为什么癌症患者都要做病理检查?从取材到报告全流程详解!
“病理检查真的准吗?会不会出现‘误差’?”
“好不容易等来了病理报告,医生却又说‘得加个基因检测’,到底有没有必要,会不会耽误治疗?”
“护士让我去借‘白片’,取来后被告知我拿的是HE染色片不能用,我不明白,这里面有什么区别?”
几乎每个癌症患者在治疗路上,都被以上这些问题困扰过,今天我们就把这些患者最关心的问题拆解开,从肿瘤组织被取下开始,讲讲病理检查的来龙去脉。
01
当人体内的细胞异常生长时,可能会在局部形成肿瘤,其中恶性肿瘤的细胞不仅生长迅速,还具有“转移阵地”的能力,这类肿瘤又被称为“癌”。很多人都是在CT和核磁共振检查后,被告知可能患癌,但至此,也只是根据影像特征推测“大概率是癌”,还无法百分百断定肿瘤的“真实身份”。
病理检查,是通过显微镜下观察肿瘤细胞的形态特征、排列方式等,确定到底是不是癌,是什么类型的癌,恶性程度有多高等,是癌症诊断的“金标准”。
简单来说,CT和核磁是“发现嫌疑”,而病理检查结果才是“明确的物证”,也是制定治疗方案的可靠依据之一。
肿瘤组织离开身体后,在病理科将经历什么?医生通过手术切除(大标本)、细针穿刺(小标本)等方式获取患者体内的组织标本后,将其送往病理科。经过一系列审慎处理,病理科会在数天后出具检测报告。那么,一块小小的组织,在病理科要经历怎样的“变形记”,才能得到一份精准无误的病理报告?
1、从组织标本到蜡块:固定与保存
组织标本一旦取出体外就很容易变质,若细胞结构被破坏,将影响诊断的准确性。因此,组织标本需要经过固定、脱水、透明、浸蜡和包埋等操作步骤,耗时约1-2天,这一过程可将柔软易降解的组织转化为坚硬且可长期保存的石蜡块。
通俗点说,就是用石蜡把组织包裹住,等石蜡凝固后就形成了一个含有组织的蜡块,它有一个专门的名字:福尔马林固定-石蜡包埋组织(FFPE),FFPE是后续病理检测的基础材料。

蜡块(图片来源:内部资料)
2、从蜡块到切片:精密切割
每个蜡块可切出很多张石蜡组织切片,类似于将冰冻羊肉切成薄片的加工过程:将蜡块固定在切片机上,切成厚度仅3-5微米的超薄切片,再将其铺在特制玻璃上,形成“玻片”。这种未经染色处理的切片,就是我们所说的“白片”,完成切片通常需要数小时,切片的本质是为了便于后续的染色、观察及其他检测。

病理技师正在切片与捞片(图片来源:内部资料)
3、从切片到病理诊断:染色与观察
由于白片在显微镜下难以分辨细胞形态,检验人员会先用染色剂处理白片,这个过程叫“苏木精-伊红染色”或“HE染色”,就好比用水彩笔对一张白图进行上色描摹。处理过后,白片上的细胞会带上颜色,称为“HE染色片”。病理医生通过在显微镜下观察HE染色片上的细胞形态、组织结构、肿瘤浸润情况,再结合临床信息,就可以判断肿瘤具体类型、良性恶性、恶性程度等,并出具诊断报告。


白片(左)和HE染色片(右)(图片来源:内部资料)
从HE染色片到完成病理诊断,一般需要1天的时间,标本量多的时候,病理医生阅片工作量增加,可能需要更长的时间。

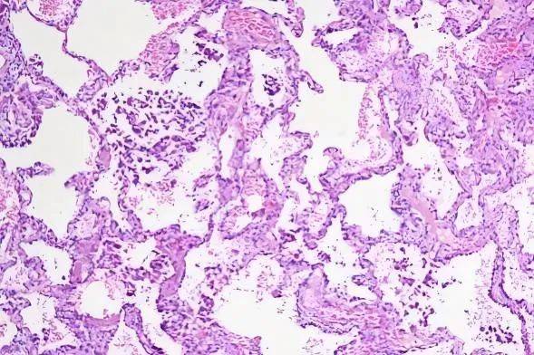
肺癌HE染色片在显微镜下的视野(图片来源:内部资料)
02
在肿瘤个体化诊疗时代,即使两名患者被诊断为同一种癌症、同一分期,相同的治疗方法也可能疗效迥异,这往往源于基因层面的差异。因此,医生会在病理诊断基础上建议患者进行基因检测。
病理医生可以对白片进行免疫组织化学(IHC)染色,在显微镜下观察细胞中与肿瘤相关的蛋白质有没有增加或减少,此时白片就变成了“IHC染色片”。至此,您就会明白在向病理科借片时,我们要根据不同用途,区分需要借的是白片、HE染色片还是IHC染色片了。

IHC染色片(图片来源:内部资料)

白片、HE染色片、IHC染色片对比(图片来源:内部资料)
另外,病理医生还可以把白片上的组织重新刮取下来,提取核酸,进行基因检测。不同的检测方法耗时有长有短,例如PCR检测快一些,而高通量测序的耗时较长,通常需要3-7天甚至更长时间。

组织标本在病理科的流转示意图(图片来源:内部资料)
03
有些晚期患者很难再进行手术切下肿瘤组织,医生会改用支气管镜、细针穿刺等方式获取组织标本,其特点是体积小、数量少,一般统称为“小标本”。
由于组织量少,小标本应尽可能选择样本用量更少、成功率更高的基因检测方法,例如荧光定量PCR。同时,多数小标本取材于晚期患者,患者更需要尽快拿到检测报告,PCR技术在检测周期上也能满足这一需求。有些医院还开辟了此类标本的特殊通道,优化小标本的处理流程,例如病理诊断与基因检测同步进行的方式。
病理诊断和基因检测是一类复杂且严谨的工作,从获取组织标本到发出最终报告,需要严格质控,最长经历1-2周的流程。但癌症治疗,尤其对晚期患者而言,本就是和时间赛跑,所以,“快”是每个患者的刚需。庆幸的是,病理诊断技术在不断升级迭代、医院检测流程在不断调整优化,基因检测技术也正蓬勃发展,很多医院建立针对危重症患者的快速检测通道,将晚期肺癌的分子检测时间缩减至1-2天。攻克癌症,我们都在加速奔跑!
内容制作
温馨提示:本文中所涉及的信息旨在传递医药前沿信息和研究进展,不涉及诊疗方案推荐,临床上请遵从医生或其他医疗卫生专业人士的意见与指导。
封面图片:摄图网
责任编辑:觅健科普君
收藏
回复(1)参与评论
评论列表






