶向药物换用瑞戈非尼6个月后获得完全缓解(CR),目前已为患者贡献了近9个月的无进展生存时间。



病例介绍


图片               
陈姚 医师

河南省肿瘤医院  微创介入科  医学博士
发表SCI、中华及核心期刊7篇
擅长:肿瘤介入治疗
                   

陈姚教授病例讲课视频


入院情况

男性患者,58岁。2020年10月19日以“阵发性腹痛10天”为主诉入院。2020年10月13日外院上腹部增强CT提示肝右叶占位伴周围子灶,考虑HCC可能;腹膜后肿大淋巴结,考虑转移(图1)。

慢性乙型肝炎病史,HBV-DNA 9.04×10^4 IU/ml,给予恩替卡韦抗病毒治疗。甲胎蛋白(AFP)>1210ng/ml。

肝功能分级:Child-Pugh A级;ECOG评分1分。

图片

图1.2020年10月13日CT

为明确患者病理诊断,在CT引导下行肿瘤穿刺活检术;术后病理报告提示为肝细胞癌。

患者诊断及分期:肝细胞癌,巴塞罗那分期(BCLC)C期,中国肝癌分期(CNLC)Ⅲb期,ECOG=1分。



局部治疗 阿帕替尼 卡瑞利珠单抗

经MDT讨论,参与“局部介入治疗联合阿帕替尼及卡瑞利珠单抗治疗中晚期肝癌真实世界研究”。

2020年10月22日行第一次D-TACE术,术中用药:雷替曲塞4mg动脉灌注 表柔比星40mg 300-500μm载药微球栓塞。

术后3天复查上腹部增强CT示,肝右叶肿瘤呈坏死状态,腹膜后淋巴结转移呈稳定状态,总体评价部分缓解(PR)(图2)。

图片

图2.D-TACE术后3天复查上腹部增强CT

术后维持治疗方案:阿帕替尼(250mg,P.O.,QD) 卡瑞利珠单抗(200mg,iv.gtt, 3周方案),恩替卡韦(0.5mg,P.O.,QD)抗病毒治疗。

2020年12月6日复查MRI,提示门脉右支出现癌栓(VP4)。整体评效疾病进展(PD);腹膜后淋巴结呈稳定状态(图3)。

图片

图3.2020年12月6日复查MRI

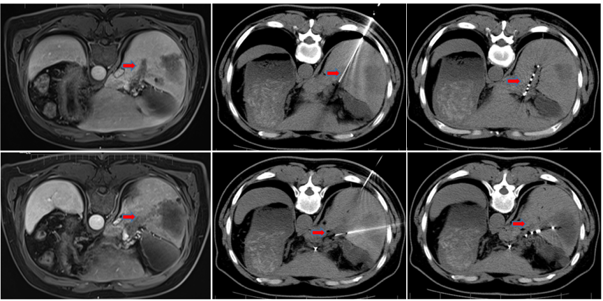
2020年12月7日行门脉粒子植入术(图4)。并后续给予TACE治疗,术中用药:奥沙利铂150mg 雷替曲塞4mg 碘油3ml。术中造影可见肝右叶肿瘤仍有少部分染色,而门脉右支分布的区域可见门脉癌栓肿瘤染色。

图片

图4.2020年12月7日门脉粒子植入术

术后维持治疗方案:阿帕替尼(250mg,P.O.,QD) 卡瑞利珠单抗(200mg,iv.gtt, 3周方案),恩替卡韦(0.5mg,P.O.,QD)抗病毒治疗。

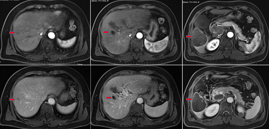
2021年1月18日复查上腹部MRI示,肝内病灶无明显活性,门脉右支癌栓部分消退,腹膜后淋巴结仍为稳定状态,总体评价PR(图5)。

图片

图片

图5.2021年1月18日复查上腹部MRI

2021年1月21日行动脉灌注(TAI),化疗术中造影,未见明显肿瘤染色。术中用药:奥沙利铂150mg 雷替曲塞4mg。

术后维持治疗方案:阿帕替尼(250mg,P.O.,QD) 卡瑞利珠单抗(200mg,iv.gtt, 3周方案),恩替卡韦(0.5mg,P.O.,QD)抗病毒治疗。

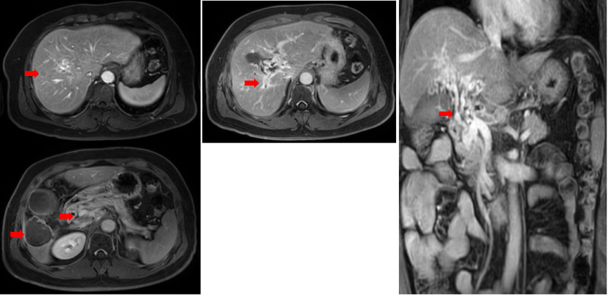
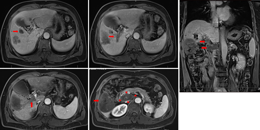
2021年3月13日、2021年4月19日、2021年6月23日复查MRI均提示维持治疗疗效稳定,总体评价仍为PR(图6)。

图片

图片

图6.2021年3月13日、2021年4月19日、2021年6月23日复查MR

2021年9月2日复查MRI显示,肝门及腹膜后淋巴结增大,腹膜后一转移病灶局部增大,评效PD(图7)。

图片

图7.2021年9月2日复查MRI



局部治疗 瑞戈非尼 卡瑞利珠单抗

2021年9月6日再次行粒子植入治疗。术后维持治疗方案中,靶向治疗替换为多靶点作用更强的二线药物瑞戈非尼:瑞戈非尼(80mg,P.O.,QD) 卡瑞利珠单抗(200mg,iv.gtt,3周方案),恩替卡韦(0.5mg,P.O.,QD)抗病毒治疗。

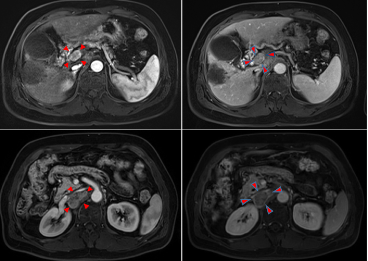
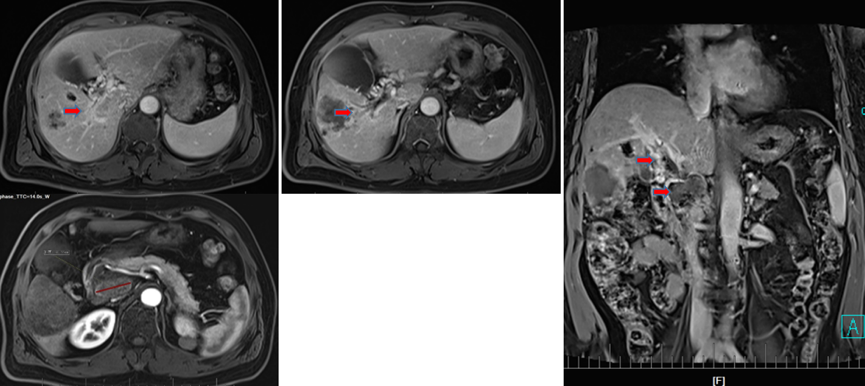
2022年3月9日复查MRI,可见门脉后方肿大淋巴结、腹膜后肿大淋巴无活性且已接近消失,肝右叶肿瘤无明显活性,门脉右支癌栓消退再通(图8);总体评价为完全缓解(CR)。

图片

图片

图8.2022年3月9日复查MRI

治疗过程中AFP变化:

图片



专家点评


图片               
郑琳 教授
副主任医师

河南省肿瘤医院 微创介入科  副主任医师
肿瘤学博士,郑州大学硕士研究生导师,韩国 Asan Medical Center 访问学者
中华医学会放射学分会胃肠胰腺介入专委会委员


中国抗癌协会肿瘤微创治疗专业委员会青年委员
国家肿瘤微创治疗产业技术创新战略联盟专家委员会委员


河南省抗癌协会肿瘤微创治疗专业委员会常务委员  河南省医学会介入学分会委员


河南省医学会介入学分会青年委员会副主任委员
河南省医学会介入学分会围术期疼痛管理学组副组长


科研课题:主持省部共建科研课题1项,北京医卫健康公益基金资助课题1项,肿瘤介入科研基金项目1项
获得成果:河南省医学科学技术进步奖、一等奖 五项;二等奖一项
科研论文:发表论文20余篇,其中SCI 6 篇,中华 2篇
参编论著:微小肺癌—影像诊断与应对策略.人民军医出版社专利:1项;开展省内新技术 6项

郑琳教授点评视频

这是一例晚期肝癌患者,通过局部介入联合靶向及免疫治疗取得了成功。那么,该病例治疗成功的因素有哪些?首先,该患者诊断和分期非常准确,其为肝细胞癌合并淋巴结肿大患者,CNLC分期Ⅲb期,bclc分期分为 C期,该期患者的标准治疗为靶向、免疫为基础的全身治疗联合局部介入治疗[1-3]。第二,该例患者治疗的成功离不开多学科讨论的思维方式。通过多学科讨论,确立了靶向联合免疫为基础的长期治疗策略,并在此基础上加用短期有效的局部介入治疗;“短期”加“长期”双管齐下,最终为患者带来长期生存获益。第三,具体而言,该患者通过局部介入治疗使肝脏病灶得到有效控制,同时还具有PD-1单抗增敏作用;此外,靶向治疗有效抑制血管生长,对载药微球的治疗进行补充控制;且粒子植入有效控制门脉癌栓的同时,也进一步增敏PD-1单抗治疗。因此,该例患者的无进展生存达到了近9个月。

该例患者在第二次淋巴结肿大出现疾病进展后,及时更换二线靶向药物瑞戈非尼,联合粒子植入,使患者病情得到有效控制。更换为瑞戈非尼治疗6个月后,评效达到CR,且已持续近3个月,可谓疗效显著。值得一提的是,治疗过程中的患者宣教非常重要,我们通过院内与院外宣教,使该患者长期坚持靶向和免疫治疗,获得了后来的长治久安。展望未来,局部介入全身治疗有望成为中晚期肝癌的治疗希望之光。

参考文献

[1]中国临床肿瘤学会(CSCO)原发性肝癌诊疗指南(2022版).

[2]NCCN Guidelines. Hepatobiliary Cancers, Version 4.2021.

[3]中国卫生健康委.原发性肝癌诊疗指南(2022版).


参与评论

更多
图片验证码

评论列表

更多
按投票顺序
爸爸确诊病情已经有11个多月了。一共做了8次大化疗,2次小化疗,以及35次放疗,上月返医院检查“瘤子”没有了。这一路走来,有多少的艰辛与泪水。在这里与大家分享爸爸的治疗过程。起初,拿到病例报告的时候,
Xxiaoxiao
100493 阅读
阅读全文
妈妈患肺癌已经有三年了,这三年来一直在接受治疗到现在,下面是妈妈检查以及治疗的过程。2010年10月,妈妈体检出肺癌IV期,纵隔淋巴转移,肝部转移,去省肿瘤医院复查,做了PET-CT,结果一样,省肿瘤
2011年11月,妈妈被诊断肺癌,我在网上浏览了很多帖子,学到了很多,看到了一批又一批共同奋斗在抗癌战线上的战友。这15个月走下来,越来越体会到抗癌之路的艰辛,今天发个帖子,记录一下妈妈的治疗经过,也
invay
38071 阅读
阅读全文