如何判断肺部小结节是良性还是恶性,这几点征象能够帮助判断

随着体检的普及,越来越多的单位体检已弃用普通的X片,而是行低剂量螺旋CT检查肺部。于是大量的肺小结节病人出现,很多人内心惶恐,一看到肺部结节立马联想到肺癌。其实肺结节绝大多数是良性的。在检出的肺结节中,良性肿瘤占30-90%不等,原发肿瘤约占35%,转移瘤约占5-10%。

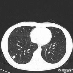
肺结节通俗的讲就是CT上黑色的肺里有小白点。直径大于3cm一般称为肺部肿块,肺癌的可能性相对较大。通常我们将直接小于3cm的圆形或者椭圆形占位病变称之为孤立性肺结节,它被肺实质包围,完全没有相关的淋巴结肿大、肺不张或肺炎。直接小于2cm的称为肺内小结节,直接小于5mm的称为微小结节。

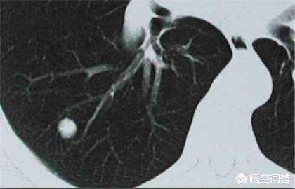
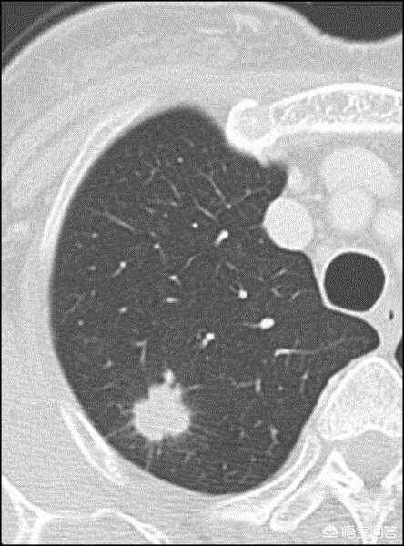
如何判断肺结节是良性还是恶性呢?1.结节的位置:肺癌更多发生于上叶,尤其好发于右肺,但肺结核留下的一些疤痕结节也饿多发于上肺,所以要注意鉴别。2.结节的形态:胸部ct被公认为是鉴别肺部小结节良恶性的最佳检查手段。假如CT上描述有深分叶、短粗毛刺、空泡征、空气支气管征、胸膜凹陷征、肺血管集中征以及明显的强化征等,都认为是恶性征象,千万不可懈怠。如果结节边界光滑,钙化位于病灶中央或为层状、弥漫性和爆米花样则多见于良性病变,结节内有脂肪多见于良性的错构瘤等。3.结节的大小:直径小于5mm,恶性的可能性很小,大约在1%以内;5~10mm时,恶性可能性为6%—28%;直径大于20mm的肺结节恶性概率达到80%。

肺结节的CT影像中有一类特殊的影像-肺部磨玻璃结节,需要重点讲述。磨玻璃结节是一个影像学概念,指在高分辨CT上表现为密度轻度增加,呈云雾状密度阴影,其内支气管及血管纹理仍可显示。磨玻璃结节恶性概率高于实性结节。2018年NCCN肺癌筛查指南建议:小于6mm的的纯磨玻璃结节,无需常规随访;结节在6mm以上的纯磨玻璃结节,建议6-12个月确定稳定性,之后每2年复查直至5年。部分实性磨玻璃结节中如果实性成分大于6mm的磨玻璃结节,建议3-6个月确定稳定性,实性成分大于6mm且高度怀疑肺癌时才建议行活检或者手术切除。

通过低剂量ct筛查发现的癌前病变、原位癌或早期浸润癌,如行根治性切除,其生存率达100%或接近100%。所以大家不必恐结节色变,恐癌色变。

收藏
回复(7)举报
参与评论
评论列表
按投票顺序
这些分享
举报
2018-09-15 22:57:08 有用(1)
回复(0)
我0:6cm大的结节,结果也中奖了,还好是微浸润,及时手术,现在已经上班了,平时吃中药调理身体
举报
2018-09-18 13:04:41 有用(1)
回复(2)
你的是实性的吗
举报
2019-07-03 17:38:42 有用(0)
回复(0)
妈妈肺癌,自己又查出纯磨玻璃结节好焦虑啊
举报
2021-03-11 19:24:22 有用(0)
回复(1)
相关推荐
热点推荐
2013-11-19 14:23:04
爸爸确诊病情已经有11个多月了。一共做了8次大化疗,2次小化疗,以及35次放疗,上月返医院检查“瘤子”没有了。这一路走来,有多少的艰辛与泪水。在这里与大家分享爸爸的治疗过程。起初,拿到病例报告的时候,
2013-11-19 14:31:01
妈妈患肺癌已经有三年了,这三年来一直在接受治疗到现在,下面是妈妈检查以及治疗的过程。2010年10月,妈妈体检出肺癌IV期,纵隔淋巴转移,肝部转移,去省肿瘤医院复查,做了PET-CT,结果一样,省肿瘤
2013-11-19 15:04:43
2011年11月,妈妈被诊断肺癌,我在网上浏览了很多帖子,学到了很多,看到了一批又一批共同奋斗在抗癌战线上的战友。这15个月走下来,越来越体会到抗癌之路的艰辛,今天发个帖子,记录一下妈妈的治疗经过,也






