【用实例说话】巨块型肝癌伴门脉癌栓,二线瑞戈非尼联合方案打破耐药添良策
综合治疗是晚期肝癌合并门静脉癌栓(PVTT)的主要治疗模式。随着肝癌治疗药物和手段的日渐丰富,全程管理理念与联合治疗策略为更多晚期肝癌患者带来更大生存获益。本期分享的这例巨块型肝癌合并门静脉癌栓的患者,一线经肝动脉化疗栓塞(TACE) 肝动脉灌注化疗(HAIC) 替雷利珠单抗 仑伐替尼治疗进展后,二线将靶向药物更换为瑞戈非尼治疗2程即达部分缓解(PR),目前仍采用瑞戈非尼 PD-1抑制剂治疗,患者持续缓解受益中。
中山大学肿瘤防治中心肝脏外科 医学博士 主治医师
主要从事肝脏各类原发肿瘤及肝转移肿瘤的临床及科研工作,掌握肝癌开腹手术及腹腔镜手术、消融治疗、血管介入治疗、灌注化疗等治疗手段。
以第一/共一作者身份在Clinical Gastroenterology and Hepatology,Alimentary Pharmacology and Therapeutics,Journal of Experimental and Clinical Cancer Research,Liver International、Cancer Communications等杂志发表文章
参编专著:
《超声引导下肝脏外科手术图解》
《肿瘤真相-肿瘤360》
广东省抗癌协会肝癌专业委员会青年委员
广东省抗癌协会大肠癌专业委员会青年委员。
2019年CSCO 扬(young)帆远航.大中华区结直肠癌MDT比赛总冠军
2019年 “35 under 35”35位35岁以下最具潜力优秀青年肿瘤医师奖
病例讲课视频
患者一般情况
患者男,57岁。2021年8月23日因“右上腹疼痛10余天,发现肝占位性病变2天”入院。
既往史:慢性乙型病毒性肝炎30余年,未行抗病毒治疗。
肿瘤标志物:甲胎蛋白(AFP)23175 ng/ml, 异常凝血酶原(PIVKA-Ⅱ)>30000 mAU/ml,CA19-9 190.6 U/ml,癌胚抗原(CEA)3.64 ng/ml。
白细胞:10.46 10E9/L,血红蛋白:190g/L,血小板:395 10E9/L。
白蛋白45.0g/L,谷丙转氨酶(ALT)31.5U/L,谷草转氨酶(AST)93.2U/L,总胆红素17.3umol/L。
凝血功能:PT 11.8s。
乙型病毒性肝炎标志物:HBsAg( )、抗-HBs (-)、HBeAg(-)、抗-HBe(-)、HBcAb( )。乙型肝炎DNA:3.28 10E1IU/mL。
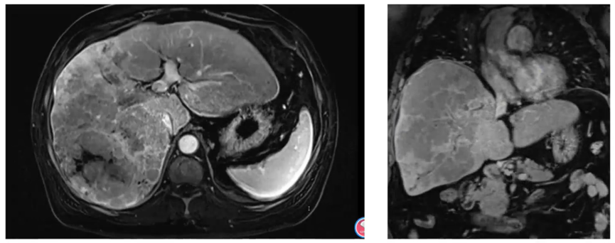
影像资料:2021年8月26日MR示,巨块型肝细胞癌伴多发肝内转移;门静脉右支主干及分支广泛癌栓,累及至门静脉左支主干;肝右、中静脉受侵(图1)。
图1. 2021年8月26日MR
诊断:肝细胞肝癌Ⅲa期。慢性乙型病毒性肝炎,体力评分:ECOG 0分;肝功能储备:Child-pugh 5分,A级。
一线治疗——TACE-HAIC 替雷利珠单抗 仑伐替尼
给予TACE(表阿霉素50mg,碘油) HAIC(FOLFOX4) 免疫治疗(替雷利珠单抗200mg ivdrip) 靶向治疗(仑伐替尼8mg/天)姑息治疗方案。患者于2021年8月26日和2021年9月28日行2程四联方案。
患者第1程治疗时术中肝动脉造影显示,肿瘤主要位于右半肝,血供丰富,左肝有多枚子灶(图2)。
图2. 第1程治疗时术中肝动脉造影
2程治疗后疗效评估,2021年10月27日MR显示,右肝肿瘤较前轻度缩小,从治疗前的191mm退缩到了164mm,但患者左肝转移病灶较前增大增多;且AFP上升至33316ng/ml,PIVKA-Ⅱ>30000mAU/ml。疗效评估疾病进展(PD)(图3)。
图3. 2021年10月27日MR及肿瘤标志物变化
二线治疗——TACE-HAIC 替雷利珠单抗 瑞戈非尼
介入治疗在碘油和表阿霉素基础之上加用空白微球进行栓塞,系统治疗药物中的仑伐替尼更换为瑞戈非尼(120mg qd po)。分别于2021年11月9日和2021年12月9日再行2程四联方案。
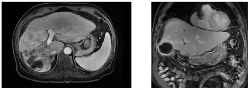
2021年12月30日MR示,左肝肿瘤较前明显缩小为71mm,肝内转移较前缩小,癌栓较前缩小。
图4. 2021年12月30日MR与既往MR比较
治疗前及治疗4程后的肝动脉造影显示,右肝肿瘤血供较前减少,且范围缩小。但在S4段仍存子灶血供。因此在此程治疗中针对该子灶进行了单独的栓塞化疗。肿瘤标志物显著下降,疗效评价PR(mRECIST)。
图5. 治疗前与4程治疗后肝动脉造影
患者体能状态好。不良反应:2级手足皮肤反应,停药后缓解;因不良反应,瑞戈非尼减量至80mg qd。
2022年1月6日,患者行第5程四联方案,后采用瑞戈非尼80mg qd PD-1抑制剂维持治疗。
2022年1月28日腹部MR提示,肝右叶肿瘤出现较明显的缺血坏死和缩小,肝右叶转移病灶同样较前明显缩小(图6)。肿瘤标志物AFP(-)(图7);疗效评价PR(mRECIST)。患者体能状态好;瑞戈非尼减量至80mg qd 后不良反应缓解。
后续治疗:停介入治疗,继续PD-1抑制剂 瑞戈非尼治疗。
图6. 2022年1月28日腹部MR
图7. 5程治疗后肿瘤标志物变化
中山大学附属肿瘤医院肝脏外科副主任、主任医师、博士生导师
广东省抗癌协会肝癌专业委员会委员
广东省抗癌协会肝癌专业委员会青委会常委
广东省抗癌协会大肠癌专业委员会委员
广东省临床医学学会肝癌与肝转移瘤专业委员会副主任委员
广东省临床医学学会肿瘤学专业委员会常委
广东省医学会外科学分会 委员
广东省杰出青年医学人才(第一批)
美国MD Anderson癌症中心访问学者
病例点评视频
这是一例经一线综合治疗后进展,更换二线靶向药物瑞戈非尼治疗后获得PR的晚期肝癌患者。该患者入院初诊为右肝巨块型肝癌,合并有肝内多发转移,门静脉右支主干和分支广泛癌栓,同时累及门静脉的左支主干,且肝中、肝右静脉均受侵;临床诊断为肝细胞肝癌Ⅲa期,巴塞罗那分期(BCLC)C期。考虑到该患者肿瘤分期较晚,我们一线给予TACE HAIC 靶向(仑伐替尼) 免疫(替雷利珠单抗)的四联治疗方案。经两程治疗后,右肝肿瘤从治疗前的19cm缩小至16cm;但左肝肝内转移灶较前增大增多,考虑疾病出现进展。
根据患者实际情况,二线治疗继续采用TACE HAIC 靶向 免疫治疗方案,但将靶向药物更换瑞戈非尼。瑞戈非尼是肝癌一线治疗进展后国内外指南一致推荐的二线标准治疗药物[1-3],作用靶点丰富,广泛作用于VEGFR(1~3)、TIE2、PDGFR(-α,-β)、FGFR(1~2)、KIT、RAF、RET及CSF-1R[4],具有抗血管生成、抗肿瘤细胞增殖、抗肿瘤转移和抗免疫抑制作用。在继续治疗4个疗程后,肝右叶肿瘤缩小至7cm,肝内转移灶也较前缩小;更令人振奋的是,门静脉癌栓也较前退缩,肿瘤标志物大幅下降,疗效评价为PR;且在治疗过程中,患者的体能状态良好,没有太多不良反应。经5程治疗后,患者后续继续采用瑞戈非尼联合PD-1抑制剂的靶免治疗,至今患者病情控制良好。
该例患者在一线治疗进展后及时更换为瑞戈非尼靶向治疗,抑制可能因Cross Talk导致的EGFR或下游RAF通路的激活[5-7],从而有效打破了耐药导致的治疗困局,获得了良好的疗效。该例晚期肝癌患者经综合治疗策略,目前疾病控制稳定,且生存情况良好。纵观该患者的治疗全程,采用局部和全身治疗联合的多种手段,充分体现了肝癌多学科综合诊疗的理念;而综合治疗模式也助力肝癌患者活得更长,活得更好。
[1]中华人民共和国国家卫生健康委员会. 原发性肝癌诊疗指南(2021 年版).
[2]中国临床肿瘤学会(CSCO)原发性肝癌诊疗指南(2020版).
[3]NCCN Guidelines. Hepatobiliary Cancers, Version 4.2021.
[4]Stivarga (regorafenib) Full Prescribing Information, Bayer HealthCare Pharmaceuticals, Whippany, NJ, 2018.
[5]Jin H, Shi Y, Lv Y, et al. EGFR activation limits the response of liver cancer to lenvatinib. Nature. 2021;595(7869):730-734.
[6]Martorana A, La Monica G, Lauria A. Quinoline-Based Molecules Targeting c-Met, EGF, and VEGF Receptors and the Proteins Involved in Related Carcinogenic Pathways. Molecules. 2020;25(18):4279.
[7]Liu YC, Tsai JJ, Weng YS, Hsu FT. Regorafenib suppresses epidermal growth factor receptor signaling-modulated progression of colorectal cancer. Biomed Pharmacother. 2020;128:110319.
排版编辑:H.K
收藏
回复(0)参与评论
评论列表






