首页
圈子
互助
医生
药品
专栏
资讯
话题
健康小屋
APP下载
登录
注册
消息
系统消息
评论
新粉丝
首页
圈子
系统性红斑狼疮
帖子详情
求助 结节不规则 很硬 活动性差 但是在瑞金和华山做b超判定三类
wx_7390743615
来源:
觅健
2021-04-24 19:35:40
236阅读
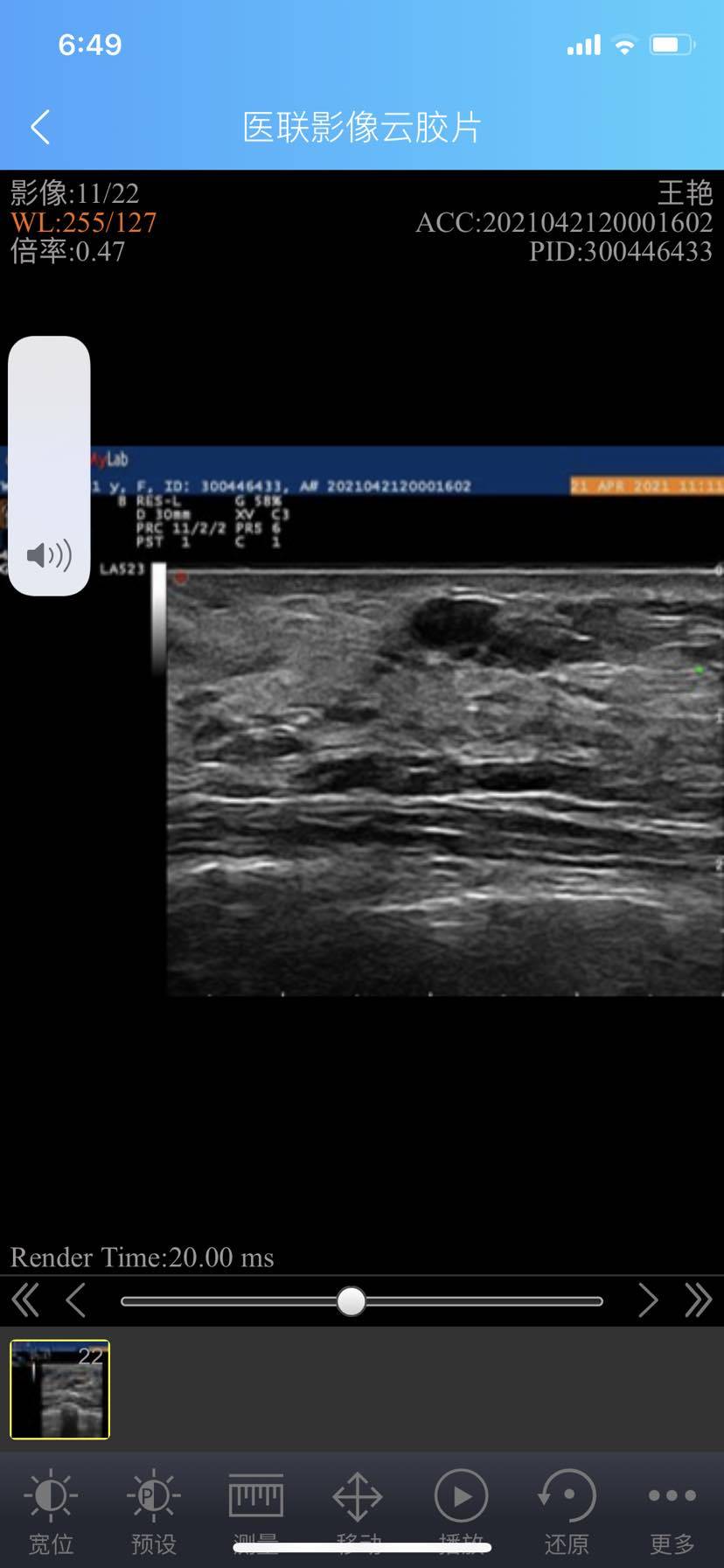
有没有人可以帮忙看看 我的结节很不规则形状 很硬
抱抱
有用
收藏
回复(0)
举报
上一篇:
#抗癌日记#参加读书活动
下一篇:
#战狼日记#之 午餐不重样(手工大馒头)
参与评论
更多
按投票顺序
时间顺序
按投票顺序
发布
评论列表
更多
按投票顺序
时间顺序
按投票顺序
相关推荐
热点推荐
暂无数据
热门帖子
1
【2025觅健之星】提名开始啦!快来评论区留下你心中的那个名字吧!
2
雨过天晴,云开雾散~
3
觅友专属·一月轻养生日历
4
狼疮患者不用愁!她终于可以用上SLE好药了……
5
神门穴
6
记录近三个月的一些事
7
看看你家灶台的油用对了吗?
8
全身痒起疹子
病友圈
肺癌圈子
去看看
肠癌圈子
去看看
肝癌圈子
去看看
乳腺癌圈子
去看看
淋巴瘤圈子
去看看
卵巢癌圈子
去看看
今日推荐
1
Day364
2
坚持
3
发愿-今年完成50小时教练时长
4
想唱就唱
5
准备换岗位了
6
这四样才是你一生的底牌
7
第一次8201后体感记录Day6&7,过半衰期啦
8
完全停药半年
推荐关注
石头
关注
橙子1731
关注
自由的烤红薯
关注
花花.
关注