【用实例说话】术后高危复发肝癌患者,二线瑞戈非尼联合PD-1抑制剂治疗获PR
随着肝癌治疗药物与治疗手段的进步,肝癌全程管理与综合治疗的理念深入人心,患者生存期日趋延长。对于中晚期肝癌患者而言,系统治疗联合局部治疗及靶免联合策略是控制疾病进展、延长生存的重要手段。本期分享的这例患者,一线靶免联合治疗进展后,二线更换靶向药物瑞戈非尼治疗达到部分缓解(PR),疗效显著。目前患者仍在持续用药并获益中。
医学硕士,贵州医科大学附属白云医院教学中心校区兼职讲师,贵州医科大学附属肿瘤医院肝胆外科-副主任医师
学术兼职:
中国初级卫生保健基金会贵州肝胆胰脾专业委员会 常委兼副秘书长
中国老年肝胆胰联盟专业委员会外科分会 青年委员
中国非公立医疗机构协会胆石病专业委员会 委员
长期从事肝胆胰肿瘤外科相关的临床和基础研究工作以第一作者发表中文核心期刊文章5篇,参与省级科研课题3项,专利发明4项,发表专著2部
主要硏究方向:肝胆胰腺肿瘤的局部联合全身综合治疗
病例讲课视频
病例情况
患者男,56岁。主诉:检查发现肝脏占位5天。既往史:乙肝,未系统诊治。2019年7月25日门诊入院。家族史:无特殊。
检验结果:血常规,凝血功能基本正常。
肝肾功能:直接胆红素(DBIL)5.33μmol/L↑,丙氨酸氨基转移酶(ALT)72.40U/L↑,天门冬氨酸氨基转移酶(AST)63.90U/L↑,余正常;乙肝两对半:HBsAg、HBcAb阳性;乙肝DNA定量HBV-DNA:4.85E 05IU/ml。肿瘤标记物:甲胎蛋白(AFP)>1000.00ng/mL↑。
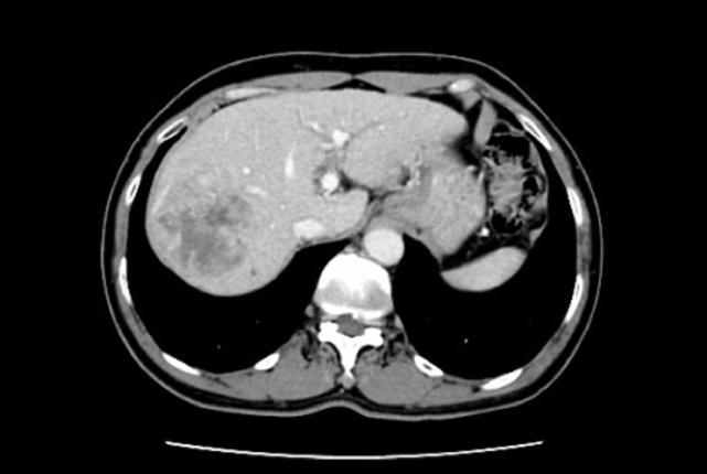
2019年7月25日上腹部CT增强提示:肝脏大小形态正常,肝S7段见类圆形异常密度影,大小约60mm×55mm,边界欠清(图1)。
图1.2019年7月25日上腹部CT
第一次手术治疗
与患者及家属沟通并取得知情同意后,于2019年8月9日在全麻下行腹腔镜下右肝肿瘤切除。术后病理:混合型肝细胞癌-胆管细胞癌(肝细胞癌约占80%,胆管细胞癌约占20%)。
仑伐替尼联合卡瑞利珠单抗联合TACE
术后予仑伐替尼(2mg,口服,1次/日) 卡瑞利珠单抗(200mg,静滴,3周/次)进行治疗,并定期予TACE治疗。
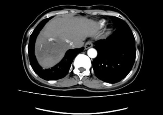
2019年9月24日第一次复查上腹部CT增强:肝脏占位切除术后改变,术区低密度影(图2)。
图2.2019年9月24日复查上腹部CT
检验结果:血常规,凝血功能基本正常;肝肾功能:ALT 61.40U/L↑;AST 48.30U/L↑;余正常;乙肝两对半:HBsAg、HBcAb阳性;肿瘤标记物:AFP:13.1ng/mL↑。
后续于2019年10月12日、2019年12月26日、2020年2月26日、2020年4月27日、2020年7月2日、2020年10月29日于我院介入科行6次TACE。
2021年11月29日上腹部MRI平扫:1)右肝癌术后及TACE术后改变。2)原肝右叶S7段结节未见确切显示,S4、S6段结节(图3)。
2021年11月29日上腹部MRI增强:1)右肝癌术后及TACE术后改变:坏死区较前稍减小;2)肝S4、S6段小结节,不典型增生结节(DN)(图3)。
2021年11月29日磁共振DWI:1)肝脏S4、S6段高信号小结节,请结合MR平扫及增强检查;2)术区液化区边缘稍高信号,请结合MR平扫及增强检查。
图3.2021年11月29日上腹部MRI平扫 增强
检验结果:血常规,凝血功能、肝肾功能基本正常;乙肝两对半:HBsAg、HBcAb阳性;肿瘤标记物:AFP:210.0ng/mL↑。
第二次手术治疗
取得患者家属知情同意后,于2021年12月7日行剖腹探查术 粘连带松解术 超声定位下右肝复发肿瘤切除术 粒子植入术 大网膜带蒂转瓣移植术 膈肌修补术。
术后病理提示“右肝后叶肿瘤”肝上皮源性恶性肿瘤,脉管侵犯( ),神经侵犯(-),结合HE组织形态及免疫组化标记结果支持为肝细胞肝癌。
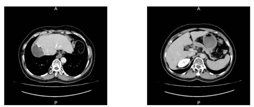
术后2021年12月13日行复查上腹部CT平扫提示:1)右肝癌 TACE 肝复发肿瘤切除术后改变,现术区密度减低影并其内积气,建议增强检查;腹腔引流管置入后改变;2)原肝内散在低密度结节较前未见明显显示。肝硬化;3)新增腹腔多发渗出,建议随诊复查。新增腹壁皮下渗出改变、腹壁肿胀;4)胆囊未见具体显示;5)腰椎退变;6)扫及双侧胸腔积液;双肺多发密度增高影,建议完善胸部CT检查(图4)。
图4.2021年12月13日行复查上腹部CT
瑞戈非尼联合卡瑞利珠单抗
术后患者恢复可,向患者及家属交代病情及国内外指南和专家意见,结合临床试验数据,患者及家属表示强烈意愿尝试PD-1治疗,向患者及家属介绍该治疗理论知识及实践效果,患者及家属表示需要尝试卡瑞利珠单抗(200mg ivgtt)治疗,并更换仑伐替尼为二线靶向药物瑞戈非尼,签署知情同意书。
分别于2021年12月24日、 2022年1月13日、2022年2月14日、 2022年3月10日、 2022年3月31日、 2022年4月22日在心电监护下予卡瑞利珠单抗规律行免疫治疗,并一直予二线靶向药物瑞戈非尼口服治疗。
更换二线治疗后,2022年4月21日复查。检验结果:血常规,凝血功能、肝肾功基本正常;乙肝两对半:HBsAg、HBcAb阳性;AFP:10.1ng/mL↑。上腹部CT增强:右肝癌 TACE 肝复发肿瘤切除术后改变。
术后2021年4月21日行复查上腹部CT增强提示:右肝癌 TACE 肝复发肿瘤切除术后改变,现术区肿胀、渗出及腹腔积液,均较前明显吸收(图5)。
图5.2021年4月21日行复查上腹部CT
医学博士,二级教授,主任医师,博士研究生导师,享受国务院特殊津贴专家,
贵州省省管专家
现任贵州医科大学附属肿瘤医院、白云医院副院长、肝胆外科主任、学科带头人
贵州医科大学白云临床教学中心副主任及外科教研室主任
《中华普外科手术学杂志电子版》、《中国内镜杂志》、《腹腔镜外科杂志》、《中国普外基础与临床》编委,《World Journal of Stem Cells》、《International Journal of General Medicine》、《Cancer Management and Research》、《中华老年医学杂志》、《肝胆胰外科杂志》、《生命的化学》、《贵州医科大学学报》、《贵州医药》等审稿专家,国家自然科学基金评审专家,贵州省肝胆外科质控中心质控专家,贵州医科大学优秀研究生指导教师,曾两次获贵州省科技进步二等奖。
学术兼职:
中国初级卫生保健基金会贵州省肝胆胰脾专业委员会主任委员
国际肝胆胰协会中国分会委员
中国医师协会内镜医师分会内镜微创保胆专业委员会常委
中国医师协会外科学分会委员
中国医师协会肝癌专业委员会委员
中国医师协会器官移植医师分会委员
中国研究型医院协会微创外科专业委员会委员
中国研究型医院协会数字医学临床外科专业委员会数字化肝胆胰外伤学组委员
中国医药教育协会医疗器械管理专业委员会委员
贵州省医学会外科学分会常委
贵州省医学会器官移植与感染学分会常委
病例点评视频
中国是肝癌大国,多数患者就诊时已为中晚期,失去了手术治疗的机会。即使可手术的患者,肝癌切除术后5年肿瘤复发转移率高达40%~70%[1]。因此,对于具有高危复发因素的患者,应进行全身的系统治疗。该例患者肿块巨大,存在乙肝背景,于2019年8月9日行腹腔镜下右肝肿瘤切除术,术后病理证实为混合型肝细胞癌-胆管细胞癌。考虑到患者包块巨大且病理发现存在血管侵犯(MVI),因此术后给予仑伐替尼联合卡瑞利珠单抗治疗,并于2019年10月12日至2020年10月29日期间定期给予6次TACE治疗。2021年11月29日上腹部MRI增强发现,肝S4段和S6段有小结节,考虑为DN;结合患者较高的AFP水平(210ng/mL),遂于2021年12月行第二次手术切除。术后病理证实右肝后叶肿瘤为肝上皮源性恶性肿瘤,脉管侵犯,神经侵犯,也属于高危复发因素。因此,自2021年12月采用瑞戈非尼 卡瑞利珠单抗进行二线治疗。
瑞戈非尼作为国内外权威指南一致推荐的高循证级别二线治疗药物[1-3],其良好的疗效与安全性在该病例中再次得到验证。2022年4月21日复查显示,该患者病情控制良好,疗效评估达部分缓解(PR),提示在中晚期肝癌一线治疗后进展的患者中,应用免疫联合二线靶向治疗药物瑞戈非尼可控制肝癌的发展,延长患者的生命。在治疗过程中未发生明显的不良反应,如胃肠道反应、高血压等,且目前患者仍在持续用药并获益中。该病例为这一治疗方案提供了有价值的经验线索。事实上,在临床治疗中我们已有诸多肝癌患者一线治疗进展后,采用瑞戈非尼二线治疗后取得了良好的治疗效果,期待后续更多病例的积累,以带来更多数据与证据。
[1]中国卫生健康委.原发性肝癌诊疗指南(2022版).
[2]NCCN Guidelines. Hepatobiliary Cancers, Version 4.2021.
[3]中国临床肿瘤学会(CSCO)原发性肝癌诊疗指南(2022版).
收藏
回复(0)参与评论
评论列表






