为生命加油丨一线免疫治疗PFS突破3年!一例广泛期小细胞肺癌伴肝转移患者穿越疾病阴霾,拥抱人生新程



小细胞肺癌(SCLC)侵袭性强、预后差,过去30多年来,传统治疗手段的局限性使广大患者的生存预后难以实现突破。近年来,免疫治疗的快速发展为ES-SCLC患者带来了长生存甚至临床治愈的新希望。在此背景下,《中国医学论坛报》联合中国临床肿瘤学会(CSCO)小细胞肺癌专委会,特别发起“为生命加油”小细胞肺癌长生存优秀病例展播项目,旨在通过征集并展示接受免疫治疗的广泛期小细胞肺癌(ES-SCLC)长生存案例,为临床医生提供宝贵的参考,推动ES-SCLC一线治疗策略的不断优化和完善,助力我国肺癌诊疗事业高质量发展。


本期,我们分享一例64岁诊断为ES-SCLC患者的诊疗历程,经一线免疫联合化疗和后续免疫维持治疗,患者体质状况明显改善,无进展生存期(PFS)超3年,以持久且稳健的长生存获益验证了斯鲁利单抗对ES-SCLC患者的治疗优势。


医者视角:无畏肝转,如获新生,免疫治疗引领广泛期小细胞肺癌患者迈向更长生存

查王健医生访谈视频

苏梅教授访谈视频

病例介绍


患者信息




一般情况:男性,64岁,已婚。


主诉:患者近期偶有活动后胸闷,无咳嗽咳痰,无咯血,无呼吸困难,无发热。


现病史:2022年5月,患者体检查胸部增强CT发现:右肺下叶背段见结节状密度增高影,大小约9mm*5mm,增强可见强化,右肺下叶背段见片状软组织影,范围约16mm*9mm,增强可见轻度强化。右肺下叶病灶,伴纵隔及右肺门淋巴结肿大,考虑肺CA可能。肝内多发环形强化灶,转移可能。为求进一步治疗拟收治入院。


体格检查:PS 0分,神清,精神一般,全身浅表淋巴结未见肿大,双肺呼吸音清,未闻及干湿性啰音。心率:78次/分,心律齐,无杂音。



既往史:平素身体健康,否认高血压、冠心病、COPD病史,有2型糖尿病和颈动脉斑块。


个人史及家族史:有吸烟史45年,20支/天,2022年已戒烟。有饮酒史45年,相当于酒精40克/天。无家族性遗传病史。


辅助检查





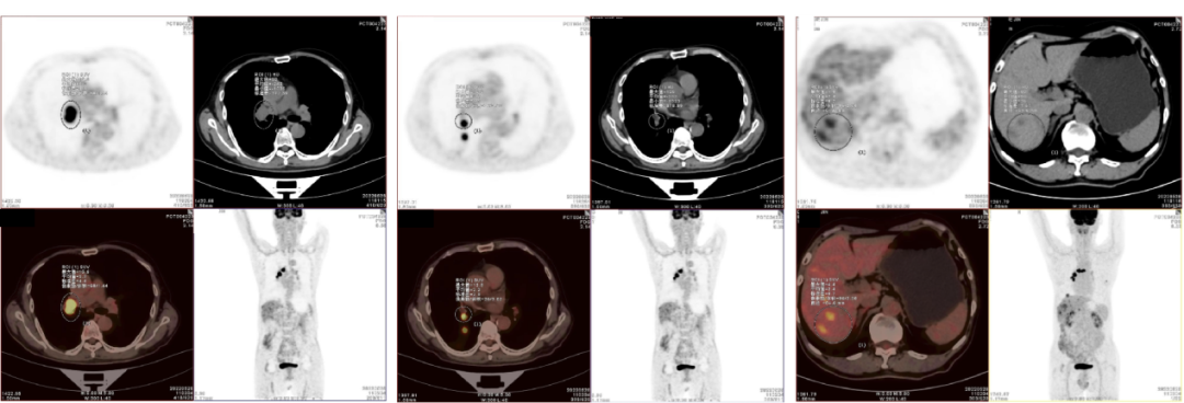
2022-5-28  PET-CT:1.右肺下叶背段支气管腔内一软组织结节,FDG代谢异常增高;右肺下叶背段胸膜下一略不规则结节影,FDG代谢轻度增高;纵隔气管前腔静脉后、主肺动脉窗、右肺门及右肺内支气管旁可见多发肿大淋巴结,FDG代谢异常增高;肝脏实质内多发稍低密度结节影,较大直径约1.5cm,FDG代谢增高;考虑右肺下叶背段肺癌伴右肺内、淋巴结及肝多发转移,小细胞肺癌可能大。2.两肺多发微小结节影,FDG代谢未见增高,考虑性结节可能大,部分合并转移不除外。3.两肺慢性炎症伴肺气肿,少许肺大泡形成,两侧部分胸膜增厚、粘连。


影像学检查图像





2022-06-02行EBUS术,于11R及第4R组淋巴结行EBUS-TBNA,送病理检查,术后病理示:沉降式液基细胞学超薄片技术(Auto Cyte)(4R、11R组淋巴结穿刺):见恶性肿瘤细胞,倾向小细胞癌。


电子气管镜检查图像




免疫组化:异型细胞CK-pan(+),Napsin A(-),TTF-1(-),P40(-),Syn(部分+),CgA(-),CD56(+),Ki67(90%+),LCA(-),结合HE切片,本例符合低分化癌,倾向小细胞癌。


诊断




右肺小细胞肺癌(广泛期)伴肝转移(PS 0分)


一线治疗




1、2022-06-08至2022-10-11,一线行6周期化疗联合免疫治疗,具体用药为:斯鲁利单抗联合依托泊苷+卡铂(EC方案)


2、2022-11-05起,定期行斯鲁利单抗免疫单药维持治疗。


疗效评估:2周期后、4周期后、9周期后分别行胸腹部CT,肺内原发灶及肝转移灶持续缩小,疗效评估均为PR。


图片21.png

影像学检查图像




3、治疗期间安全性评估:患者自觉全身瘙痒,无皮疹,予氯雷他定及加巴贲丁治疗后好转。



4、随访:至末次随访,患者体质状况明显改善,整体疗效评估PR,PFS达3年。


诊治体会



image.png

查王健

江苏省人民医院 医学博士、副主任医师

社会职务:

英国国立心肺研究所访问学者

江苏省医师协会呼吸医师分会呼吸放射与病理学组委员

江苏省研究型医院协会光动力治疗专家委员会委员

以第一作者在SCI及中华结核和呼吸杂志发表论文多篇

研究方向为肺部肿瘤多学科综合治疗。擅长气管镜下肿瘤活检、消融、淋巴结穿刺、肺癌化疗/靶向/免疫治疗及耐药后管理。



作为本病例的主管医师,我深刻体会到创新型PD-1抑制剂对ES-SCLC合并肝转移患者的治疗优势和临床应用价值。2022年,当这位64岁男性患者首次确诊时,其病情已经进展至广泛期,并伴有肝转移,这无疑增加了治疗的复杂性和难度。然而,患者在一线接受斯鲁利单抗联合化疗及其后续单药维持治疗后取得了亮眼的抗肿瘤治疗效果和长生存获益。


在治疗过程中,我们密切关注患者的治疗反应。在免疫联合化疗2周期后患者即实现PR,其肺内原发灶及肝转移灶即缩小,4周期后病灶持续缩小,展现了免疫联合化疗对ES-SCLC患者显著的治疗效果。在后续免疫维持治疗期间,患者总体疗效评估仍为PR,实现了长达3余年的PFS。患者不仅在影像学上表现出持续缓解,其生活质量也显著提升,PS评分保持0分,可正常生活和工作,体现了免疫治疗在深度缓解和功能恢复方面的双重优势。


如此惊艳的长生存获益无疑为我们临床医师和患者增强了战胜ES-SCLC的信心。与此同时,在抗肿瘤治疗期间,患者自觉有全身瘙痒,予以对症处理后可有效缓解,其余未见明显不良反应。此外,该药物在门诊即可完成输注,使用便捷,大大减轻了患者及家属的负担,提升了治疗依从性和生活质量。


临床实践中,既往ES-SCLC患者的生存预后难以突破。然而正是因为创新型抗肿瘤药物的不断涌现,如今我们在真实世界中观察到了PFS长达3年余的案例,点亮了患者长生存甚至临床治愈的希望。本病例的成功也提示我们,对于合并肝转移等高危因素的ES-SCLC患者,应尽早推荐使用具有明确循证支持的免疫联合方案,并重视维持阶段的规范治疗与长期随访。


专家点评



image.png

苏梅

 江苏省人民医院呼吸内科 主任医师、副教授

社会职务:

中国医师协会睡眠专业委员会委员

中国睡眠研究会睡眠障碍委员会委员

江苏省医学会呼吸分会睡眠学组委员

江苏省医师协会睡眠专委会委员


在肺癌领域,小细胞肺癌(SCLC)因其高度侵袭性和早期广泛转移的特性,给临床治疗带来了巨大的挑战[1]。尤其是对于广泛期小细胞肺癌(ES-SCLC)合并肝转移的患者,治疗选择更为有限,预后通常不佳。2022年,当这位64岁男性患者初诊时,其病情已经进展至广泛期,并伴有肝转移,这在当时的临床治疗中属于较为棘手的情况。


根据《CSCO小细胞肺癌诊疗指南(2022年版)》[2],对于ES-SCLC的一线治疗,推荐使用免疫检查点抑制剂联合化疗。然而,对于合并肝转移的患者,治疗选择更为有限,且预后通常较差。该患者初诊时,恰逢ASTRUM-005研究在ASCO大会上公布关键成果[3],为ES-SCLC临床实践提供了高级别循证医学证据,并为患者带来了长生存的希望。


结合创新型抗肿瘤药物的突破疗效及患者病情综合考量,对该ES-SCLC合并肝转移患者予以一线斯鲁利单抗联合EC化疗和后续斯鲁利单抗免疫维持治疗。从疗效评估来看,患者在一线治疗后不仅在短期内就实现了部分缓解(PR),其肝转移灶更是持续缩小,且在长期随访中保持稳定,PFS突破3年。同时,在治疗全程中未见明显治疗相关不良反应,临床总体安全可控。可以看到,该治疗方案在ES-SCLC一线治疗中的成功应用,特别是对于合并肝转移的患者,显示出了显著的疗效和良好的安全性。2025年ASCO大会中,ASTRUM-005研究公布中位随访 42.4 个月的生存数据[4],4年OS率高达21.9%,且肝转移亚组展现可观的OS获益趋势,从临床研究高级别循证医学证据的角度验证了本例患者一线治疗方案的正确性。


展望未来,随着对免疫治疗机制的深入理解、新型抗肿瘤药物的不断涌现和更多高质量研究结果的公布,ES-SCLC患者将迎来更多治疗选择,实现生存预后新突破。我们也期待通过生物标志物探索和联合治疗策略的优化,进一步提升免疫治疗的精准性和疗效,让更多患者实现高质量长生存。



参考文献

1、Oronsky B,et al. Neoplasia 2017; 19: 842–47.

2、中国临床肿瘤学会指南工作委员会. 中国临床肿瘤学会(CSCO)小细胞肺癌诊疗指南-2022

3、2022 ASCO abstract 8505.

4、2025 ASCO,Poster Bd 214.



本文由苏梅教授、查王健医生审校

参与评论

更多
图片验证码

评论列表

更多
按投票顺序
加油
举报
2025-12-04 09:28:30
有用(0)
回复(0)
爸爸确诊病情已经有11个多月了。一共做了8次大化疗,2次小化疗,以及35次放疗,上月返医院检查“瘤子”没有了。这一路走来,有多少的艰辛与泪水。在这里与大家分享爸爸的治疗过程。起初,拿到病例报告的时候,
Xxiaoxiao
100722 阅读
阅读全文
妈妈患肺癌已经有三年了,这三年来一直在接受治疗到现在,下面是妈妈检查以及治疗的过程。2010年10月,妈妈体检出肺癌IV期,纵隔淋巴转移,肝部转移,去省肿瘤医院复查,做了PET-CT,结果一样,省肿瘤
2011年11月,妈妈被诊断肺癌,我在网上浏览了很多帖子,学到了很多,看到了一批又一批共同奋斗在抗癌战线上的战友。这15个月走下来,越来越体会到抗癌之路的艰辛,今天发个帖子,记录一下妈妈的治疗经过,也
invay
38291 阅读
阅读全文