Pd-1对抗晚期肝癌或许奏效
肝癌是我国常见的恶性肿瘤。对于局限性肝癌,手术切除是首选治疗方法。但如果发展为晚期肝癌,虽可选择手术、介入、射频、放疗、粒子植入、冷冻等方法进行治疗,但效果往往不尽如人意。
遗憾的是,很多肝癌患者确诊时就已经是晚期,可用的药物很少。目前FDA唯一批准的靶向药是索拉菲尼,但是客观缓解率并不高,中位生存期为10-11个月。不过,随着肿瘤免疫治疗的兴起,肝癌患者有了新的希望。
2016年9月11号,国际肝癌协会会议公布了BMS的PD-1抗体Opdivo针对晚期肝癌的最新数据:在一个由214名晚期肝癌患者参与的临床试验中,单药使用Opdivo使35名患者的肿瘤缩小至少30%,其中2名患者肿瘤完全消失;111名患者的肿瘤稳定不进展。有效率达16%,疾病控制率(疾病完全缓解 疾病部分缓解 疾病稳定)高达68%。6个月生存率82.5%,9个月生存率70.8%。
可以看出,免疫药物对于晚期肝癌的治疗效果还是非常值得期待的。
下面我们为大家介绍一个令人振奋的案例。一位之前接受过索拉菲尼(多吉美)等标准治疗的晚期肝癌患者,在治疗失败后,尝试使用Keytruda进行治疗,结果发现肿瘤体积和甲胎蛋白都出现激动人心的下降。
患者为75岁的老年男性,因腹部疼痛就诊。既往病史包括高血压、胃食管反流症以及贫血。经检查,在右上腹发现硬块;实验室检查显示全血细胞正常、肾功能正常,但是反映肝功能的两项指标AST、ALT数值中度升高。另外,CT检查显示在肝部左叶发现一个异常肿块,随后在CT引导下进行穿刺,最终确诊为肝癌。
患者接受了手术,切除了肝左叶和胆管。术后三年,恢复良好。但是三年后,患者发现胸骨剑突处又出现肿块, AFP高达2751mcg/L(正常值为10-20 mcg/L),腹部CT发现一个8*6厘米肿块并有其他小的转移灶。
基于AFP升高以及CT结果,考虑患者肝癌复发并转移。随后患者开始接受索拉菲尼的治疗,口服,每次200mg,每天两次,持续一周后改为每次400mg,每天两次。后来,由于出现严重的手足治疗相关副作用,剂量从400mg降至200mg,依然还是一天2次。在5个月的治疗后,AFP从2751mcg/L上升到8877mcg/L,复查CT发现之前的肿块更大了。
在疾病进展、索拉菲尼治疗失败后,患者及家属决定做最后一搏,尝试使用Keytruda进行治疗,剂量为2mg/kg,每3周注射一次。在6个周期后,复查CT结果发现肿块组织从8*6cm缩小到4*1.6cm,AFP从8877mcg/L降至1.7mcg/L. 效果让人非常惊讶,而且患者目前耐受Keytruda治疗,没有出现什么严重的副作用。

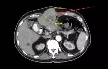
治疗前CT影像

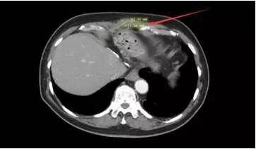
治疗后CT影像
遗憾的是,PD-1还没有在国内上市,如何获得规范有效的治疗仍是摆在患者面前的一个亟待解决的问题。综合药物质量、安全性、价格以及距离等各种因素进行考虑,请选专业医疗机构,有经验的医生会结合患者实际情况为其制定最适合的治疗方案,同时患者可在医生的全程监护下安全用药。
收藏
回复(7)参与评论
评论列表






