24岁女生上腹不适半年,怕做胃镜——医生叹息:只能维持1年左右了...
24岁的张小姐是一个很漂亮的姑娘,刚刚大学毕业参加工作,是一家公司的白领。
日前,她因上腹隐痛不适、伴贫血乏力,多方调治无效,不得已才不情愿地来我院内窥镜科就诊。
胃镜检查提示胃粘膜皱襞粗大僵硬,胃底体交界处溃疡形成,化验血常规提示血色素仅为82g/L,呈明显贫血状态,超声内镜检查提示胃壁黏膜广泛增厚,固有基层尚均匀。
超声内镜图像乍一看似乎符合淋巴瘤的诊断,虽然同属恶性肿瘤,但在医生的内心深处,从"两害相权取其轻的"角度,更希望病人是恶性程度较轻的淋巴瘤诊断,毕竟淋巴瘤经过病理分型后如果能给予相应敏感化疗,患者有可能达到相对较长的生存时间,甚至可以达到临床治愈的可能。

胃镜提示胃黏膜皱襞粗大僵硬伴溃疡形成。
然而最终病理检查的结果回报是残酷的,姑娘的病理诊断是"印戒细胞癌"——一种恶性程度极高的胃癌,该病患者即使具备外科手术切除的机会,据大量文献报道,术后生存时间大部分都只能维持1年左右。
回顾该患者病史,其乏力上腹不适症状已经存在数月到半年之久,出于对胃镜检查的恐惧,患者一直抵触检查,直到出现明显贫血乏力症状才来医院确诊,但为时已晚。

超声提示胃壁黏膜层及黏膜下层明显增厚并融合,层次消失。
在超声内镜评估过程中,其中超声图像显示胃壁第三层超声结构(黏膜下层)可见星点状中断征象,符合革囊胃(也叫皮革胃,浸润性胃癌)的诊断!
但面对花季般灿烂的年龄,出于善良的本心,甚至一度以为患者病变是相对病情更轻的淋巴瘤,可身为医生,此种情况若从科学角度出发,则明显属于主观偏倚(Bias)范畴的误差。
尽管如此,虽存医者仁心之念,但诊断毕竟要以病理组织学为金标准,此为在临床工作中尤其需要注意之重点。

内镜超声检查视频,视频中可见胃壁黏膜层及黏膜下层广泛增厚融合,增厚融合的黏膜下层局部呈星点状不连续。

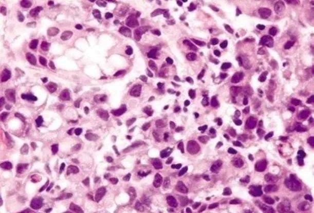
病理报告,具有明显核分裂的浸润性印戒细胞
24岁的姑娘,尚未成家,其灿烂人生尚未充分绽放就面对即将凋零的残酷现实,令我们为其唏嘘感叹之余,仍不免扼腕叹息。
试想,如果这位姑娘在发病早期能及时就医,面对如此恶性疾病,即使不能改变其最终预后不良的结果,但仍可以在最大限度提高治疗效果,延长生存时间,提高有限时间内的生存质量。
胃印戒细胞癌是高度恶性肿瘤之一,约占胃癌的9.9%,具有侵袭力强,病程进展快,恶性程度高的特点。
胃癌分为乳头状腺癌、管状腺癌、黏液腺癌、印戒细胞癌、腺鳞癌、鳞状细胞癌、未分化癌等。其中,印戒细胞癌是一种含有大量黏液的特殊胃癌类型,由于细胞中充满了黏液,把细胞核挤向了细胞的一侧,使其外形酷似一枚戒指,故得其名。
本病多发于中青年,特别是青年女性,大多数专家认为该病的发生可能和青年女性的雌激素代谢旺盛有关。
建议朋友们,尤其是中青年女性,如果出现腹部不适症状,尤其合并贫血等并发症的情况,一定要及时到正规医院就诊,以免耽误病情,提高对自身健康的关注和掌握必要的科学知识,才能在最大限度上提高对社会的适应能力,减少各种风险对健康的侵害。
收藏
回复(2)参与评论
评论列表






