从ICU昏迷到肿瘤消退,59岁肺癌患者的生命逆转 | 记录妻子九个月的绝地求生之路

编者按:

当生命被肿瘤阴影笼罩,希望该往何处寻找?2025年春天,59岁的鲁阿姨一场突如其来的昏迷,拉开了一场与死神赛跑的生命争夺战。从晚期肺癌伴全身转移,到凭借一颗靶向药重获新生。她的故事,是现代医学精准治疗的生命礼赞,也是一个平凡家庭用爱写下的坚韧诗篇。


本文根据鲁阿姨丈夫罗先生的讲述和南昌大学第一附属医院呼吸与危重症医学科崔健医生的专业解读整理撰写




1

从咳嗽到昏迷:

那些被忽略的身体警报


如果时间能倒流,我多希望我们更早重视那些看似平常的咳嗽与气短。

 

2025年春节刚过,妻子开始持续咳嗽、气喘。她总说胸口发闷,夜里无法平躺,需要垫高枕头才能勉强入睡。我们以为只是换季感冒,在村里诊所打了几针却迟迟不见好转。

 

直到有一天,妻子洗澡时摸到脖子右侧鼓起一个鸡蛋大小的肿块,之后声音越来越哑,最后几乎失声,连喝水、吃饭都变得困难。接着她发起高烧,体温冲到38.6℃,我们才急忙带她去了县医院。

 

医生安排了胸部CT。报告出来的那天,我被单独叫进诊室。医生指着片子说:“您爱人情况很严重,肺部有一个很大的占位,考虑是恶性肿瘤,可能已经转移。


“占位”、“恶性肿瘤”——这几个字像锤子一样砸在我心上。我强作镇定,没敢在她面前表露,只含糊地说“肺部有点感染,得去南昌的大医院再看看”。

 

图源患者本人提供

 

2025年3月3日,我带妻子来到南昌大学第一附属医院。这一天,我终生难忘。就在影像科门口排队等待增强CT时,她坐在椅子上脸色越来越白,嘴唇突然发紫,大口喘气,接着在我眼前昏了过去。医生护士飞奔而来,迅速插管、上呼吸机,将她推进了重症监护室。

 

我瘫坐在ICU门外,整个人都是懵的。早上出门时还好好的一个人,怎么转眼就生命垂危?




2

ICU里的转机:

基因检测与靶向药“破局”


医生告诉我,妻子罹患的是晚期肺癌,肿瘤直径达10公分,压迫心脏与大血管,引发了致命的“上腔静脉阻塞综合征SVCS,这正是她突然昏迷的原因。呼吸与危重症医学科的崔健医生找到我,提出关键一步:立即做基因检测。


崔医生解释:“您爱人目前身体状况较差,很难耐受化疗。但她不吸烟,属于肺腺癌,存在敏感基因突变的概率很高,在70%-80%左右。如果能找到匹配的靶向药,起效会非常快——这是我们眼下最大的希望。”


检测结果很快揭晓:“ALK融合基因阳性”,崔医生称之为“钻石突变”。针对该突变的靶向药,就像一把精准的钥匙,能锁定肿瘤细胞的生长路径,实现高效、低毒的治疗。他建议使用我国自主研发的新一代ALK抑制剂——伊鲁阿克


图源患者本人提供


药,当晚就送到了。妻子那时还插着管,护士碾碎了三颗小药片,通过鼻饲管喂了去。

服药第三天,崔医生告诉我:她的呼吸机参数开始好转,说明肿瘤在缩小!第五天,达到了拔管条件;第七天,她奇迹般脱离危险,转回了普通病房。


当我再次见到清醒的她,眼泪止不住地涌出。她虚弱地对我笑了笑,虽还不能说话,但那个眼神让我知道:我的妻子,真的回来了。




3

重回烟火人间:

肿瘤消退,生活重启


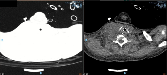
出院后,妻子每天按时口服伊鲁阿克。生活仿佛重回轨道,却又处处不同。最明显的是她身体的变化服药一个月后复查,CT显示肺部肿瘤缩小一大半,颈部的肿块也完全摸不到了。崔医生对着片子连连点头:“效果非常好。”


最近的复查在半个月前,医生告诉我们,妻子已达到部分缓解(PR)”状态,影像上的肿瘤已变得非常小,几乎看不见。


图源:患者本人提供


服药这九个月来,药物也带来一些轻微反应,主要是口腔溃疡和偶尔腹泻,但与生命相比,这些我们都能够坦然面对。如今她生活已完全自理,还能做饭、照顾小孙子。天气好时,我陪她逛菜场、散步。经过这场生死考验,我们一家人更懂珍惜。儿子、儿媳在县城经营着小店,一有空就全家团聚。6岁的孙子更是成天黏着奶奶,放学第一件事就是找她。


这些平凡琐碎的日子,如今过起来,每一刻都踏实而温暖。


►►►

专家点评


崔健 教授:


肺腺癌合并上腔静脉阻塞综合征(SVCS)是临床急危重症,鲁女士的病例极具代表性,也清晰展现了精准医疗如何为危重患者打开生命之门。

 

患者入院时情况极凶险:巨大肺部肿瘤压迫纵隔,引发严重SVCS,导致头颈部水肿、呼吸困难,并迅速进展至昏迷——这是SVCS继发急性脑水肿所致,死亡率很高。面对如此险境,救治必须又快又准。我们第一时间进行气管插管和机械通气,同时脱水降颅压,为后续治疗争取“时间窗”。而治疗的关键,在于迅速明确肿瘤的病理与基因分型。因此在ICU抢救的同时,我们同步完成了穿刺活检。

 

病理很快确认为肺腺癌,基因检测带来关键信息:ALK融合基因阳性,即“钻石突变”。这意味着患者有很大机会对靶向药物产生快速、深度的应答。结合她肿瘤负荷大、一般情况差的特点,我们选择了新一代ALK抑制剂伊鲁阿克进行一线治疗。

 

用药后变化令人振奋:第三天呼吸机参数改善,第五天成功脱机,第七天转回普通病房,上腔静脉压迫症状也迅速缓解。这正体现出“钻石突变”靶向治疗如同一把精准钥匙,能高效抑制肿瘤生长,实现“悬崖边”的救治逆转。

 

这样的疗效并非偶然。伊鲁阿克Ⅲ期INSPIRE研究显示,一线治疗ALK阳性患者的中位无进展生存期(PFS)达45.9个月,意味着患者有望获得近四年的无进展生存。

 

目前患者规范服药9个月,近期复查显示肺部病灶几乎消失,生活质量良好,仅出现过轻微可控的皮疹与腹泻。

 

这个病例生动说明:对于伴有急重症的晚期肺癌患者,将生命支持与快速精准诊断结合,并选用强效、耐受性好的靶向药,是实现病情逆转、走向长生存的核心路径。

 

ALK阳性肺癌的治疗已迈入“追求临床治愈”的新阶段,未来我们将更注重通过动态监测实现治疗精准调控,依据耐药机制制定个体化序贯方案,在高效抑瘤与生活质量之间找到最佳平衡,让这类曾经的“绝症”逐步变为可长期管理的慢性病。




4

结语


回顾这九个月,罗先生说得最多的是“感谢”——感谢医生的精准救治,感谢现代医学的进步,也感谢家人彼此的支撑。如今,他最大的心愿就是妻子能一直稳定下去。春天暖和了,他计划带她去附近景区走走,好好看看这失而复得的人间烟火。



专家简介

崔健 教授

南昌大学第一附属医院 


南昌大学第一附属医院呼吸与危重症医学科副主任医师

2005.9-2010.6南昌大学医学院学士临床医学

2010.9-2011.6参加团中央研究生支教团

2011.9-2014.6南昌大学医学院硕士内科学(呼吸)

2016年8月在南昌大学第一附属医院呼吸科从事医疗工作

江西省整合医学会睡眠医学分会委员

江西省整合医学会呼吸病学分会委员

江西省抗癌协会呼吸介入分会委员



肺癌

相关好文

肺癌5年住院36次,记录妻子如何在换药5次后奔赴长生存

从不可手术到肿瘤大幅缩小!56岁晚期肺癌患者的逆转故事

陪母亲抗癌近6年!从多发转移到肿瘤显著缩小,他是如何做到的?

抗癌3年半,复发转移2次,32岁年轻妈妈终遇“生命转机”奔赴长生存


内容制作

温馨提示:文章来源觅友经验,觅健经授权发布。文中内容仅为觅友个人观点,不同患者选择的治疗方式不同,治疗经历仅作学习交流。

故事及文中图片授权:罗先生

封面图片:摄图网

责任编辑:觅健羊羊羊



参与评论

更多
图片验证码

评论列表

更多
按投票顺序
点赞
举报
2026-01-18 07:34:43
有用(0)
回复(0)
不错不错哈
举报
2026-01-14 06:43:42
有用(0)
回复(0)
点赞
举报
2026-01-13 08:08:43
有用(0)
回复(0)
努力
举报
2026-01-12 07:48:21
有用(0)
回复(0)
真好
举报
2026-01-13 13:54:19
有用(0)
回复(0)
暂无数据