首页
圈子
互助
医生
药品
专栏
资讯
话题
健康小屋
APP下载
登录
注册
消息
系统消息
评论
新粉丝
首页
圈子
系统性红斑狼疮
帖子详情
写帖给陈医生看
希望107
来源:
觅健
2017-11-20 20:07:50
1151阅读
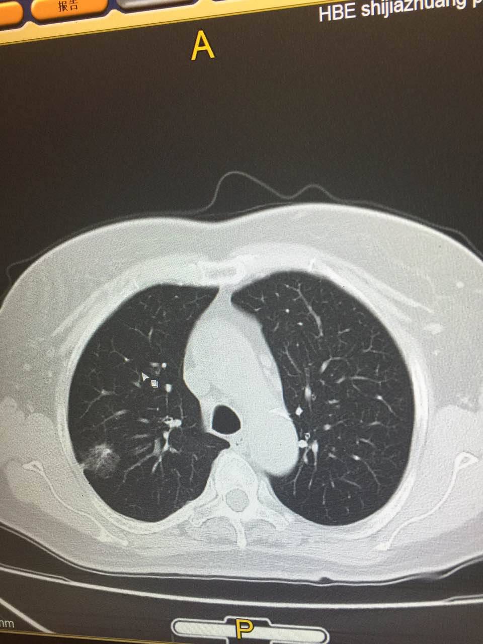
陈医生,这是我母亲的CT,您看一下手机
抱抱
有用
收藏
回复(6)
举报
上一篇:
假头发与真头发
下一篇:
寻找考上公务员的病友,想咨询点事
参与评论
更多
按投票顺序
时间顺序
按投票顺序
发布
希望107
@陈医生,这是我母亲的CT,花开未全月半弯的CT直接就确诊了吗?
举报
2017-11-20 20:24:31
有用(
0
)
回复(
0
)
取消
发布
陈波医生
很好,做的很好,看到了
举报
2017-11-20 20:55:49
有用(
0
)
回复(
2
)
取消
发布
希望107
好的
举报
2017-11-20 21:03:03
有用(
0
)
回复(
0
)
取消
发布
陈波医生
可以去看我发的最新一个帖子,希望能有收获
举报
2017-11-20 21:40:53
有用(
0
)
回复(
0
)
取消
发布
评论列表
更多
按投票顺序
时间顺序
按投票顺序
希望107
@陈医生,这是我母亲的CT,花开未全月半弯的CT直接就确诊了吗?
举报
2017-11-20 20:24:31
有用(
0
)
回复(
0
)
取消
发布
陈波医生
很好,做的很好,看到了
举报
2017-11-20 20:55:49
有用(
0
)
回复(
2
)
取消
发布
希望107
好的
举报
2017-11-20 21:03:03
有用(
0
)
回复(
0
)
取消
发布
陈波医生
可以去看我发的最新一个帖子,希望能有收获
举报
2017-11-20 21:40:53
有用(
0
)
回复(
0
)
取消
发布
相关推荐
热点推荐
暂无数据
热门帖子
1
【2025觅健之星】提名开始啦!快来评论区留下你心中的那个名字吧!
2
雨过天晴,云开雾散~
3
觅友专属·一月轻养生日历
4
狼疮患者不用愁!她终于可以用上SLE好药了……
5
神门穴
6
记录近三个月的一些事
7
看看你家灶台的油用对了吗?
8
全身痒起疹子
病友圈
肺癌圈子
去看看
肠癌圈子
去看看
肝癌圈子
去看看
乳腺癌圈子
去看看
淋巴瘤圈子
去看看
卵巢癌圈子
去看看
今日推荐
1
阅读分享《肝功能的14个指标》
2
没人帮我
3
春季梳头胜良药
4
记录打针89针,右侧肚皮
5
记录美好生活
6
乳腺纤维瘤
7
把春天装进肚子里
8
父亲三a术后第四年,今天复查一切正常。希望明年这个时候还是这样
推荐关注
槑槑m
关注
落叶、陈
关注
橙子1731
关注
高高的把把
关注