【用实例说话】Ⅱb期肝细胞癌患者一线治疗进展,二线瑞戈非尼联合PD-1抑制剂治疗带来8个月PFS
近年来,晚期肝癌治疗新药物、新方案不断增多,为肝癌患者带来了更多治疗选择与生机。而良好的肝功能与患者的生存获益息息相关,因此在制定临床治疗决策时,肝癌患者的肝功能状态与肝功能保护也愈发受到关注。本次分享的这例Ⅱb期肝癌患者,在肝硬化程度较重、肝功能储备较差的情况下,一线介入联合仑伐替尼治疗进展后,二线采用瑞戈非尼联合PD-1抑制剂治疗,获得了近8个月的无进展生存(PFS),为患者带来良好生存获益。
潍坊市介入医学会委员 副主任医师
山东省抗癌协会肿瘤介入分会委员
山东医师协会综合介入医师分会委员
中国抗癌协会肿瘤微创治疗专业委员会肺癌微创综合治疗分会委员
病例讲课视频
患者一般情况
患者既往病史:男,53岁,查体发现肝内多发占位1天于2020年6月入院;无乙肝,有饮酒史。
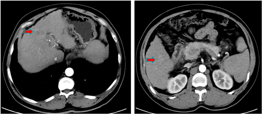
术前CT示,肝内可见多发肿块,符合肝细胞癌CT表现;术前MRI示,DWI信号明显增浓(图1)。
图1.2020年6月入院前CT和MRI
2021年6月19日术前甲胎蛋白(AFP)和肝功:胆碱酯酶3810U/L,白蛋白29.3g/L,总胆红素35.88μmol/L,前白蛋白72.2mg/L,AFP 4317ng/ml。
一线治疗——介入联合仑伐替尼治疗
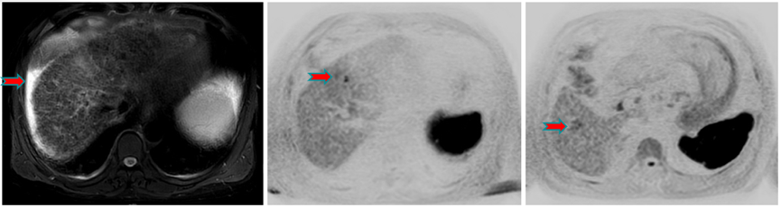
患者系原发性肝癌,肝硬化多年,中国肝癌分期(CNLC)Ⅱb期,2020年6月行经导管肝动脉化疗栓塞(TACE)治疗,术中行肝动脉造影示肿瘤供血不丰富,给予碘化油及明胶海绵栓塞,术后碘油沉积欠佳,术后给予仑伐替尼8mg qd靶向抗肿瘤治疗。术后1个月MRI显示,DWI信号明显增浓;术后2个月、3个月和4个月复查MRI,DWI信号明显增浓,肿瘤一直存在,较前变化不显著(图2)。
图2.介入术后1个月、2个月、3个月和4个月复查MRI
介入术后2个月,2020年8月12日至2020年8月27日肝功:胆碱酯酶由3213U/L下降至1942U/L;前白蛋白由83.8mg/L下降至39.1mg/L;白蛋白由31.2g/L下降至28.8g/L;总胆红素由51.66μmol/L下降至38.22μmol/L。患者出现肝功能失代偿,给予积极保肝对症处理,期间患者仍然口服仑伐替尼至2020年11月。
二线治疗——瑞戈非尼联合PD-1抑制剂治疗
介入术后5个月,2020年11月25日AFP为7922ng/ml。患者肝功能失代偿加重,停止服用仑伐替尼,并给予积极保肝治疗。为控制病情进展,于2020年11月给予口服瑞戈非尼(80mg qd) 卡瑞利珠单抗(200mg q3w)治疗。
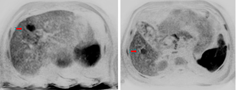
应用瑞戈非尼1个月,MRI示,DWI信号明显增浓,肿块缩小;应用瑞戈非尼2个月,MRI示,DWI信号变淡,基本消失,肿块缩小(图3)。
图3.应用瑞戈非尼联合PD-1抑制剂治疗1个月和2个月复查MRI
2021年2月28日AFP大幅下降至51.952ng/ml。2021年3月31日肝功:胆碱酯酶下降至1960U/L,白蛋白下降至29.7g/L,总胆红素58.39μmol/L,前白蛋白下降至62.1mg/L;2021年4月12日胆碱酯酶下降至1875U/L,白蛋白下降至26.3g/L,总胆红素升高至63.56μmol/L,前白蛋白下降至36.1mg/L。
患者肝功能失代偿,出现肝性脑病,积极保肝对症处理,2021年4月停止服用瑞戈非尼,单药卡瑞利珠单抗(200mg q3w)治疗。
2021年5月复查MRI,发现一个新发病灶,DWI信号增浓(图4)。AFP上升至119.17ng/ml。
图4.2021年5月复查MRI
2021年5月22日肝功:胆碱酯酶2125U/L,白蛋白20.4g/L,总胆红素26.1μmol/L,前白蛋白59.9mg/L。
患者肝功能好转,但AFP升高,为控制病情进展,再次服用瑞戈非尼(80mg qd)。
2021年6月复查MRI示,DWI信号明显变淡(图5)。
图5.2021年6月复查MRI
2021年6月3日肝功:胆碱酯酶1339U/L,白蛋白28.1g/L,总胆红素58.69μmol/L,前白蛋白56.9mg/L。2021年7月AFP明显下降至11.65ng/ml。
治疗过程中AFP变化:
治疗过程中肝储备功能变化:
治疗经过:
结局:患者于2021年8月出现昏迷,考虑出现肝性脑病、肝衰竭,临床死亡。
主任医师,医学博士,硕士研究生导师
青岛大学附属医院介入医学中心主任
国家卫健委能力建设和继续教育介入医学专委会委员
中国医师协会介入分会委员
中国抗癌协会肿瘤介入专业委员会委员
山东省医学会放射学分会介入学组委员
山东省医师协会血管介入专业委员会副主任委员
山东省医师协会消化病介入专业委员会副主任委员
青岛医学会介入诊疗专业委员会主任委员
病例点评视频
这是一例CNLC分期Ⅱb期的肝癌患者,经局部联合系统的综合治疗策略,为患者带来了良好的生存获益。该病例一线采用TACE联合仑伐替尼治疗2个月后,患者出现肝功能失代偿;继续仑伐替尼治疗至5个月,AFP显著升高,肝功能失代偿加重,二线换用瑞戈非尼联合卡瑞利珠单抗方案治疗。目前,瑞戈非尼在中国临床肿瘤学会(CSCO)肝癌诊疗指南[1]中以1A 类证据列为I级推荐,在NCCN肝胆肿瘤临床实践指南中亦是1类推荐[2]。启用该联合方案3个月后,患者病情得到控制,AFP由7922ng/ml大幅下降至51.95ng/ml,但患者再次肝功能失代偿;停用瑞戈非尼后AFP升高至119.17ng/ml,为控制疾病进展继续瑞戈非尼联合卡瑞利珠单抗治疗后,又一次出现肝功能失代偿,但AFP下降至11.65ng/ml。事实上,我们看到一线治疗时,患者的肝功能储备即比较差,二线治疗后,尽管转氨酶相对正常,胆红素轻度升高,但胆碱酯酶持续下降。最终患者在应用瑞戈非尼联合PD-1抑制剂治疗约8个月后,于2021年8月出现昏迷,临床诊断肝衰竭,临床死亡。
回顾该病例的诊疗流程,总体而言是较为合理的。对于该例肝硬化程度较重,肝功能储备较差的患者,尽管应用了保肝利胆的药物,但患者仍然出现了肝功的持续恶化,这也带给了我们一些思考。临床治疗中,我们如何在应用抗肿瘤药物的同时保护患者的肝功能呢?2022版肝癌巴塞罗那(BCLC)指南[3]强调了关注保护患者肝功能的问题。对于这类肝功能较差的患者,建议先保肝,至肝功能储备较好的情况下再行靶免联合治疗,这也是非常重要的。因此,我们对于肝癌的治疗,除了基于影像学评估患者病情,还应及时评估患者的肝功能状态和体能状态,若肝功能评分和体能状态评分均不高的情况下,应慎重选择治疗药物。总言之,保护和关注肝功能对于肝癌治疗而言非常重要,希望大家在临床治疗中足够重视,以期为患者带来更多生存获益。
[1]中国临床肿瘤学会(CSCO)原发性肝癌诊疗指南(2020版).
[2]NCCN Guidelines. Hepatobiliary Cancers, Version 4.2021.
[3]Reig M, Forner A, Rimola J, et al. BCLC strategy for prognosis prediction and treatment recommendation: The 2022 update. J Hepatol. 2022;76(3):681-693.
排版编辑:H.K
收藏
回复(1)参与评论
评论列表






