从不可手术到肿瘤大幅缩小!56岁晚期肺癌患者的逆转故事
编者按:
在大部分人眼里,肺癌等于“晚期”“绝症”,但对今年56岁的周先生而言,确诊只是一个节点,而不是终点。从体检发现异常到坚持靶向治疗,他用冷静理性的态度,一步步稳住病情,找到新的生活节奏。本文根据周先生本人讲述整理,李世康主任医生也将从专业角度解读“ALK阳性”这一肺癌中的“钻石突变”。
编者按:
在大部分人眼里,肺癌等于“晚期”“绝症”,但对今年56岁的周先生而言,确诊只是一个节点,而不是终点。从体检发现异常到坚持靶向治疗,他用冷静理性的态度,一步步稳住病情,找到新的生活节奏。本文根据周先生本人讲述整理,李世康主任医生也将从专业角度解读“ALK阳性”这一肺癌中的“钻石突变”。
01
一次例行体检,却成为我人生的转折点
2023年6月,公司组织了一次例行体检,我也照常参加了,当天我状态还算正常,没有发烧、没有咳嗽,也没有觉得特别累。唯一能说得上来的不适,是从体检前两三个月开始,偶尔会感觉胸口有点隐隐作痛。但这个疼痛并不强烈,也不持续,像一阵一阵的胀闷。我当时也没多想,心里还安慰自己:可能是睡姿不好,或者最近太累了。
正因如此,当医院通知我体检报告显示肺部有“占位性病变”时,我一时间没反应过来。“占位”是什么意思?是囊肿?是感染?还是肿瘤?这些概念我当时一点都不懂,只觉得事情好像没那么简单。
接下来,我按照医生建议,到县医院做了增强CT检查。但医生看了片子后表示,由于设备和技术的限制,他们无法判断具体性质,建议我尽快到设备更先进、经验更丰富的大医院做进一步检查。听他们这样一说,我心里开始隐隐不安。我没有犹豫太久,权衡之后决定前往广西医科大学第一附属医院。毕竟,在我们这片区域里,那家医院无论是口碑还是专业度,都是最可靠的。经过广泛的咨询了解和网络搜索,我和我家人一致认为,找教授李世康医生就诊。
从公司体检到决定去南宁检查,一切其实都发生得很快。但我的内心,也从最初的茫然、不解,慢慢开始对“严重疾病”这四个字有了一点准备。只是那时的我,还是没敢把“癌症”两个字摆在心上。之后医生安排了支气管镜、穿刺活检等项目,并告诉我需要等一段时间才能拿到病理报告。
那段时间其实挺煎熬的,内心并不像外表那样平静。医生在做穿刺时虽然没有明说,但一些含糊的表达,我都听得出来。而几个在医院工作的朋友听说了我的情况,私下跟我说:“位置不好,可能挺严重的。”我没问他们具体什么意思,但心里已经隐约明白了些。作为工程师,平时有什么事都是能扛就扛,可这回,心里真是有点乱。我一边等结果,一边自己上网查资料。越查越觉得像“癌症”,但也开始慢慢接受:这可能不是简单的炎症或良性结节,而是更麻烦的疾病。
所以当最终病理确诊(肺印戒细胞癌伴EML4-ALK融合突变)下来时,我反而没有特别激烈的情绪反应。因为在等待的这段日子里,我已经在心理上“提前确诊”了。不是说不害怕,而是提前做好准备以后,反而更容易冷静面对。

02
从治疗到共处,它教我如何掌握主动权!
李世康主任告诉我,像我这样的中央型肺癌,如果手术,有切除整个肺叶的可能性,风险大且恢复困难。幸运的是,我被检测出的是ALK融合突变,这意味着可以尝试靶向药物。他向我介绍了几种药物方案,其中一款是国产的ALK抑制剂伊鲁阿克。2023年,它在国内刚刚上市,属于目前比较先进的药,疗效和副作用的控制都比早期药物更好。
这些专业名词我以前从没听说过,就和家人一起上网查资料、看医学科普、在病友群里学习别人的用药经验。虽然伊鲁阿克刚刚获批上市,还没有进入医保目录,价格也不便宜,但综合考虑疗效、用药便捷性和医生建议,我最终决定试一试。算起来,我应该是广西这边比较早一批吃上这个药的患者。
治疗开始
2023年8月,我正式开始服药。刚开始那几周确实有点紧张——医生说要注意观察皮疹、肝功能、肠胃反应等副作用。果然没过多久,我身上陆续出现了一些红疹,主要在胳膊和后背,有些瘙痒,但程度不重。

图片来源:摄图网
医生建议我先继续观察,不需要中断用药,我也配合使用了红霉素软膏,过了一段时间,症状就逐渐缓解了。除了皮疹,其他方面的副作用并不明显。只吃药,不打针、不住院,也不会严重影响体力或饮食作息。我吃得下饭,睡得着觉,日常还可以下楼活动、做点轻活,整个人状态并没有因为吃药而崩塌。和我想象中“癌症治疗等于掉头发、呕吐”的画面完全不同。
疗效评估
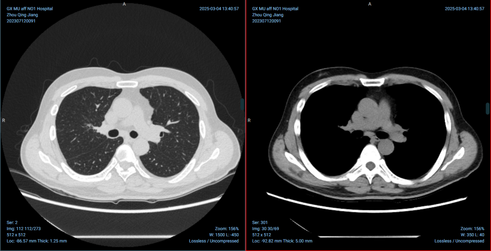
服药后肿瘤的变化,比我预想的要好的多,结果令人欣喜。按照医嘱,我在服药一个月后(2023年9月初)回到医院进行第一次复查。增强CT结果出来时,李主任告诉我:“效果非常好!肿瘤已经缩小了一大半,从4.2cm缩小到1.7cm!”
听到这个结果,我一下子有点懵,几乎不敢相信自己的耳朵。要知道,我确诊的是肺印戒细胞癌,这种类型相对少见且进展可能较快。没想到仅仅依靠每天口服一次药物(一次3片,每天一次),就能让肿瘤在这么短的时间内显著退缩!那一刻,压在心头的一块大石头仿佛被搬开了一些,我第一次真切地感受到:这场战斗,并非毫无胜算。虽然内心大大地松了口气,但我也非常清楚,这只是一个阶段性的胜利。李主任也强调,疗效显著说明药物有效,但必须坚持长期服药,并按时复查,不能掉以轻心。
说到李主任,我心里是真心佩服。他的医学专业理论知识非常坚实,常常只言片语,就能把复杂的疾病机理深入浅出地解释清楚,而且逻辑清晰,一针见血。无论是一开始的住院检查还是后面的回院复查,他几乎每天早查房都会顺路到病房看看我,听患友讲他周末也会常常按正常上班时间来查看病房,让他治疗很安心。复查时也从不让患者“跑流程”浪费时间,他主动教我用医院的线上问诊,有问题随时拍片、上传、沟通。他常说:“病人跑一趟医院不容易,能省一步是一步。”我第一次体会到什么叫“把病人的事当自己的事”,也正因为这种信任,我用药期间遇到任何小问题都会立刻跟他反馈。他对医院的专业和医德不止一次自豪地提起:“广西医大一附院愿意给医生足够空间去担当,只要对病人好,医院就支持。”那种底气,听得我心里也格外踏实。
说到李主任,我心里是真心佩服。他的医学专业理论知识非常坚实,常常只言片语,就能把复杂的疾病机理深入浅出地解释清楚,而且逻辑清晰,一针见血。无论是一开始的住院检查还是后面的回院复查,他几乎每天早查房都会顺路到病房看看我,听患友讲他周末也会常常按正常上班时间来查看病房,让他治疗很安心。复查时也从不让患者“跑流程”浪费时间,他主动教我用医院的线上问诊,有问题随时拍片、上传、沟通。他常说:“病人跑一趟医院不容易,能省一步是一步。”我第一次体会到什么叫“把病人的事当自己的事”,也正因为这种信任,我用药期间遇到任何小问题都会立刻跟他反馈。他对医院的专业和医德不止一次自豪地提起:“广西医大一附院愿意给医生足够空间去担当,只要对病人好,医院就支持。”那种底气,听得我心里也格外踏实。
大PR
时间转眼来到2025年7月。距离我开始服用伊鲁阿克已经将近两年。在这期间,我严格遵循医嘱,按时服药,定期复查(后期根据医生建议,稳定后多在当地医院复查,有问题及时线上沟通)。令人欣慰的是,我的肿瘤持续退缩,状态一直非常稳定。最近的复查结果显示,医生评估我已经达到了非常显著的部分缓解”(Partial Response, PR)——也就是有时医生会说的“大PR”。虽然不能算完全消失,但肿瘤已经缩得非常小,在影像上几乎看不出来新的问题,说明药物控制效果非常好

这个结果,连李主任团队都感到非常惊喜,伊鲁阿克的效果远远超出了预期——肿瘤不仅缩小了,更是基本上“消失”了,医生团队决定继续观察,密切随访。
03
从家庭支柱到被守护者,家人的力量支持我重新站了起来
回顾这段时间,其实最让我心头一沉的,不是“癌”这个字本身,而是它带来的连锁反应——我可能撑不起这个家了。
作为工程师,我是家里经济支柱。确诊后我尝试坚持工作,但因皮肤反应无法长期待在工地,最终不得不辞职。家庭经济压力随之增加,妻子和儿子承担了更多责任。
这种从“家庭支柱”到“被守护者”的转变,对任何一个中年男人来说都是一种复杂的体验。“过去我是家里的经济支柱,现在几乎没有收入了,家里的经济主要依靠他们支持”这话说出来,有点无奈,但也得认。好在,家人没有一句怨言,他们的支持让我慢慢接受了这个转变。这种接受,不是认命,是知道家人就在身后,心里有了底。
而这份底气和温暖,从我查出问题那天起就没断过。一开始体检结果出来以后,家人就一直陪着我去检查。最煎熬的那段日子,是在等结果、跑医院、定方案的时候。第一次我去检查的时候,我儿子老婆全部都请假了,大概有20天陪着我到处走访医院、门诊,到处去寻医问药。那段时间,家里气氛是凝重的,大家心里都绷着根弦,但没人说泄气话。拿到确诊报告时,我们好像都提前做好了准备,反而有种一起面对的决心。

图片来源:摄图网
平常的日子更离不开他们。每次复查,都有人陪着;生活起居,被照顾得妥妥帖帖。最难熬的是心里发慌、烦躁的时候。有时候因为这个病,心情也比较烦躁,而我老婆是一直在我身边鼓励我,安慰我。这些点点滴滴的陪伴和鼓励,就像黑暗里的光,让我觉得不是一个人在战斗。
生活节奏也变了不少。现在嘛,每天的锻炼也就是散步或者快走,吃的方面倒没刻意改变,跟以前一样,喜欢吃什么还是吃什么。最大的变化,是生活的重心转到了治病、养身体和跟家人在一起的时光上。以前那种风风火火的日子慢了下来,现在更珍惜平平淡淡的日子,把身体养好,多陪陪家人,就是最大的心愿。
走到今天,肿瘤控制得这么好,我自己都没想到。回头看看这段路,如果说有什么想告诉其他病友的,其实很简单:
• 该查就查,该治就治:别自己瞎琢磨,听医生的,按规矩吃药复查。
• 心态稳住:慌是肯定的,但别让害怕压垮自己。我那时也是自己查资料,心里有个底,反而能冷静点。
• 家人是宝:别不好意思,该依靠就依靠。他们的陪伴和支持,比什么药都管用。
• 日子照过:在身体允许的范围内,该吃吃,该动动,别把自己当个“病人”圈起来。
最想说的,还是对家人的感谢,感谢他们的付出以及陪伴,没有他们一路撑着,我不可能这么平静地走到现在。我的大幅好转,是医生治得好、药有效,也是我自己咬着牙坚持,更是家人用他们的肩膀和心意,一点一点帮我扛出来的。
04
医生点评:从“棘手肿瘤”到“大幅缓解”,ALK突变肺癌的诊疗突破
对于周先生来说,真正的难点并非肿瘤大小,而是肿瘤几乎贴着肺门,与气管和大血管“呈门钉样胶着”。放在从前,外科只能硬着头皮做全肺切除或复杂的袖状切除,既高风险,又常常切不干净,康复期漫长。
幸运的是,病理提示EML4-ALK融合突变——肺癌里公认的“钻石靶点”,已有完整的靶向药物谱系可选。综合影像学等综合评估后,患者最终决定使用ALK抑制剂伊鲁阿克进行治疗。
目前ALK阳性肺癌的治疗已进入“多代同堂”时代,而二代药物一旦耐药还可无缝衔接三代药物或者联合方案,将原本致命的疾病转化为可长期管理的慢性病。不过,再先进的药物也离不开良好的医患配合——周先生全程主动沟通、及时反馈副作用、按时复查,是疗效得以巩固的关键。
相信未来,随着更精准的组合靶向与免疫策略加入,以及真实世界数据的累积,ALK阳性患者的生存期和生活质量还有望继续提升;或许在不久的将来,“带瘤带药共存”将成为这一亚型肺癌的常态,而不再只是个案。
李世康 教授
广西医科大学第一附属肿瘤医院心胸外科
主任医师,医学博士
广西知名临床医学专家
外科学博士生导师、
临床医学博士后合作导师
广西生物信息学会监事长
广西医疗保障专家库专家
广西科技评审专家库专家
广西医疗职称评审专家库专家
主持完成近20项科研课题(包括2项国自然)、发表SCI文章40余篇
内容制作
内容授权:觅友
封面图片:摄图网
责任编辑:觅健小李
收藏
回复(4)参与评论
评论列表
跳跃的围巾5662







