临床随笔丨肝癌术前新辅助治疗:“更优选择”还是“过度治疗”?
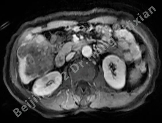
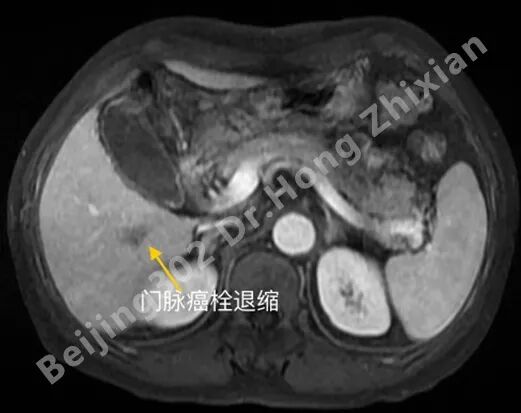
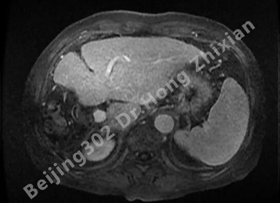
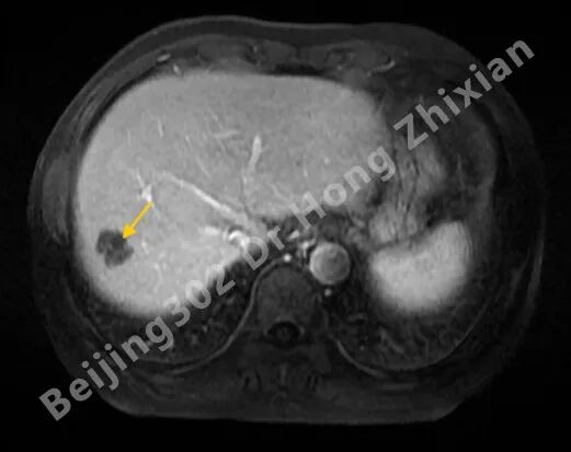
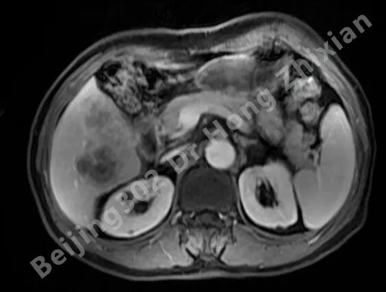
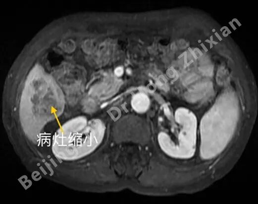
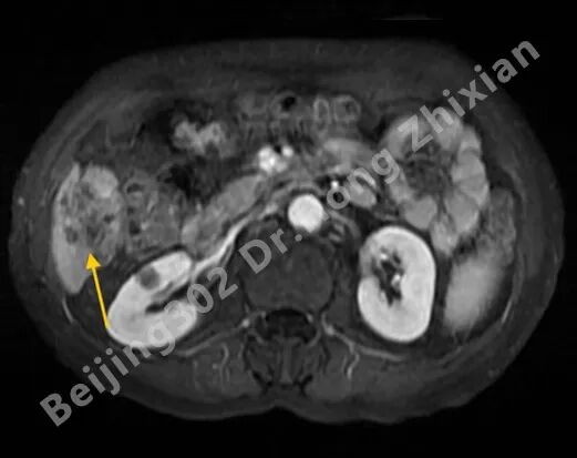
病例简介
(滑动浏览)
(滑动浏览)
专家点评
专家简介
洪智贤
医学博士,副主任医师
解放军总医院第五医学中心 肝病学部 肝病外科一病区主任
国际肝胆胰协会中国分会肝胆胰专委会委员、
中国抗癌协会腔镜与机器人外科分会会员
中国研究型医院学会肝病分委会委员等
获中华医学会外科学分会举办第三届全国中青年手术大赛“中华外科金手指奖”
多部专业杂志编委、审稿专家
收藏
回复(0)举报
参与评论
评论列表
按投票顺序
相关推荐
热点推荐
2013-11-19 14:23:04
爸爸确诊病情已经有11个多月了。一共做了8次大化疗,2次小化疗,以及35次放疗,上月返医院检查“瘤子”没有了。这一路走来,有多少的艰辛与泪水。在这里与大家分享爸爸的治疗过程。起初,拿到病例报告的时候,
2013-11-19 14:31:01
妈妈患肺癌已经有三年了,这三年来一直在接受治疗到现在,下面是妈妈检查以及治疗的过程。2010年10月,妈妈体检出肺癌IV期,纵隔淋巴转移,肝部转移,去省肿瘤医院复查,做了PET-CT,结果一样,省肿瘤
2013-11-19 15:04:43
2011年11月,妈妈被诊断肺癌,我在网上浏览了很多帖子,学到了很多,看到了一批又一批共同奋斗在抗癌战线上的战友。这15个月走下来,越来越体会到抗癌之路的艰辛,今天发个帖子,记录一下妈妈的治疗经过,也






