求助大家,是否要这次开始加上放疗?!
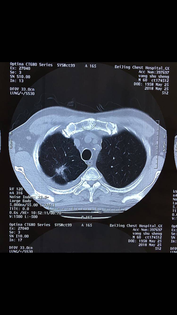
各位病友大家好,相求助听取一下大家的建议,目前患者情况很好,患者自今年三月起确诊肺腺癌晚期,目前使用贝伐珠单抗 培美曲塞 奈达铂化疗了5次,这周准备化疗第6次,主治医说想这次加上放疗同步治疗,我很犹豫,不知道如何选择。请大家给予治疗建议。患者基因检测没有靶向药。B超结果没有其他异常。这几次化疗后CT结果有病灶变小。







收藏
回复(7)举报
参与评论
评论列表
按投票顺序
陈波医生放疗我也认为可以做的,但我觉得不需要同步放化疗,副作用大。化疗满6周期后,空窗一段放疗,用精准放疗去打击上肺的病灶
举报
2018-08-06 22:03:05 有用(2)
回复(1)
@陈波医生 您好,专家咨询不知道怎么回复,所以在这里给您留言不知道您是否能看到,患者的胸膜丘壮凸起和积液之前就有过,自三月开始到现在都一直控制的很好。
举报
2018-08-06 21:50:06 有用(0)
回复(0)
陈波医生好的,那比预想的要好很多。残留的胸水还能引流掉吗?如果能引流掉最好。
举报
2018-08-06 22:01:33 有用(0)
回复(0)
你好!患者现在是空窗期还是开始放疗了?空窗了多久开始放疗的?
举报
2018-09-06 17:23:46 有用(0)
回复(2)
相关推荐
热点推荐
暂无数据






