晚期肝癌进展转移后治疗病历分享

瑞意前行|晚期进展肝癌转危为安病例分享




图片

近年来,肝癌系统治疗进展日新月异,靶向治疗不断取得突破性进展。随着肝癌靶向治疗选择愈加丰富,如何合理地对药物进行排兵布阵,成为肝癌领域热点课题。索拉非尼作为原发性肝癌治疗的一线治疗药物已被临床广泛使用,同时二线瑞戈非尼在原发性肝癌治疗方面的研究也已成为应用热点。本文将分享一例原发性肝癌病例,旨在为临床医生分享诊疗经验。

病例提供者

吕滨 吉林大学第一医院

点评专家

韩玥 中国医学科学院肿瘤医院

朱旭 北京大学肿瘤医院

病例关键词

介入;免疫联合





图片

病历简介

基本信息:患者54岁男性,因上腹部胀痛不适3天于2018-12-11入院。

现病史:患者3天前无明显诱因出现上腹部胀痛不适,就诊于我院门诊查腹部增强CT提示:肝脏占位性病变,为求手术治疗就诊于我科。病程中无恶心、呕吐,无腹胀、无腹泻,精神状态尚可,饮食、睡眠良好,近期体重未见明显增减。

既往史:自述青霉素、链霉素过敏,否认糖尿病史,否认传染病史,否认高血压病史,否认心脏病病史,否认外伤史,否认手术史。

相关检查:血常规检查,白细胞计数4.13×109/L、红细胞计数5.14×109/L、血红蛋白171 g/L、血小板计数146×109/L、中性粒细胞绝对值2.66×109/L、淋巴细胞绝对值1.05×109/L;血生化检查,甲胎蛋白(AFP)2.47 ng/ml、白蛋白48.6 g/l、总蛋白69.9 g/L、谷草转氨酶39.1 U/L,谷丙转氨酶44.7 U/L、总胆红素15.8 μmol/L、直接胆红素4.5 μmol/L、肌酐69.5 μmol/L、凝血酶原时间10.8秒,乙肝标志物HBsAg(+)。

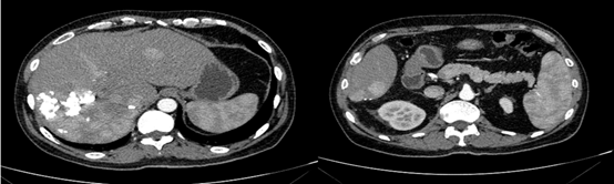
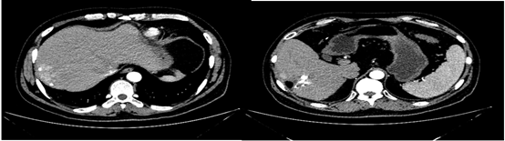
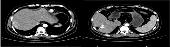
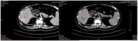
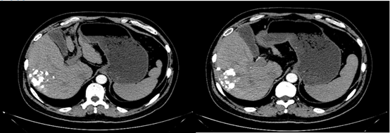
2018-12-11腹部CT检查提示,肝硬化、脾略大、门静脉高压;肝S6占位性病变,考虑原发性肝癌;肝S7段2枚结节;肝多发小囊肿,肝右叶钙化灶;双肾囊肿。

图片

图:腹部CT检查(2018-12-11)


诊断:原发性肝细胞癌Ⅰb期(Child-Pugh A/B)


治疗经过

根据《原发性肝癌诊疗指南》,于2018年12月11日行肝右叶切除术。术后病理示,中-低分化肝细胞癌(T1b期),肿瘤体积3.5 cm×3.2 cm×3 .0cm,胆管、脉管及神经未见癌浸润,肝脏切缘未见癌。

免疫组化示:CD34(+),Ki-67(约+50%),GPC-3(散在+),HepPar-1(散在+), CK19(局灶+)。

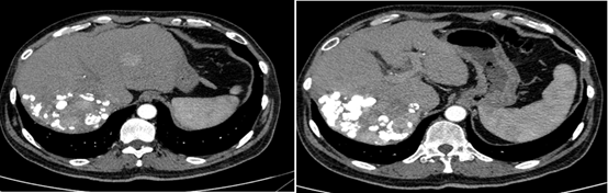
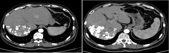
2019年1月17日(术后1个月)入院复查,影像学见疑似复发病灶。                         图片

图:影像学检查(2019-01-17)

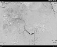
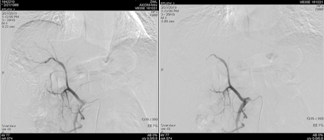
遂予肝动脉化疗栓塞(TACE)治疗,行数字减影血管造影(DSA)可见肝右叶多个结节状肿瘤染色,明确肝左、右动脉分支为肿瘤供血动脉,判定为外科术后复发。

图片

图:第一次TACE治疗

2019年2月21日以碘油5 ml+0.9%氯化钠20 ml+表阿霉素10 mg+雷替曲塞1支稀释后灌注方案行TACE治疗。后复查肝增强CT,未见明显强化,对比2019年1月病灶略缩小,初次TACE治疗达SD。

图片

图:肝增强CT(2019-02-21)

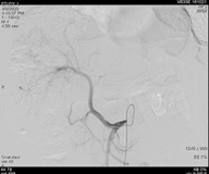
遂继续以碘油4 ml+0.9%氯化钠20 ml+吡柔比星20 mg+雷替曲塞2支方案,行第二次TACE治疗。

图片

图:第二次TACE治疗

为进一步抑制肿瘤进展,经多学科团队(MDT)讨论,予患者我国自主研发的抗血管生成药物联合PD-1单抗进行治疗。2019年8月19日复查,肝增强CT示,肝右叶占位性病变介入术后改变,其内异常强化,考虑肿瘤存活或复发,考虑肝右叶后段原发性肝癌。再次行TACE治疗。

图片

图:肝增强CT(2019-8-19)

图片

图:第三次TACE治疗

于2019年10月10日复查,检查肝增强CT示,肝脏多发占位性病变,考虑原发性肝癌,部分病变为TACE治疗后改变,其内可见肿瘤存活,对比2019年8月17日病变增多增大,碘油沉积增多。再次DSA引导下行TACE治疗。

图片

图:肝增强CT(2019-10-10)

图片

图:第四次TACE治疗

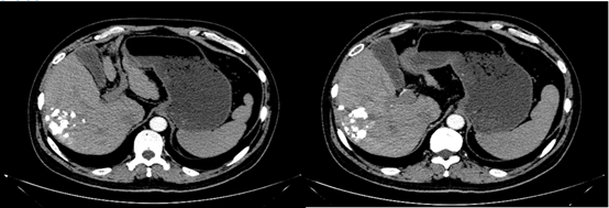
2020年4月8日复查,异常凝血酶原7793.7 ng/ml;肝增强CT提示,肝脏多发占位性病变,考虑原发性肝癌,可见肿瘤存活,对比2019年10月10日病变增多增大。

图片

图:肝增强CT(2020-4-8)

图片图片

图:第五次TACE治疗

2020年5月26日复查,2020年5月27日异常凝血酶原继续上升至8155.5 ng/ml;肝增强CT提示,肝内多发异常强化影。2020年7月7日再行TACE治疗。

图片 

图:肝增强CT(2020-5-26)

图片

图:第六次TACE治疗

基于mRECIST标准,可判定为一线治疗后疾病进展。遂换用瑞戈非尼联合PD-1单抗治疗。2020年7月6日异常凝血酶原降至49.89 ng/ml。2020年9月17日再次复查,肝增强CT提示,肝脏多发占位性病变,病灶内可见肿瘤存活。病情较前稳定,未见显著进展。

图片

图:肝增强CT(2020-9-17)


临床思辨


图片

近年来,系统治疗的突破推动了肝癌治疗进展。免疫治疗给肝癌患者带来了新希望,但免疫单药Ⅰ/II期与Ⅲ期临床试验结果相差较大,免疫单药的疗效仍需探索;免疫联合靶向治疗或成未来发展方向,但还有待更多Ⅲ期临床试验结果,联合治疗可能会增加毒性反应和医疗费用,使临床医生和患者面临巨大挑战。进入新时代,全程管理如何排兵布阵至关重要。

TKI是晚期肝细胞癌(HCC)治疗的中坚力量,经过多年的探索与应用,已成为一、二线标准治疗方案,TKI序贯治疗生存获益至今未被免疫联合治疗超越,索拉非尼序贯瑞戈非尼治疗已得到国内外指南一致推荐。通过该患者诊治也可见,肝癌晚期一线TKI药物进展及时更换瑞戈非尼患者获益更多。

图片




图片

专家点评

图片

图片

总体来讲,诊疗过程很精彩。但患者术后较快复发,多次介入治疗均取得较好疗效,其实期间若增加微波消融、放疗、手术治疗等手段,或有机会进一步提升患者预后。

图片

首先,同意韩教授观点。另外,患者术前评估对手术时机的把握很重要,建议增加核磁检查。后续患者疾病进展后,靶向治疗的选择也有很多讨论、提升的空间,基于各大指南推荐,肝动脉灌注化疗(HAIC)治疗也或为一种不错的选择。

参与评论

更多
图片验证码

评论列表

更多
按投票顺序
这算不算首次外科手术失败造成的?
举报
2022-06-20 11:20:05
有用(0)
回复(1)
爸爸确诊病情已经有11个多月了。一共做了8次大化疗,2次小化疗,以及35次放疗,上月返医院检查“瘤子”没有了。这一路走来,有多少的艰辛与泪水。在这里与大家分享爸爸的治疗过程。起初,拿到病例报告的时候,
Xxiaoxiao
100494 阅读
阅读全文
妈妈患肺癌已经有三年了,这三年来一直在接受治疗到现在,下面是妈妈检查以及治疗的过程。2010年10月,妈妈体检出肺癌IV期,纵隔淋巴转移,肝部转移,去省肿瘤医院复查,做了PET-CT,结果一样,省肿瘤
2011年11月,妈妈被诊断肺癌,我在网上浏览了很多帖子,学到了很多,看到了一批又一批共同奋斗在抗癌战线上的战友。这15个月走下来,越来越体会到抗癌之路的艰辛,今天发个帖子,记录一下妈妈的治疗经过,也
invay
38072 阅读
阅读全文