转帖分享:23岁女孩癌细胞全身扩散,一年抗癌出奇迹
网上看到的患者故事,跟大家作分享,希望这个积极的故事能够给一些身处疾病中的人带去正能量。

01
受凉后到医院就诊,检查结果让人绝望。
今年25岁的小周,已经是有近两年多抗癌经历的癌症患者,而故事的开始,要从去年说起。2018年7月份,23岁的小周在受凉后出现了阵发性的咳嗽,以干咳为主,夜间为甚,偶有白色泡沫痰,于是便到我们市里面最好的医院就诊,胸部CT检查提示:双肺继发型肺结核并血型播散型肺结核可能;然而在经过一段时间的治疗后,小周的病情并没有得到明显的好转,于是,他们便转去了华西医院进行治疗,在华西医院,查胸水脱落细胞学检查提示:查见异型细胞,疑为腺癌细胞,结合免疫组化,查见腺癌细胞,倾向于肺来源。小周马上进行了PET—CT检查,检查结果令人痛心,提示:颈胸腹部淋巴结、双肺、右侧胸膜及全身多处骨骼糖代谢增高,多系恶性肿瘤,考虑肺癌伴其余部位转移可能性大。
这个结果一出来,犹如晴天霹雳,小周以及小周的父母无论如何都不敢相信晚期肺癌怎么就出现在了年仅23岁的小周身上。然而在几经求证后,医生给到的答案都是肺癌伴全身多发转移。这一刻,小周和家人陷入了绝望。

02
绝望过后,全家积极抗癌获奇迹。
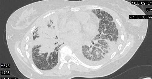
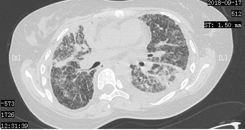
在经历了短暂的绝望后,小周一家决定齐心协力,积极进行抗癌治疗。2018年9月7日,小周进行了胸腔穿刺抽液,同时进行了胸腔灌注化疗。2018年9月14日,小周来到了我们医院进行治疗,复查了胸部CT,当时的胸部CT显示肺部一般情况非常差。

2018-9-17日CT

2018-9-17日CT
我院肿瘤科医生根据小周的一般情况,也马上下了病危,提醒小周家属,随时可能出现去世的可能。在小周父母很伤心的时候,反而是小周心态积极,安慰父母:我们就积极治疗吧,能够到哪一天就到哪一天吧。同时,根据小周的病情状况,肿瘤科医生也马上制定了治疗方案,给予了小周化疗以及靶向治疗,通过调整靶向药物,小周从2018年9月23日开始口服某靶向药物治疗。经过治疗,小周的一般情况居然逐渐好转起来,同时也顺利出院回家进行调养,到2019年4月12日,小周又再次在我院复查了CT,我们惊喜地发现,她双肺的病灶明显减少,甚至几乎看不到了。

2019-4-12日CT:双肺病灶基本吸收
小周和她的家人非常高兴,同时也更加积极的配合医生进行治疗,加上小周平时也按时、适量的锻炼,逐渐的,小周发现自己的食欲也好起来了,抵抗力也增强了,到9月份再次复查的时候,我们发现小周的肺部情况非常好,同时全身骨转移灶也减少了。

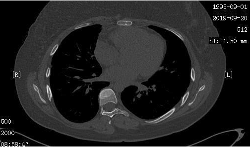
2019-9-20日CT

2019-9-20日CT骨窗:骨转移灶减少
03
她的故事,带给很多人希望。
现在的小周,积极、乐观、努力,每一天都过得充实而满足,脸上充满了笑容,给每个人很强的感染力,成为了我们医院的抗癌红人。很多患者也都知道了她的抗癌故事,也激励着很多的癌症患者,越来越多的晚期癌症患者,开始积极配合医生进行科学有效的治疗,同时心态乐观,不再惧怕死亡,即便最后没有取得像小周这样的治疗效果,但是也在生命的最后一段旅程中,得到了积极的反馈,过好了每一天,改善了生活质量。

我们知道,像小周这样的情况,不可能每个癌症晚期的患者都复制成功,取得同样的治疗效果;但她给我们带来的是希望与曙光,我们人类在某些癌症面前虽然显得很渺小,无能为力,但是如果有一丝的信念、一丝的希望给我们支撑,或许,下一个奇迹就会接着到来,越来越多的奇迹也会到来;而且我们也要相信,随着医学技术的不断发展,越来越多的癌症晚期患者可以获得更加长的生存期,获得更加好的生活质量。
我们也知道,小周身上依然有着癌细胞,但是这并不影响她现在活得轻松、自在、幸福指数高。就像我们都知道我们终究会老去、终究会在某一天离开这个世界,但我们并不惧怕它的到来,因为只要我们在当下的生活里,过的积极、舒服、愉快,过成了自己想要的生活就行了。而对于癌症,我们更是需要用积极乐观的心态来对待它。

希望小周的故事,能给茫茫网络中也同样处于抗癌一线的患者,带来一点点的希望和曙光;给我们每一个普通的人带来力量和信念。愿我们每一个人,都能像小周那样,无乱遇到何种困难,都积极乐观的面对生活,带着信念,过好我们当下每一天的生活。
收藏
回复(8)参与评论
评论列表






