粒子线治疗可减少对正常组织的照射,保留肝功能

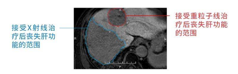
这张图片是一位患有两次肝细胞癌患者的肝脏核磁共振图,该患者接受了两种放射治疗:重粒子线治疗和X线放射治疗。红线代表接受重粒子线治疗后丧失肝功能的范围,蓝线代表接受X线放射治疗后丧失肝功能的范围。
为了让更多的X射线照射癌组织,需要从多个方向分散照射。而X射线能够穿透人体,因此,X射线经过的大面积区域都会被影响,受到损伤。另外,从这张图片中可以看出,重粒子治疗的照射范围比X射线治疗的照射范围窄小。
具有布拉格尖峰的粒子线治疗,在经过布拉格尖峰后对细胞的影响大大降低,所以粒子线治疗对正常组织的损伤较小。由此可见,粒子线治疗的优点是,在布拉格尖峰以外的部分对正常组织的影响小于X线放射治疗。
关于治疗费用、主要风险和副作用等相关事项,请参考下方的“粒子线治疗的注意事项”。
有任何关于日本治疗及粒子治疗方面的内容可以在文章下留言或私信小编哦~
收藏
回复(1)举报
参与评论
评论列表
按投票顺序
👍👍👍
举报
2021-02-07 19:09:49 有用(0)
回复(0)
相关推荐
热点推荐
2013-11-19 14:23:04
爸爸确诊病情已经有11个多月了。一共做了8次大化疗,2次小化疗,以及35次放疗,上月返医院检查“瘤子”没有了。这一路走来,有多少的艰辛与泪水。在这里与大家分享爸爸的治疗过程。起初,拿到病例报告的时候,
2013-11-19 14:31:01
妈妈患肺癌已经有三年了,这三年来一直在接受治疗到现在,下面是妈妈检查以及治疗的过程。2010年10月,妈妈体检出肺癌IV期,纵隔淋巴转移,肝部转移,去省肿瘤医院复查,做了PET-CT,结果一样,省肿瘤
2013-11-19 15:04:43
2011年11月,妈妈被诊断肺癌,我在网上浏览了很多帖子,学到了很多,看到了一批又一批共同奋斗在抗癌战线上的战友。这15个月走下来,越来越体会到抗癌之路的艰辛,今天发个帖子,记录一下妈妈的治疗经过,也






