四次化疗结果

       四次化疗结果出来了,喜忧参半。肺部控制住了,维持稳定。

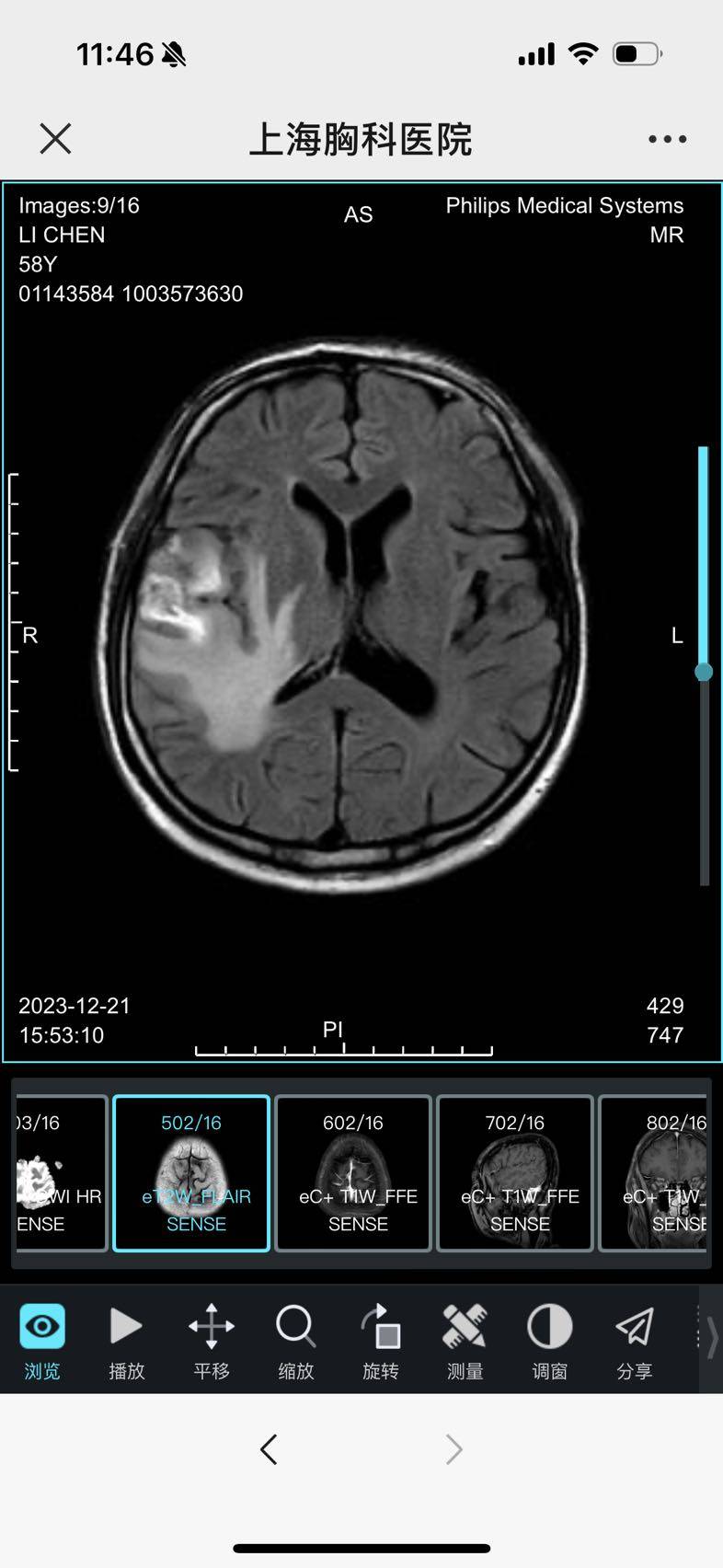
       头部肿瘤又长大了一些,速度还是比较快的。虽大部份坏死,边缘还是有活性造成水肿,可能也会放大了肿瘤的大小吧。体感还不错,还能正常的工作、运动,旅游!
        接下来,一边消水肿,试一个月伏美替尼双倍的效果,看看能不能控制一下头部肿瘤。马上就要迎来新的一年了,愿所有的晦气和2013年离我们远去,让我们张开双臂拥抱好运和2014年吧!




参与评论

更多
图片验证码

评论列表

更多
按投票顺序
我是伏美替尼联贝伐单抗脑部控制得很好,不知道医生为什么突然给我停了伏美,但愿没事吧
举报
2024-01-03 13:13:35
有用(1)
回复(7)
加油!加油!
举报
2024-03-02 09:34:58
有用(0)
回复(0)
加油
举报
2024-01-06 23:52:01
有用(0)
回复(1)
头部脑转有什么症状?头晕还是恶心?
举报
2024-01-28 23:10:46
有用(0)
回复(2)
加油
举报
2024-02-01 09:09:43
有用(0)
回复(0)
加油
举报
2023-12-31 19:00:11
有用(0)
回复(0)
继续努力,稳定就好
举报
2024-01-08 10:56:59
有用(0)
回复(1)
加油!
举报
2023-12-31 19:52:51
有用(0)
回复(0)
迎接新年,加油
举报
2023-12-31 20:44:18
有用(0)
回复(0)
加油
举报
2024-01-05 14:53:25
有用(0)
回复(2)
加油
举报
2024-01-30 11:19:33
有用(0)
回复(0)
吃赴美有基因监测吗
举报
2024-05-21 16:57:25
有用(0)
回复(3)
大嘴哥继续加油!2024顺顺利利!
举报
2024-01-01 09:18:16
有用(0)
回复(0)
你这个脑转移这么大不做局部放疗的吗
举报
2024-01-02 19:23:38
有用(0)
回复(1)
你好,脑转放疗后缩小了吗?我父亲也一样,是枕叶占位2cm!
举报
2024-01-05 09:22:26
有用(0)
回复(1)
加油💪
举报
2024-01-03 09:27:54
有用(0)
回复(0)
加油!
举报
2024-01-02 15:22:25
有用(0)
回复(0)
爸爸确诊病情已经有11个多月了。一共做了8次大化疗,2次小化疗,以及35次放疗,上月返医院检查“瘤子”没有了。这一路走来,有多少的艰辛与泪水。在这里与大家分享爸爸的治疗过程。起初,拿到病例报告的时候,
Xxiaoxiao
100841 阅读
阅读全文
妈妈患肺癌已经有三年了,这三年来一直在接受治疗到现在,下面是妈妈检查以及治疗的过程。2010年10月,妈妈体检出肺癌IV期,纵隔淋巴转移,肝部转移,去省肿瘤医院复查,做了PET-CT,结果一样,省肿瘤
2011年11月,妈妈被诊断肺癌,我在网上浏览了很多帖子,学到了很多,看到了一批又一批共同奋斗在抗癌战线上的战友。这15个月走下来,越来越体会到抗癌之路的艰辛,今天发个帖子,记录一下妈妈的治疗经过,也
invay
38422 阅读
阅读全文