急性肠系膜缺血快速再通新技术—妙用人造血管
急性肠系膜缺血快速再通新技术—妙用人造血管
近日,来自 Chaim Sheba 医学中心的 Silverberg 教授等在 Journal of Vascular Surgery 杂志上发表了一篇关于急性肠系膜缺血快速再通的病例报道。现在报道如下。
患者,男,60 岁,因弥漫性腹痛就诊,曾患有慢性肠系膜缺血和主动脉闭塞。入院时,患者有低血压和酸中毒。
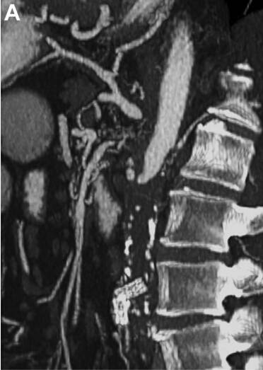
CT 血管造影显示:股动脉至下腹主动脉整段闭塞,腹腔干和肠系膜下动脉闭塞(曾置入支架),肠系膜上动脉(SMA)严重狭窄(图 A)。
图 A. CT 血管造影
之后行剖腹探查术,术中切除三段坏疽性小肠。其余小肠虽有缺血表现,但无切除指征。试行血管内肠系膜上动脉再通失败。
由于患者血流动力学指标以及代谢均有紊乱,本文作者试行联合多种方式再通血管。
在 X 线透视下,对主动脉存有血栓段给予刺破。植入导丝和导管至胸主动脉,在确定到达位置后,置入 14F 剥离鞘。导入一 6 mm 混合型人工血管(加强部为 10 cm 含有镍钛合金,血管为 50 cm 无镍钛合金)。
除鞘,如图 B 所示,镍钛合金部在主动脉部穿出并固定。在 6 mm 人工血管处套一 8 mm 的环形聚四氟乙烯血管,以防止扭结,将此吻合到肠系膜上动脉。
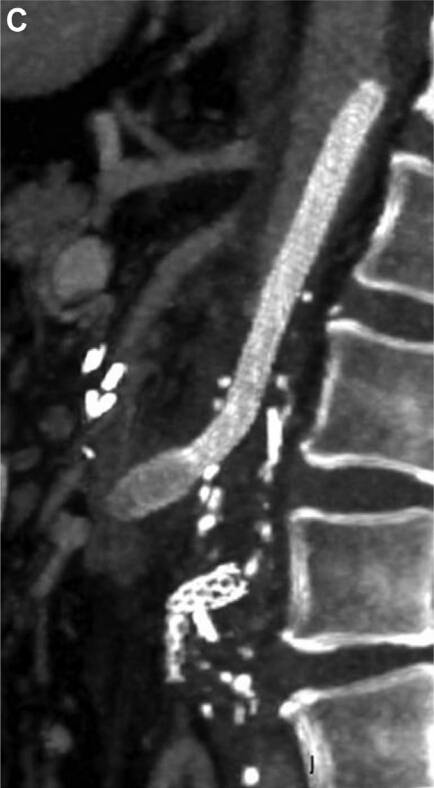
术后 CT 显示置入的血管清晰可见,且肠系膜上动脉充盈(图 C 和 D)。


图 C、D. 术后 CT 显示置入的血管清晰可见,且肠系膜上动脉充盈
此患者来诊时,可诊断为急性肠系膜缺血,且伴有血流动力学以及代谢异常。急救期,一般应对患者施行紧急血管成形术,但这项手术花费时间较长,且死亡率高达 52%。顺行施行内脏血管腔内血管重建术是可以替代血管成形术的一种方案,但是对于一些病例来说,并不能达到血管再通的目的。
上述所诉方法,以联合的方式取得理想的治疗效果。此方法的优势在于能够使得肠管的血运快速恢复,不会涉及到肠系膜上动脉结扎、再通等问题,且不会阻断主动脉。
(此文转自丁香园)
收藏
回复(0)参与评论
评论列表








