【用实例说话】肝癌术后多次进展,放疗联合靶免综合治疗策略带来超11个月PFS
肝癌具有侵袭性强,进展迅速,总体预后差等特点,在综合治疗过程中基于患者对治疗的反应度及时调整方案以实现个体化、精准化治疗,对于改善患者预后至关重要。本期分析的这例肝癌患者术后复发,局部联合靶免治疗进展后,采用放疗联合瑞戈非尼 PD-1抑制剂的综合治疗策略,有效控制病情,目前患者无进展生存时间已超11个月,带来长生存希望。
睢宁县人民医院肿瘤科主任/肿瘤放疗中心主任
江苏省肿瘤防治联盟放射治疗委员会委员
江苏省肿瘤防治联盟肠癌委员会委员 徐州抗癌协会理事
徐州核学会理事 徐州市抗癌协会个体化治疗委员会常委
徐州市医学会肿瘤放射治疗专业常委
徐州市医学会肿瘤化疗和生物治疗委员会常委
徐州医学会免疫治疗分会常委
病例讲课视频
病史简介
现病史:患者为中年女性,因“肝占位”而于2020年7月外院行腹腔镜下肝损切除术及肝动脉栓塞术;术后病理为肝细胞性肝癌(高-中分化),术后第6天行肝动脉栓塞术(具体药物不详)。后出现肝静脉-下腔静脉阻塞,2020年10月至外院再次行肠系膜上动脉造影、腹腔干动脉造影术;一直自服靶向药物仑伐替尼。2020年12月评估为进展,予行TACE治疗一次;2021年3月评估进展后后外院调整用药为仑伐替尼 PD-1抑制剂;2021年6月再次行TACE治疗,后于我院就诊。
既往史:子宫息肉切除术10余年,否认肝炎、乙肝、结核等传染病史;个人史、家族史无特殊异常。
体格检查:体温(T):36.3℃,心率(P):70bpm,呼吸(R):16次/分,血压(BP):117/82mmHg
2020年8月9日辅助检查:血常规、生化大致正常;肿瘤标记物甲胎蛋白(AFP)390.72ng/ml,CA125 221.7U/mL。
2020年7月1日术前CT检查示(图1),肝脏轮廓不整,边缘呈锯齿状改变,肝实质强化不均,肝S4段团块状异常强化,较大截面约51mm×55mm,肝细胞癌(HCC)?
图1.2020年7月1日术前CT
手术 TACE 仑伐替尼 PD-1抑制剂
2020年7月3日行手术治疗。手术病理报告:(肝脏)肝细胞性肝癌(中分化)。
2020年7月21日术后MR检查:下腔静脉肝后端及双肾水平处,左肾静脉、右肝门区扩张静脉、肝内部分侧枝血管内栓子形成(图2)。
图2.2020年7月21日术后MR
2020年8月9日患者复查肿瘤标志物示:AFP 390.72 ng/ml, CA125 221.7U/mL。
2020年8月21日复查MR示(图3),肝癌术后表现,下腔静脉内栓子,右肾静脉可疑异常信号(栓子?)。
图3.2020年8月21日复查MR
2020年10月至外院再次行肠系膜上动脉造影、腹腔干动脉造影术。一直自服靶向药物仑伐替尼。
2020年11月26日复查AFP>2000↑ng/ml, CA125 12.1U/mL。
2020年12月14日再次行TACE治疗。
2021年1月5日复查AFP>2000↑ng/ml,余瘤标正常
2021年2月25日复查AFP 232.68ng/ml,余瘤标正常。
2021年3月18日复查AFP 360.23↑ng/ml,调整用药为仑伐替尼 PD-1抑制剂。
2021年3月23日上腹部MR示:肝CA术后,下腔静脉肝内端狭窄,肝中静脉及肝左静脉未见明确显示(图4)。AFP 228.68ng/ml, 余瘤标正常。
2021年5月2日AFP 265.75ng/ml。
图4.2021年3月23日上腹部MR
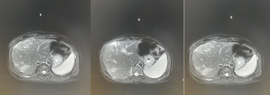
2021年6月18日复查MR示(图5),增强扫描右肝叶病灶无强化,延迟扫描肝右叶弥漫性不均匀强化。肿瘤标志物AFP为338.35ng/ml,较前上升。
图5.2021年6月18日复查MR
2021年6月至外院再次行TACE 1次,继续仑伐替尼 PD-1抑制剂治疗。2021年7月17日复查AFP 190.28ng/ml,CA125 38.2U/mL。
放疗联合瑞戈非尼 PD-1抑制剂治疗
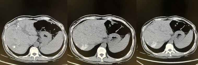
2021年8月复查CT示(图6),肝右叶示直径约3.6cm结节状稍低密度影,中央及周围示斑片、斑点状高密度影,动脉期周围斑片状病灶强化,静脉期及延迟期密度减低。复发转移?
图6.2021年8月复查CT
2021年8月27日我院复查AFP 613.02↑ng/ml,CA125 58.3U/mL,考虑复发。调整用药为“瑞戈非尼 PD-1抑制剂”。
2021年10月27日复查AFP 223.88ng/ml, 余瘤标正常。予以肝局部放疗,预计计量50Gy/25F,放疗11次后,因个人原因停止,行伽马刀治疗。
2021年12月23日、2022年1月4日、2022年3月7日、2022年7月3日复查AFP分别为6.63ng/ml、6.58ng/ml、4.84ng/ml。后因疫情,患者在家自服瑞戈非尼,间断输注PD-1抑制剂。2022年7月外院复查AFP 7.66ng/ml,影像学提示疾病稳定(SD)。
AFP检验结果变化趋势:
治疗经过:
徐州医科大学附属医院肿瘤中心副主任 放疗科主任
博士 二级教授 主任医师 博士生导师
学术职位:
中华医学会放射肿瘤学分会热疗组 委员
中国医师协会放射肿瘤学分会 委员
中国抗癌协会神经肿瘤专委会 委员
江苏省医学会放射肿瘤学分会 副主任委员
江苏省医师协会肿瘤MDT专委会 副主任委员
徐州市医学会/医师协会放射肿瘤学分会 主任委员
科研成果:
主持国自然基金4项,省自然基金1项,省卫计委课题2项, 发表论文70篇,其中SCI论文40余篇;获江苏科学技术奖3项,省医学新技术引进一等奖3项, 注册国际临床研究5项。曾在美国北卡罗来纳大学访问学习。
人才称号:
江苏省“科教强卫”放射肿瘤学创新团队带头人
徐州市肿瘤学医学领军人才
徐医附院肿瘤学科学术带头人
病例点评视频
肝癌是我国常见恶性肿瘤之一,发病率和死亡率分别位居第五位和第二位[1],疾病负担严重。肝癌通常起病隐匿,早期诊断困难,侵袭性较强,进展迅速,总体预后较差;因此,基于多学科的综合治疗模式在肝癌诊疗中即显得尤为重要。张磊教授团队提供的这例肝癌病例,充分体现了肝癌综合治疗中通过及时方案调整实现个体化、精准化、与时俱进联合策略的应用,最终为患者带来良好疗效与预后生存期望。
该患者早期病灶虽大于5cm,但并无肝外或脉管受侵等情况,因此行手术切除;术后病理显示为高中分化肝癌。但术后患者很快出现了肝内脉管瘤栓,行TACE治疗;每次TACE治疗后患者症状均有所缓解,但缓解持续时间较短,体现了肝癌高复发性的特点;尽管结合了靶免系统治疗,但AFP反复反弹。2021年8月复查发现肝内病灶,提示复发转移。因此,将靶向治疗药物替换为瑞戈非尼的同时,联合局部放疗,病灶控制良好。目前该患者的无进展生存时间已超11个月,体现了综合治疗的重要性。
基于该病例个人有以下几点体会。第一,肝癌早诊早治仍是未来的努力方向,且任重道远。第二,针对已失去手术机会的中晚期肝癌患者,综合治疗手段的应用显得尤为重要;而综合治疗过程中应基于患者对治疗的反应度及时调整方案。目前抗血管生成治疗和免疫治疗已成为肝癌系统治疗的主流,但终究会发生耐药。而放疗等局部治疗与靶免治疗的联合有望通过协同增效,进一步提高疗效,这也能够充分体现临床医生对于各种治疗手段充分运用的把握度。第三,针对局部晚期甚至是转移性实体瘤患者,苏州大学附属第二医院张力元教授牵头开展的“布拉格”研究中[2,3],采用大分割放疗联合免疫治疗和粒细胞-巨噬细胞刺激因子(GM-CSF),获得了非常好的治疗效果,这为晚期肿瘤治疗带来了很好的借鉴。
目前肝癌靶向和免疫治疗已经开展得如火如荼,但仍存在优势人群筛选、整体疗效有限等瓶颈问题,未来需要进行新的治疗手段探索,如CAR-T治疗实体瘤、新靶点的开发与应用等,以期为肝癌患者带来福音。
[1]刘宗超,李哲轩,张阳,等.2020全球癌症统计报告解读[J].肿瘤综合治疗电子杂志,2021,7(2):1-13.
[2] Kong Y, Zhao X, Zou L, et al. PD-1 inhibitor combined with radiotherapy and GM-CSF as salvage therapy in patients with chemotherapy-refractory metastatic solid tumors[J]. Journal of Clinical Oncology. 2020, 38(15_suppl):e15173-e15173.
[3] Kong Y, Zhao X, Xu M, et al. PD-1 Inhibitor Combined With Radiotherapy and GM-CSF (PRaG) in Patients With Metastatic Solid Tumors: An Open-Label Phase II Study. Front Immunol. 2022;13:952066.
收藏
回复(0)参与评论
评论列表






