信达联合安罗两针后,出现肺炎,现在急诊室,主治也不管,

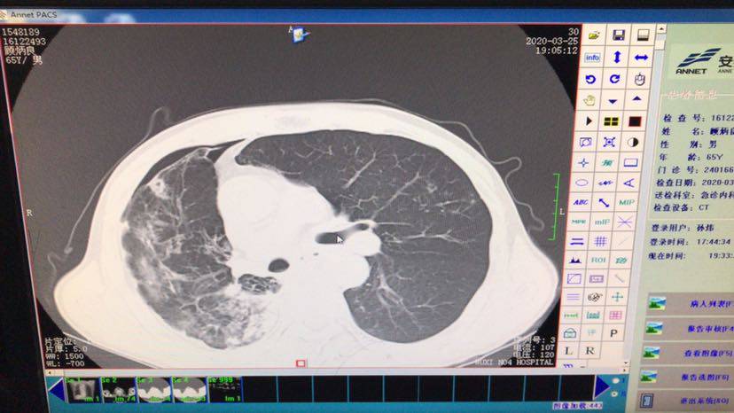
信达两针后出现肺炎,咳嗽加重,痰液加多,怕冷,出虚汗,体温35.9,没有发烧,吞咽不下去,喝水也会反出来,挂急诊拍片急诊说肺炎,只能立即消炎,挂了发票中的盐水2天还是咳嗽加重,突然痰液减少,主治不能收入病房,说先做痰培养,不能说是免疫肺炎,可能是细菌肺炎,可是快看病人坚持不下去了,不管是什么肺炎,还能用什么药,做什么处理呢?我该怎么办,求求大家,下面1到3图是这两天拍的,第4图是2月和现在的ct对比,大家看下


参与评论

更多
图片验证码

评论列表

更多
按投票顺序
消炎药!如果是免疫性肺炎 一般激素冲
举报
2020-03-27 16:38:14
有用(1)
回复(1)
白细胞比25日检查,升hao le
举报
2020-03-27 10:43:11
有用(0)
回复(0)
这是第四图,大家看下
举报
2020-03-27 08:09:47
有用(0)
回复(0)
求求大家,告诉我该怎么做,我爸心脏,肾功能正常,就是白细胞还是高
举报
2020-03-27 08:21:57
有用(0)
回复(0)
换药或者激素冲
举报
2020-03-31 00:47:57
有用(0)
回复(0)
白细胞数量不是很高,医生可能看到中性粒细胞比例升高,怀疑是细菌感染的肺炎。影像学肺窗显示肿瘤对比可能是免疫造成的“假性进展”。可以先继续消炎试试,消炎的话会影响免疫药效果,免疫药要暂时先停掉。建议去咨询一下呼吸科或者肿瘤科
举报
2020-03-27 09:12:16
有用(0)
回复(3)
爸爸确诊病情已经有11个多月了。一共做了8次大化疗,2次小化疗,以及35次放疗,上月返医院检查“瘤子”没有了。这一路走来,有多少的艰辛与泪水。在这里与大家分享爸爸的治疗过程。起初,拿到病例报告的时候,
Xxiaoxiao
100611 阅读
阅读全文
妈妈患肺癌已经有三年了,这三年来一直在接受治疗到现在,下面是妈妈检查以及治疗的过程。2010年10月,妈妈体检出肺癌IV期,纵隔淋巴转移,肝部转移,去省肿瘤医院复查,做了PET-CT,结果一样,省肿瘤
2011年11月,妈妈被诊断肺癌,我在网上浏览了很多帖子,学到了很多,看到了一批又一批共同奋斗在抗癌战线上的战友。这15个月走下来,越来越体会到抗癌之路的艰辛,今天发个帖子,记录一下妈妈的治疗经过,也
invay
38175 阅读
阅读全文